Retrospective analysis of the efficacy and safety of rivaroxaban in the treatment of hepatic sinus obstruction syndrome caused by Gynura segetum
Rivaroxaban for Pyrrolizidine alkaloid-induced hepatic sinusoidal obstruction syndrome
DOI:
https://doi.org/10.54844/cai.2021.0013Keywords:
rivaroxaban, anticoagulant treatment;, pyrrolidine alkaloids, Gynura segetum, hepatic sinusoidal obstruction syndromeAbstract
Background and Objective: Pyrrolizidine alkaloid-induced hepatic sinusoidal obstruction syndrome (PA-HSOS) is a rare disease with no specific treatment. Anticoagulants, antithrombotics, and microcirculation therapy can alleviate the progression of PA-HSOS. The application of rivaroxaban in patients with PA-HSOS has not yet been reported. The aim of this study was to analyze the efficacy and safety of rivaroxaban in the treatment of PAHSOS caused by Gynura segetum. Methods: A retrospective analysis was conducted using the clinical data of patients with PA-HSOS in the acute/subacute phase caused by the administration of Gynura segetum. The patients were divided into warfarin and rivaroxaban groups according to the anticoagulant therapy they received. The related biochemical indicators were monitored during hospitalization. Liver ultrasound, liver elastography, and related biochemical indicators were reviewed every two weeks or one month after discharge. The patients were followed until 1 year after complete remission or death. The efficacy and safety of rivaroxaban was compared with that of warfarin according to the patients’ hepatic venous recanalization rates and the occurrence of bleeding events. Results: The study included 20 patients, with 10 in the warfarin group and 10 in the rivaroxaban group. The results show that the average anticoagulant course in the rivaroxaban group was significantly shorter than that in the warfarin group (P = 0.007). With treatment, the remission rates of the rivaroxaban and warfarin groups reached 90%. There was no significant difference in the incidence of adverse reactions or bleeding events between the t wo groups (P > 0.05). Conclusions: Compared with warfarin, rivaroxaban, a new oral anticoagulant, is convenient and safe for clinical use. It has a significant effect on PA-HSOS and a low risk of bleeding. This provides a new anticoagulant treatment for PA-HSOS.
References
Chen L, Mulder PPJ, Louisse J, Peijnenburg A, Wesseling S, Rietjens IMCM. Risk assessment for pyrrolizidine alkaloids detected in (herbal) teas and plant food supplements. Regul Toxicol Pharmacol 2017;86:292–302. DOI: https://doi.org/10.1016/j.yrtph.2017.03.019
Lin G, Wang JY, Li N, Li M, Gao H, Ji Y, et al. Hepatic sinusoidal obstruction syndrome associated with consumption of Gynura segetum. J Hepatol 2011;54:666–673. DOI: https://doi.org/10.1016/j.jhep.2010.07.031
Wang X, Qi X, Guo X. Tusanqi-Related Sinusoidal Obstruction Syndrome in China: A Systematic Review of the Literatures. Medicine 2015;94:e942. DOI: https://doi.org/10.1097/MD.0000000000000942
Ma J, Xia Q, Fu PP, Lin G. Pyrrole-protein adducts-A biomarker of pyrrolizidine alkaloid-induced hepatotoxicity. J Food Drug Anal 2018;26:965–972. DOI: https://doi.org/10.1016/j.jfda.2018.05.005
Zhuge Y, Liu Y, Xie W, Zou X, Xu J, Wang J, et al. Expert consensus on the clinical management of pyrrolizidine alkaloid-induced hepatic sinusoidal obstruction syndrome. J Gastroenterol Hepatol 2019;34:634–642. DOI: https://doi.org/10.1111/jgh.14612
Cooperative group for hepatic and gall diseases, Chinese society of gastroenterology, Chinese medical association. Expert consensus on the diagnosis and treatment of pyrrole alkaline-related hepatic sinus obstruction syndrome. Chin J Dig 2017;37:513–522.
Wang Y, Qiao D, Li Y, Xu F. Risk factors for hepatic veno-occlusive disease caused by Gynura segetum: a retrospective study. BMC Gastroenterology 2018;18:156. DOI: https://doi.org/10.1186/s12876-018-0879-7
Kernan NA, Grupp S, Smith AR, Arai S, Triplett B, Antin JH, et al. Final results from a defibrotide treatment-IND study for patients with hepatic veno-occlusive disease/sinusoidal obstruction syndrome. Br J Haematol 2018;181:816–827. DOI: https://doi.org/10.1111/bjh.15267
Kernan NA, Richardson PG, Smith AR, Triplett BM, Antin JH, Lehmann L, et al. Defibrotide for the treatment of hepatic veno-occlusive disease/sinusoidal obstruction syndrome following nontransplant-associated chemotherapy: Final results from a post hoc analysis of data from an expanded-access program. Pediatric Blood & Cancer 2018;65:e27269. DOI: https://doi.org/10.1002/pbc.27269
Priyanka P, Kupec JT, Krafft M, Shah NA, Reynolds GJ. Newer Oral Anticoagulants in the Treatment of Acute Portal Vein Thrombosis in Patients with and without Cirrhosis. Int J Hepatol 2018; 2018:8432781. DOI: https://doi.org/10.1155/2018/8432781
Nery F, Valadares D, Morais S, Gomes MT, De Gottardi A. Efficacy and Safety of Direct-Acting Oral Anticoagulants Use in Acute Portal Vein Thrombosis Unrelated to Cirrhosis. Gastroenterology Res 2017;10:141–143. DOI: https://doi.org/10.14740/gr806w
Intagliata NM, Henry ZH, Maitland H, Shah NL, Argo CK, Northup PG, et al. Direct Oral Anticoagulants in Cirrhosis Patients Pose Similar Risks of Bleeding When Compared to Traditional Anticoagulation. Dig Dis Sci 2016;61:1721–1727. DOI: https://doi.org/10.1007/s10620-015-4012-2
Hum J, Shatzel JJ, Jou JH, Deloughery TG. The efficacy and safety of direct oral anticoagulants vs traditional anticoagulants in cirrhosis. Eur J Haematol 2017;98:393–397. DOI: https://doi.org/10.1111/ejh.12844
Mahmoud NI, Messiha BAS, Abo-Saif AA, Abdel-Bakky MS. Inhibition of activated factor X; a new pathway in ameliorating carbon tetrachloride-induced liver fibrosis in rats. J Biochem Mol Toxicol 2019;4:e22287. DOI: https://doi.org/10.1002/jbt.22287
Dhar A, Sadiq F, Anstee QM, Levene AP, Goldin RD, Thursz MR. Thrombin and factor Xa link the coagulation system with liver fibrosis. BMC Gastroenterology 2018;18:60. DOI: https://doi.org/10.1186/s12876-018-0789-8
Vilaseca M, García-Calderó H, Lafoz E, García-Irigoyen O, Avila MA, Reverter JC, et al. The anticoagulant rivaroxaban lowers portal hypertension in cirrhotic rats mainly by deactivating hepatic stellate cells. Hepatology 2017;65:2031–2044. DOI: https://doi.org/10.1002/hep.29084
Janczak DT, Mimier MK, McBane RD, Kamath PS, Simmons BS, Bott-Kitslaar DM, et al. Rivaroxaban and Apixaban for Initial Treatment of Acute Venous Thromboembolism of Atypical Location. Mayo Clin Proc 2018;93:40–47. DOI: https://doi.org/10.1016/j.mayocp.2017.10.007
Yang H, Kim SR, Song MJ. Recurrent acute portal vein thrombosis in liver cirrhosis treated by rivaroxaban. Mayo Clin Proc 2016;22: 499–502. DOI: https://doi.org/10.3350/cmh.2016.0016
Hanafy AS, Abd-Elsalam S, Dawoud MM. Randomized controlled trial of rivaroxaban versus warfarin in the management of acute non-neoplastic portal vein thrombosis. Vascul Pharmacol 2019;113: 86-91. DOI: https://doi.org/10.1016/j.vph.2018.05.002
Zhou H, Wang YX, Lou HY, Xu XJ, Zhang MM. Hepatic Sinusoidal Obstruction Syndrome Caused by Herbal Medicine: CT and MRI Features. Korean J Radiol 2014;15:218–25. DOI: https://doi.org/10.3348/kjr.2014.15.2.218
Shao H, Chen HZ, Zhu JS, Ruan B, Zhang ZQ, Lin X, et al. Computed tomography findings of hepatic veno-occlusive disease caused by Sedum aizoon with histopathological correlation. Braz J Med Biol Res 2015;48:1145–50. DOI: https://doi.org/10.1590/1414-431x20154563
Kan X, Ye J, Rong X, Lu Z, Li X, Wang Y, et al. Diagnostic performance of Contrast-enhanced CT in Pyrrolizidine Alkaloids-induced Hepatic Sinusoidal Obstructive Syndrome. Sci Rep 2016;6:37998. DOI: https://doi.org/10.1038/srep37998
Downloads
Published
How to Cite
Issue
Section
Downloads
Retrospective analysis of the efficacy and safety of rivaroxaban in the treatment of hepatic sinus obstruction syndrome caused by Gynura segetum
Hao Bing, Dan Li, Xiangmin He, Jing Tong, Ying Wang, Ran Ao, Ningning Wang, Bing Chang, Yiling Li
Department of Gastroenterology, First Affiliated Hospital of China Medical University, Shenyang 110001, Liaoning Province, China
ABSTRACT
Background and Objective: Pyrrolizidine alkaloid-induced hepatic sinusoidal obstruction syndrome (PA-HSOS) is a rare disease with no specific treatment. Anticoagulants, antithrombotics, and microcirculation therapy can alleviate the progression of PA-HSOS. The application of rivaroxaban in patients with PA-HSOS has not yet been reported. The aim of this study was to analyze the efficacy and safety of rivaroxaban in the treatment of PAHSOS caused by Gynura segetum. Methods: A retrospective analysis was conducted using the clinical data of patients with PA-HSOS in the acute/subacute phase caused by the administration of Gynura segetum. The patients were divided into warfarin and rivaroxaban groups according to the anticoagulant therapy they received. The related biochemical indicators were monitored during hospitalization. Liver ultrasound, liver elastography, and related biochemical indicators were reviewed every two weeks or one month after discharge. The patients were followed until 1 year after complete remission or death. The efficacy and safety of rivaroxaban was compared with that of warfarin according to the patients’ hepatic venous recanalization rates and the occurrence of bleeding events. Results: The study included 20 patients, with 10 in the warfarin group and 10 in the rivaroxaban group. The results show that the average anticoagulant course in the rivaroxaban group was significantly shorter than that in the warfarin group (P = 0.007). With treatment, the remission rates of the rivaroxaban and warfarin groups reached 90%. There was no significant difference in the incidence of adverse reactions or bleeding events between the t wo groups (P > 0.05). Conclusions: Compared with warfarin, rivaroxaban, a new oral anticoagulant, is convenient and safe for clinical use. It has a significant effect on PA-HSOS and a low risk of bleeding. This provides a new anticoagulant treatment for PA-HSOS.
Key words: rivaroxaban; anticoagulant treatment; pyrrolidine alkaloids; Gynura segetum; hepatic sinusoidal obstruction syndrome
Address for correspondence:
Dr. Yiling Li, Department of Gastroenterology, First Affiliated Hospital of China Medical University, Shenyang110001, Liaoning Province, China. E-mail: lyl-72@163.com
Submitted: 21-03-2021 Revised: 16-04-2021
Accepted: 23-06-2021 Published: 25-03-2022
For reprints contact: reprints@sppub.org
INTRODUCTION
Pyrrolizidine alkaloid-induced hepatic sinusoidal obstruction syndrome (PA-HSOS) refers to hepatic sinusoidal obstruction syndrome (HSOS) caused by the ingestion of plants containing pyrrolidine alkaloids (PAs). To date, more than 660 PAs and PA N-oxides have been identified in an estimated 6000 plants,[1] and the herbal medicine most frequently linked to PA-HSOS in China is Gynura segetum, which is used to relieve pain, improve blood circulation, and dissipate blood stasis.[2,3] To date, the toxic mechanisms underlying PA-induced toxicity are not fully understood. Research shows that the metabolic activation of PAs is catalyzed by hepatic cytochrome P450 and generates reactive pyrrolic metabolites that bind to cellular proteins to form pyrroleprotein adducts, leading to PA-induced hepatotoxicity.[4] PAHSOS is a rare disease with a low incidence. Currently, there are limited reports on this topic. The classical triad of PA-HSOS consists of ascites, hepatomegaly, and increased bilirubin levels. PA-HSOS usually starts approximately 1 month after taking PAcontaining plants, and can be divided into mild, moderate, and severe, depending on the severity. Mild PA-HSOS is self-limiting, moderate PA-HSOS can recover after active symptomatic support treatment, however, treatment effect on severe PA-HSOS is poor, and may be accompanied by multiple organ failure, which can lead to death, and can be divided into acute/subacute and chronic stages. The acute/subacute stage generally refers to the onset of the disease, which is within 3 to 4 weeks, and patients have obvious symptoms, with most having jaundice. The chronic phase is usually several months after the onset of the disease, and portal hypertension complications such as ascites and/or esophageal gastric varices bleeding are the main manifestations, which are similar to the clinical manifestations of decompensated cirrhosis. The typical manifestations are swelling, damage, and shedding of hepatic sinusoid endothelial cells in the hepatic acinus zone Ⅲ and significant dilation and congestion of the hepatic sinusoids.[5] The clinical manifestations and test indicators of PA-HSOS are not specific. The diagnosis is mainly based on the history of the ingestion of plants containing PAs and imaging examinations. This disease can be confused with Budd-Chiari syndrome (BCS), decompensated cirrhosis, or acute severe hepatitis, and misdiagnosis prevents prompt treatment. At present, there is no uniform standard for the diagnosis of PA-HSOS. The Baltimore and Seattle standards for hematopoietic stem cell transplantation (HSCT)-induced HSOS (HSCT-HSOS) are often used as references. The Hepatobiliary Diseases Committee of the Chinese Society of Gastroenterology convened an expert consensus conference on the diagnosis and treatment of PA-HSOS to evaluate current research in China and abroad. The “Nanjing criteria” developed by the committee to diagnose PA-HSOS include a confirmed history of PA-containing plant ingestion and the following: (1) abdominal distention and/or pain in the hepatic region, hepatomegaly, and ascites; (2) elevation of serum total bilirubin levels or abnormal laboratory liver tests; (3) evidence on enhanced CT or MRI; and other known causes of liver damage were excluded.[6] PA-HSOS is essentially a liver microcirculatory disorder, so anticoagulant, antithrombotic, and microcirculation therapy can alleviate the progression of PA-HSOS. Studies have shown that anticoagulant therapy can significantly improve the cure rate of patients with PAHSOS (P = 0.004).[7] PA-HSOS patients with ascites and jaundice in the acute/subacute stage are recommended for early anticoagulation therapy. Antifibrinogenic therapy is widely used in Western countries, and anticoagulation therapy is less well studied.[8,9] Low molecular weight heparin in combination or sequence with warfarin are recommended as anticoagulant regimens in the “Nanjing criteria”.[6] Previous studies of heparin or low-molecular-weight heparin in the treatment of a small series of PA-HSOS patients in China reported recovery rates of 70.7%–88.9%.[5] Low-molecular-weight heparin is significantly safer than unfractionated heparin. The recommended dose is 100 IU/kg every 12 h, administered via subcutaneous injection, and used with caution in patients with renal failure. Warfarin is a vitamin K inhibitor with a definite anticoagulant effect and low cost, but the therapeutic dose range is narrow, individual differences in response are large, and the effectiveness is susceptible to interactions with various foods and medicines. It carries a certain risk of bleeding. During warfarin treatment, the international normalized ratio (INR) should be determined, and the dosage should be adjusted continuously. They must be combined with acid inhibitors. Patient compliance with warfarin therapy is generally poor.
A new oral anticoagulant (NOAC), rivaroxaban, is the first direct oral factor Xa inhibitor. There is no need to monitor coagulation parameters, the anticoagulant effect is exact, and the bleeding risk is low. To some extent, it overcomes the shortcomings of traditional oral anticoagulants and has the characteristics of convenient administration, low bleeding risk, and good patient compliance. Rivaroxaban has been increasingly used as an alternative to warfarin for the prevention of thrombosis in patients with venous thromboembolism (VTE) and atrial fibrillation.[10] It has been widely used in the treatment of deep venous thrombosis and pulmonary embolism. The preventive dose is 10 mg once a day, and the therapeutic dose is 15 mg twice a day to 20 mg twice a day. Rivaroxaban can also be used in the treatment of portal vein thrombosis (PVT) in patients with and without cirrhosis.[10,11] However, in the current research and guidelines, the anticoagulant treatment of venous thromboembolism of atypical location (VTE-AL), such as the spleen, kidney, mesentery, and portal vein, is still dominated by low molecular weight heparin and warfarin.
The main adverse reaction associated with rivaroxaban is bleeding, and attention should be paid to the requirements for liver and kidney function. It is generally believed that the use of rivaroxaban in patients with moderate to severe renal insufficiency should be limited or stopped. The application of rivaroxaban in patients with PA-HSOS has not yet been reported. This study was a singlecenter retrospective case-control study designed to evaluate the efficacy and safety of rivaroxaban in the treatment of PA-HSOS.
Ethics, consent, and permissions: This study was approved by the Ethics Committee of the First Affiliated Hospital of China Medical University, and all participants provided signed informed consent. We obtained consent to publish from the participant to report individual patient data.
METHODS
Subjects
The study included PA-HSOS patients in the acute/subacute phase who visited the Department of Gastroenterology, First Affiliated Hospital of China Medical University from 2017 to 2018. The inclusion criteria were as follows: (1) the diagnosis of PA-HSOS in the acute/subacute phase conformed to the “Nanjing criteria,” (2) age older than 18 years, no genetic relationship with another enrolled patient, and (3) agree to participate in drug research and sign the informed consent. The exclusion criteria were as follows: (1) history of alcohol consumption, medication use, or other liver diseases such as hepatitis; (2) history of other chronic diseases affecting liver function; (3) contraindications from anticoagulant drugs; and (4) lack of consent to participate in drug research.
Data
The following information was collected from the enrolled patients: age, gender, clinical manifestations, history of taking Gynura segetum, disease history, and relevant laboratory indicators and examinations such as alanine aminotransferase (ALT), aspartate aminotransferase (AST), gamma-glutamyl transferase (GGT), alkaline phosphatase (ALP), albumin (ALB), total bilirubin (TBIL), direct bilirubin (DBIL), platelet (PLT), prothrombin activity (PTA), D-dimer (D-D) levels, liver stiffness by liver elastography with supersonic ultrasonic machine, and enhanced CT to detect elasticity and vascular stenosis.
Management
All patients stopped taking Gynura segetum immediately after admission. They were given symptomatic supportive treatment such as cholagogic treatment (ursodeoxycholic, etc.), liver protection (magnesium isoglycyrrhizinate injection, reduced glutathione for injection, etc.), diuretic therapy, improvement of microcirculation, and intermittent plasma and albumin transfusions. Patients with massive ascites underwent intermittent abdominal puncture and drainage of ascites. Low-molecular-weight heparin (Fraxiparine) 4100 IU was injected subcutaneously every 12 h for 2 weeks in all patients. The initial dosage of warfarin was 1.25 mg/day in 10 patients. The INR was monitored 2-3 days later, and the warfarin dosage was adjusted to maintain an INR of 2.0–3.0. Another group of 10 patients received 10 mg rivaroxaban orally once a day. Oral anticoagulation was discontinued when there was no intrahepatic vein stenosis, and elasticity had recovered on imaging. All patients in the warfarin group received acid inhibitors at the same time to reduce the risk of gastrointestinal bleeding. The rivaroxaban group did not use any acid inhibitors.
Follow-up
All patients were reexamined every two weeks or one month using liver ultrasound, liver elastography, routine blood tests, liver function tests, ion levels, coagulation parameters, D-D levels, and other indicators. Other therapeutic drugs, such as liver protective treatments, were adjusted according to the improvement of clinical symptoms and biochemical test results. After symptoms had disappeared and liver function had returned to normal, liver protection therapy was discontinued. The length of the course of anticoagulation was determined according to the presence of vascular stenosis and elasticity on imaging. Rivaroxaban was discontinued after the patients had normal elasticity and hepatic vascular patency. Follow-up continued for 1 year after the condition was completely relieved or the patient died. Safety was assessed based on the occurrence of bleeding events in patients, including clinically relevant nonmajor bleeding (CRNMB) and major bleeding.
Statistical analysis
Normally distributed continuous variables are represented as mean ± standard deviation; otherwise, the data are described as medians (interquartile ranges). Count data are expressed as numbers and percentages. Independent t-tests were used for comparisons of continuous data, and the Mann-Whitney U test was used for data with a skewed distribution. The chi-square test or Fisher’s exact test was used to compare the count data. Statistical significance was set at P < 0.05. All statistical analyses were performed using the IBM SPSS 20.0.
RESULTS
Patient characteristics
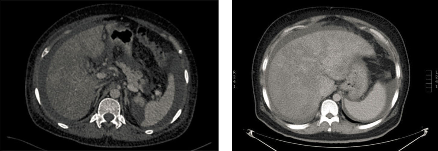
The study included 28 patients and excluded four patients with a previous history of alcohol consumption, two patients without follow-up data, and two patients with incomplete data. In total, 20 patients were enrolled, with 10 in the warfarin group and 10 in the rivaroxaban group. All patients ranged from 43 to 77 years of age, with seven males and 13 females. The patients were mainly taking Gynura segetum for low back pain, general health care, and other reasons. The daily dose was approximately 5–30 g, and the continuous duration during which it had been taken was 2 weeks to 2 years. There were two patients with hypertension and two with diabetes mellitus in both groups. Furthermore, there was one patient with a hepatic hemangioma in the rivaroxaban group, and one patient with a hepatic cyst in the warfarin group. In both groups, the hepatic parenchyma showed characteristic “map-like” and “patchy” nonuniform enhancement in the venous phase and balanced phases (Figure 1), the hepatic veins became thinner, the blood flow velocity slowed down and the elasticity increased significantly. All patients had ascites, and two patients each in the warfarin and rivaroxaban groups had umbilical vein opening. There were two patients with PVT in each group; two patients in the warfarin group and one patient in the rivaroxaban group had splenomegaly, while one patient in each group showed a decrease in liver volume and a disordered proportion of each lobe. The general characteristics of the study subjects and a comparison of the clinical data is shown in Table 1. There were no significant differences in age, sex, duration of taking Gynura segetum, biochemical indicators, or elasticity between the two groups (P > 0.05).
Figure 1: Enhanced Computed tomography scans showing “map-like” inhomogeneous enhancement of liver
| Item | Warfarin group (n = 10) | Rivaroxaban group (n = 10) | Statistic | P |
| Age, year | 60.50 ± 10.26 | 60.20±11.03 | t = 0.063 | 0.95 |
| Male/female, n | 4/6 | 3/7 | χ2 = 0 | 1 |
| Duration of taking Gynura segetum (months) | 1.25[0.88,7.50] | 2.25[0.88,8.25] | U = 53.5 | 0.8 |
| Source of Gynura segetum, n | ||||
| Self-planted | 6 | 7 | χ2 = 0.21 | 0.648 |
| Bought at a pharmacy or online | 4 | 3 | χ2 = 0.21 | 0.648 |
| Method of consuming Gynura segetum, n | ||||
| Grind into powder and flush | 2 | 2 | χ2 = 0 | 1 |
| Boil in water | 4 | 5 | χ2 = 0.19 | 0.661 |
| Soak in water | 3 | 2 | χ2 = 0.25 | 0.615 |
| Soak in wine | 1 | 1 | χ2 = 0 | 1 |
| First symptoms, n | ||||
| Abdominal distention | 2 | 2 | χ2 = 0 | 1 |
| Abdominal distension, fatigue, poor acceptance | 5 | 4 | χ2 = 0.19 | 0.661 |
| Abdominal distension, abdominal pain | 2 | 3 | χ2 = 0.25 | 0.615 |
| Fatigue, emaciation | 1 | 1 | χ2 = 0 | 1 |
| Positive signs on physical examination, n | ||||
| Abdominal bulging and mobile voiced sound | 10 | 10 | χ2 = 0 | 1 |
| Upper abdominal tenderness | 2 | 3 | χ2 = 0.25 | 0.615 |
| Edema of lower limbs | 2 | 2 | χ2 = 0 | 1 |
| Jaundice | 3 | 2 | χ2 = 0.25 | 0.615 |
| Subcostal palpable spleen | 1 | 1 | χ2 = 0 | 1 |
| Ascites level, n | ||||
| Light | 2 | 1 | χ2 = 0.37 | 0.54 |
| Moderate | 6 | 7 | χ2 = 0.21 | 0.648 |
| Severe | 2 | 2 | χ2 = 0 | 1 |
| Anamnesis, n | ||||
| Hypertension | 2 | 2 | χ2 = 0 | 1 |
| Diabetes | 2 | 2 | χ2= 0 | 1 |
| Hepatic hemangioma or cyst | 1 | 1 | χ2 = 0 | 1 |
| Laboratory indicators | ||||
| ALT (9-50 U/L) | 93.00 [24.50,182.00] | 98.00 [19.25,174.75] | U = 42.5 | 0.579 |
| AST (15-40 U/L) | 131.50 [57.50,255.50] | 137.00 [51.25,263.00] | U = 49.5 | 0.971 |
| ALP (45-125 U/L) | 154.50 [67.25,202.25] | 153.00 [109.00,228.25] | U = 62 | 0.393 |
| GGT (10-60 U/L) | 131.00 [55.25,261.75] | 193.50 [69.75,357.75] | U = 55 | 0.739 |
| Tbil (3.4-20.5 μmol/L) | 35.10 [24.65,61.63] | 40.10 [24.00,53.75] | U = 52 | 0.912 |
| Dbil (0-6.8 μmol/L) | 17.85 [7.55,32.05] | 21.05 [15.05,35.55] | U = 60 | 0.481 |
| ALB (40-55 g/L) | 28.50 [24.68,30.80] | 27.35 [26.23,30.98] | U = 51.5 | 0.912 |
| PT (11-13.7 s) | 16.70 [15.05,19.18] | 18.05 [15.73,19.13] | U = 55 | 0.739 |
| Fg (2–4 g/L) | 2.14 [1.84,3.70] | 2.03 [1.69,3.81] | U = 47.5 | 0.853 |
| PTA (80–120%) | 58.50 [52.00,65.00] | 56.50 [49.75,67.75] | U = 48 | 0.912 |
| INR (80–120) | 1.47 [1.26,1.68] | 1.48 [1.28,1.61] | U = 47 | 0.853 |
| D-D (0–0.5 μg/mL) | 2.77 [1.72,3.54] | 2.86 [1.51,4.51] | U = 51 | 1 |
| PLT (125–350×109/L) | 129.50 [97.00,211.00] | 123.50 [103.50,158.25] | U = 49 | 0.971 |
| Hepatic elasticity ( < 7.0 kPa) | 37.35 [30.95,51.30] | 43.45 [26.70,55.93] | U = 54 | 0.796 |
| Anticoagulation course (days) | 90.00 [90.00,90.00] | 30.00 [30.00,90.00] | U = 15 | 0.007* |
| Hospitalization time (days) | 22.00 [14.75,24.00] | 18.50 [14.00,25.25] | U = 46 | 0.796 |
| Fg: Fibrinogen | ||||
Outcome and prognosis
One patient in the warfarin group did not regularly undergo INR reexaminations after being discharged from the hospital. After taking the medicine for 40 days, a massive hemorrhage of the digestive tract and urinary tract occurred, which improved after stopping the medicine. The remaining patients underwent regular re-examination of their INRs. Four patients had CRNMB, which manifested as gingival bleeding, epistaxis, and skin ecchymosis; this improved after dose reduction, and no other serious adverse reactions occurred. Six patients in the rivaroxaban group had limb itching and needle-like pain approximately one week after initiating treatment. The patients were asked to take the medicine orally every other day, and all symptoms were relieved. Three patients presented with CRNMB, which manifested as gingival bleeding, epistaxis, and skin ecchymosis; all symptoms improved after dose reduction, and no severe adverse reactions occurred. One patient in each group developed hepatic failure and hepatic encephalopathy during treatment and died after leaving the hospital. The remaining patients were discharged after clinical remission, and the blood routine, liver function, and liver elasticity gradually returned to normal after discharge, and clinical cure was achieved after therapy. No patient underwent interventional therapy. The recanalization rate of hepatic vessels, the incidence of hemorrhage, and mortality during treatment are compared in Table 2. There was no statistical difference in the anticoagulant effect between the rivaroxaban and warfarin groups, but the treatment course of the rivaroxaban group was shorter, no additional acid inhibitor was needed, and the patients’ compliance was better.
| Warfarin group (n = 10) | Rivaroxaban group (n = 10) | P | |
| 1-month recanalization rate, % | 40 | 60 | 0.39 |
| 2-month recanalization rate, % | 60 | 70 | 0.65 |
| 3-month recanalization rate, % | 90 | 90 | 1 |
| Incidence of all bleeding events, n | 5 | 3 | 0.37 |
| Incidence of massive hemorrhage, n | 10 | 0 | 0.32 |
| Incidence of CRNMB, % | 40 | 30 | 0.65 |
| Incidence of massive hemorrhage with CRNMB, % | 0 | 0 | 1 |
| Fatality rate, % | 10 | 10 | 1 |
DISCUSSION
In this study, rivaroxaban was found to be effective in the treatment of PA-HSOS. The majority of patients with PA-HSOS experienced symptom relief after approximately one month. Ultrasound showed blood flow in the three hepatic veins, and the blood test indexes returned to normal or nearly normal. During anticoagulation, vaginal bleeding, bloody ascites, and other bleeding tendencies appeared in some patients, all of which improved after dose reduction, and no serious adverse events occurred due to bleeding. There was no significant difference in the incidence of bleeding events between the rivaroxaban and warfarin groups, which may be related to the small sample size. The duration of anticoagulation therapy in the warfarin group was longer than that in the rivaroxaban group, and the difference was statistically significant.
A 2015 study[12] assessed, for the first time, the difference in the risk of bleeding between traditional anticoagulants and direct oral anticoagulants (DOACs) in patients with liver cirrhosis. Thirty- nine patients with liver cirrhosis with CTP grades A and B were enrolled in the study. They were divided into the traditional anticoagulation (warfarin and low molecular weight heparin) group and the DOAC (factor Xa inhibitors: apisaban and rivaroxaban) groups. The results show that there was no significant difference in the risk of bleeding between the two groups (P = 0.9). Similar conclusions were drawn from a subsequent study.[13] Animal studies have shown that rivaroxaban could help to alleviate hepatocyte fibrosis and reduce portal pressure in mice,[14,15,16] thus supporting the application of rivaroxaban in patients with liver cirrhosis.
In recent years, research on rivaroxaban for the treatment of VTE-AL has gradually increased. A study showed that the VTE recurrence and bleeding rates for NOACs used for VTE-AL are not different from those in patients with VTE-TL and are similar to those for enoxaparin.[17] Studies on PVT show that rivaroxaban is effective in the treatment of PVT with a low risk of bleeding and is superior to traditional oral drugs.[11,18,19] At present, there are few studies on the application of rivaroxaban in patients with liver cirrhosis and liver dysfunction. It is generally believed that patients with liver diseases, who are at risk of coagulation abnormalities and clinical-related bleeding, including patients with liver cirrhosis CTP grade B and C, should not use rivaroxaban.
To date, the application of rivaroxaban for the treatment of PAHSOS has not been reported. Referring to the application of rivaroxaban in PVT and other abdominal organ venous embolism diseases, this study innovatively applied low-molecular-weight heparin in sequence with rivaroxaban oral treatment of PA-HSOS. Considering the abnormal liver function and coagulation function of these patients, they were administered a preventive dose of 10 mg once daily. The results show that there is no difference in the anticoagulant effect between the rivaroxaban and warfarin groups, but the treatment course of the rivaroxaban group was shorter, no additional acid inhibitor was needed, and the patients’ compliance was better.
In summary, the main reasons PA-HSOS patients take Gynura segetum are general health care and the treatment of lumbago and leg pain. Most patients experienced an onset of adverse reaction within one month of taking Gynura segetum. It is important to note that most of the patients were female. Laboratory examinations of PA-HSOS are not specific. Imaging examinations play an important role in the diagnosis of PA-HSOS.[20,21,22] Currently, there is no effective treatment for PA-HSOS. Early detection and active treatment can greatly reduce the mortality rate of patients. The clinical manifestations and examinations of the patients included in this study were typical, with clear diagnosis and representative results.
A limitation of this study is that it was a single-center study with small sample size and no randomization or blinding. In addition, there was no long-term follow-up data on treatment effects; therefore, further large-sample studies are needed. The replacement of warfarin anticoagulant therapy with rivaroxaban for PAHSOS has greatly improved the safety of treatment and provides new methods for the diagnosis and treatment of the disease. The application of anticoagulant therapy in patients with PA-HSOS is still being explored. The clinical application of rivaroxaban anticoagulant therapy in patients with PA-HSOS, especially in patients with decompensated CTP grade C cirrhosis, requires caution.
Acknowledgements
The authors extend gratitude to all the enrolled patients for their contributions.
Author contributions
HB and DL are the first authors, BC and YL are the corresponding authors, BC and YL carried out clinical studies, XH, JT, YW, RA, and NW carried out data collection; and HB and DL carried out data analysis and manuscript writing.
Funding
This work was supported by the Natural Science Foundation of China (NSFC) (No. 81700453)The funding body has no role in the design of the study, collection, analysis, and interpretation of data, or in writing the manuscript.
Availability of data and materials
The datasets supporting the conclusions of the current study are available at the First Affiliated Hospital of China Medical University, which are available from the corresponding author upon reasonable request.
Ethics approval and consent to participate
This study was approved by the Ethics Committee of the First Affiliated Hospital of China Medical University, and written informed consent was obtained from all enrolled patients.
Consent for publication
Not applicable.
Conflicts of interest
The authors declare that they have no competing interests.
REFERENCES
- Chen L, Mulder PPJ, Louisse J, Peijnenburg A, Wesseling S, Rietjens IMCM. Risk assessment for pyrrolizidine alkaloids detected in (herbal) teas and plant food supplements. Regul Toxicol Pharmacol 2017;86:292–302. DOI: 10.1016/j.yrtph.2017.03.019
- Lin G, Wang JY, Li N, Li M, Gao H, Ji Y, et al. Hepatic sinusoidal obstruction syndrome associated with consumption of Gynura segetum. J Hepatol 2011;54:666–673. DOI: 10.1016/j.jhep.2010.07.031
- Wang X, Qi X, Guo X. Tusanqi-Related Sinusoidal Obstruction Syndrome in China: A Systematic Review of the Literatures. Medicine 2015;94:e942. DOI: 10.1097/MD.0000000000000942
- Ma J, Xia Q, Fu PP, Lin G. Pyrrole-protein adducts-A biomarker of pyrrolizidine alkaloid-induced hepatotoxicity. J Food Drug Anal 2018;26:965–972. DOI: 10.1016/j.jfda.2018.05.005
- Zhuge Y, Liu Y, Xie W, Zou X, Xu J, Wang J, et al. Expert consensus on the clinical management of pyrrolizidine alkaloid-induced hepatic sinusoidal obstruction syndrome. J Gastroenterol Hepatol 2019;34:634–642. DOI: 10.1111/jgh.14612
- Cooperative group for hepatic and gall diseases, Chinese society of gastroenterology, Chinese medical association. Expert consensus on the diagnosis and treatment of pyrrole alkaline-related hepatic sinus obstruction syndrome. Chin J Dig 2017;37:513–522.
- Wang Y, Qiao D, Li Y, Xu F. Risk factors for hepatic veno-occlusive disease caused by Gynura segetum: a retrospective study. BMC Gastroenterology 2018;18:156. DOI: 10.1186/s12876-018-0879-7
- Kernan NA, Grupp S, Smith AR, Arai S, Triplett B, Antin JH, et al. Final results from a defibrotide treatment-IND study for patients with hepatic veno-occlusive disease/sinusoidal obstruction syndrome. Br J Haematol 2018;181:816–827. DOI: 10.1111/bjh.15267
- Kernan NA, Richardson PG, Smith AR, Triplett BM, Antin JH, Lehmann L, et al. Defibrotide for the treatment of hepatic veno- occlusive disease/sinusoidal obstruction syndrome following nontransplant-associated chemotherapy: Final results from a post hoc analysis of data from an expanded-access program. Pediatric Blood & Cancer 2018;65:e27269. DOI: 10.1002/pbc.27269
- Priyanka P, Kupec JT, Krafft M, Shah NA, Reynolds GJ. Newer Oral Anticoagulants in the Treatment of Acute Portal Vein Thrombosis in Patients with and without Cirrhosis. Int J Hepatol 2018; 2018:8432781. DOI: 10.1155/2018/8432781
- Nery F, Valadares D, Morais S, Gomes MT, De Gottardi A. Efficacy and Safety of Direct-Acting Oral Anticoagulants Use in Acute Portal Vein Thrombosis Unrelated to Cirrhosis. Gastroenterology Res 2017;10:141–143. DOI: 10.14740/gr806w
- Intagliata NM, Henry ZH, Maitland H, Shah NL, Argo CK, Northup PG, et al. Direct Oral Anticoagulants in Cirrhosis Patients Pose Similar Risks of Bleeding When Compared to Traditional Anticoagulation. Dig Dis Sci 2016;61:1721–1727. DOI: 10.1007/s10620-015-4012-2
- Hum J, Shatzel JJ, Jou JH, Deloughery TG. The efficacy and safety of direct oral anticoagulants vs traditional anticoagulants in cirrhosis. Eur J Haematol 2017;98:393–397. DOI: 10.1111/ejh.12844
- Mahmoud NI, Messiha BAS, Abo-Saif AA, Abdel-Bakky MS. Inhibition of activated factor X; a new pathway in ameliorating carbon tetrachloride-induced liver fibrosis in rats. J Biochem Mol Toxicol 2019;4:e22287. DOI: 10.1002/jbt.22287
- Dhar A, Sadiq F, Anstee QM, Levene AP, Goldin RD, Thursz MR. Thrombin and factor Xa link the coagulation system with liver fibrosis. BMC Gastroenterology 2018;18:60. DOI: 10.1186/s12876-018-0789-8
- Vilaseca M, García-Calderó H, Lafoz E, García-Irigoyen O, Avila MA, Reverter JC, et al. The anticoagulant rivaroxaban lowers portal hypertension in cirrhotic rats mainly by deactivating hepatic stellate cells. Hepatology 2017;65:2031–2044. DOI: 10.1002/hep.29084
- Janczak DT, Mimier MK, McBane RD, Kamath PS, Simmons BS, Bott-Kitslaar DM, et al. Rivaroxaban and Apixaban for Initial Treatment of Acute Venous Thromboembolism of Atypical Location. Mayo Clin Proc 2018;93:40–47.DOI: 10.1016/j.mayocp.2017.10.007
- Yang H, Kim SR, Song MJ. Recurrent acute portal vein thrombosis in liver cirrhosis treated by rivaroxaban. Mayo Clin Proc 2016;22: 499–502. DOI: 10.3350/cmh.2016.0016
- Hanafy AS, Abd-Elsalam S, Dawoud MM. Randomized controlled trial of rivaroxaban versus warfarin in the management of acute non-neoplastic portal vein thrombosis. Vascul Pharmacol 2019;113: 86-91. DOI: 10.1016/j.vph.2018.05.002
- Zhou H, Wang YX, Lou HY, Xu XJ, Zhang MM. Hepatic Sinusoidal Obstruction Syndrome Caused by Herbal Medicine: CT and MRI Features. Korean J Radiol 2014;15:218–25. DOI: 10.3348/kjr.2014.15.2.218
- Shao H, Chen HZ, Zhu JS, Ruan B, Zhang ZQ, Lin X, et al. Computed tomography findings of hepatic veno-occlusive disease caused by Sedum aizoon with histopathological correlation. Braz J Med Biol Res 2015;48:1145–50. DOI: 10.1590/1414-431x20154563
- Kan X, Ye J, Rong X, Lu Z, Li X, Wang Y, et al. Diagnostic performance of Contrast-enhanced CT in Pyrrolizidine Alkaloids-induced Hepatic Sinusoidal Obstructive Syndrome. Sci Rep 2016;6:37998. DOI: 10.1038/srep37998
License
Copyright (c) 2022 Yiling Li

This work is licensed under a Creative Commons Attribution-NonCommercial-ShareAlike 4.0 International License.




