Emphysematous cystitis: a 6-year experience with 13 cases
Emphysematous cystitis
DOI:
https://doi.org/10.54844/cai.2021.0012Keywords:
emphysematous cystitis, gas, urinary, bladder, infection, diabetes mellitusAbstract
Background: Emphysematous cystitis (EC) is a rare urinary tract infection (UTI) with nonspecific clinical manifestations. Most cases are found in patients with diabetes mellitus (DM). Early diagnosis and treatment are important for the prognosis. Objective: The purpose of our study is to analyze the features of patients with EC for the epidemiology, microbiology, clinical symptoms, imaging examination, treatment, prognosis, and prevention. Materials and Methods: We summarized the clinical data of 13 patients with EC for medical history, laboratory and radiological examinations, treatments, and results. We analyzed the reported risk factors to determine whether these factors were related to the failure of conservative treatment. Results: All but one of the patients were women, and all but one had DM. All patients were diagnosed using computed tomography (CT). Escherichia coli (E. coli) and Klebsiella pneumoniae (K. pneumoniae) were the two major microbes identified in our series, accounting for 69.3%. Twelve (92.3%) patients received conservative management, and one underwent partial cystectomy. All the patients recovered and no death was recorded. Conclusion: EC is a gas-forming UTI common in women with DM. Early diagnosis and appropriate treatment are required to prevent surgical intervention.
References
Amano M, Shimizu T. Emphysematous cystitis: a review of the literature. Intern Med 2014;53:79–82. DOI: https://doi.org/10.2169/internalmedicine.53.1121
Thomas AA, Lane BR, Thomas AZ, Remer EM, Campbell SC, Shoskes DA. Emphysematous cystitis: a review of 135 cases. BJU Int 2007;100:17–20. DOI: https://doi.org/10.1111/j.1464-410X.2007.06930.x
Misgar RA, Mubarik I, Wani AI, Bashir MI, Ramzan M, Laway BA. Emphysematous pyelonephritis: A 10-year experience with 26 cases. Indian J of Endocrinol Metab 2016;20:475–80. DOI: https://doi.org/10.4103/2230-8210.183475
Bjurlin MA, Hurley SD, Kim DY, Cohn MR, Jordan MD, Kim R, et al. Clinical outcomes of nonoperative management in emphysematous urinary tract infections. Urology 2012; 79:1281–5. DOI: https://doi.org/10.1016/j.urology.2012.02.023
Yoshidao K , Murao K, Fukuda N, Tamura Y, Ishida T. Emphysematous cystitis with diabetic neurogenic bladder. Intern Med 2010;49:1879–83. DOI: https://doi.org/10.2169/internalmedicine.49.3247
Shokeir AA, El-Azab M, Mohsen T, El-Diasty T. Emphysematous pyelonephritis: A 15‑year experience with 20 cases. Urology, 1997; 49:343–6. DOI: https://doi.org/10.1016/S0090-4295(96)00501-8
Toyota N, Ogawa D, Ishii K, Hirata K, Wada J, Shikata K, et al. Emphysematous cystitis in a patient with type 2 Diabetes mellitus. Acta Med Okayama 2011;65:129–33.
Huang JJ, Chen KW, Ruaan MK. Mixed acid fermentation of glucose as a mechanism of emphysematous urinary tract infection. J Urol 1991; 46:148-51. DOI: https://doi.org/10.1016/S0022-5347(17)37736-4
Yang WH, Shen NC. Gas-forming infection of the urinary tract: aninvestigation of fermentation as a mechanism. J Urol 1990; 143: 960–4. DOI: https://doi.org/10.1016/S0022-5347(17)40151-0
Grupper M, Kravtsov A, Potasman I. Emphysematous cystitis: illustrative case report and review of the literature. Medicine (Baltimore) 2007;86:47–53. DOI: https://doi.org/10.1097/MD.0b013e3180307c3a
Quint HJ , Drach GW, Rappaport WD, Hoffmann CJ . Emphysematous cystitis: a review of the spectrum of disease. J Urol 1992;147:134–7. DOI: https://doi.org/10.1016/S0022-5347(17)37160-4
Dhingra KR. A case of complicated urinary tract infection: Klebsiella pneumoniae emphysematous cystitis presenting as abdominal pain in the emergency department. West J Emerg Med 2008;9: 171–3.
Merkel LK, Lulich J, Polzin D, Ober C, Westropp J, Sykes J. Clinicopathologic and microbiologic findings associated with emphysematous cystitis in 27 dogs. J Am Anim Hosp Assoc 2017; 53:313–20. DOI: https://doi.org/10.5326/JAAHA-MS-6722
Huang JJ, Tseng CC. Emphysematous pyelonephritis: clinicoradiological classification, management, prognosis, and pathogenesis. Arch Intern Med 2000;60:797–805. DOI: https://doi.org/10.1001/archinte.160.6.797
Yokoo T, Awai T, Yamazaki H, Fukuda Y, Hayashi F, Hosoya T. Emphysematous cystitis complication in a patient undergoing hemodialysis. Clin Exp Nephrol 2007;11:247–50. DOI: https://doi.org/10.1007/s10157-007-0478-3
Grayson DE, Abbott RM, Levy AD, Sherman PM. Emphysematous infections of the abdomen and pelvis: a pictorial review. Radiographics 2002;22:543–61. DOI: https://doi.org/10.1148/radiographics.22.3.g02ma06543
Ahmad M, Dakshinamurty KV. Emphysematous renal tract disease due to Aspergillus fumigatus. J Assoc Physicians India 2004;52: 495–7.
Küpeli S, Bedük Y, Yaman S, Safak M. Emphysematous pyelonephritis with pneumocystitis. Urol Int 1988;43:318–20. DOI: https://doi.org/10.1159/000281366
Ronald A, Ludwig E. Urinary tract infections in adults with diabetes. Int J Antimicrob Agents 2001;17:287–92. DOI: https://doi.org/10.1016/S0924-8579(00)00356-3
Jarrett TW, Vaughan ED Jr. Accuracy of computerized tomography in the diagnosis of colovesical fistula secondary to diverticular disease. J Urol 1995;153:44–6. DOI: https://doi.org/10.1097/00005392-199501000-00018
Choong KK. Sonographic detection of emphysematous cystitis. J Ultrasound Med 2003;22:847–9. DOI: https://doi.org/10.7863/jum.2003.22.8.847
Eken A, Alma E. Emphysematous cystitis: The role of CT imaging and appropriate treatment. Can Urol Assoc J 2013; 7: E754-6. DOI: https://doi.org/10.5489/cuaj.472
Kauzlaric D, Barmeir E. Sonography of emphysematous cystitis. J Ultrasound Med 1985;4:319–20. DOI: https://doi.org/10.7863/jum.1985.4.6.319
Stamm WE, Hooton TM. Management of urinary tract infections in adults. N Engl J Med 1993;329:1328–34. DOI: https://doi.org/10.1056/NEJM199310283291808
Downloads
Published
How to Cite
Issue
Section
Downloads
Emphysematous cystitis: a 6-year experience with 13 cases
Jun Yang1, Kefeng Wang2
1Department of Gastroenterology, Shengjing Hoospital of China Medical University, Shenyang 110004, Liaoning Province, China
2Department of Urology, Shengjing Hospital of China Medical University, Shenyang 110004, Liaoning Province, China
ABSTRACT
Background and Objective: Emphysematous cystitis (EC) is a rare urinary tract infection (UTI) with nonspecific clinical manifestations. Most cases are found in patients with diabetes mellitus (DM). Early diagnosis and treatment are important for the prognosis. The purpose of our study is to analyze the features of patients with EC for the epidemiology, microbiology, clinical symptoms, imaging examination, treatment, prognosis, and prevention. Materials and Methods: We summarized the clinical data of 13 patients with EC for medical history, laboratory and radiological examinations, treatments, and results. We analyzed the reported risk factors to determine whether these factors were related to the failure of conservative treatment. Results: All but one of the patients were women, and all but one had DM. All patients were diagnosed using computed tomography (CT). Escherichia coli (E. coli) and Klebsiella pneumoniae (K. pneumoniae) were the two major microbes identified in our series, accounting for 69.3%. Twelve (92.3%) patients received conservative management, and one underwent partial cystectomy. All the patients recovered and no death was recorded. Conclusion: EC is a gas-forming UTI common in women with DM. Early diagnosis and appropriate treatment are required to prevent surgical intervention.
Key words: emphysematous cystitis, gas, urinary, bladder, infection, diabetes mellitus
Address for correspondence:
Dr. Jun Yang, Department of Gastroenterology, Shengjing Hospital of China Medical University, 36 Sanhao Street, Heping District, Shenyang 110004, Liaoning Province, China. E-mail: junjun_1981@126.com
Submitted: 04-01-2021 Revised: 07-02-2021
Accepted: 24-02-2021 Published: 25-03-2022
For reprints contact: reprints@sppub.org
INTRODUCTION
Urinary tract infection (UTI) is a common disease worldwide, especially in patients with diabetes mellitus (DM). Emphysematous cystitis (EC) is a rare UTI that results in gas formation within the lumen or wall of the bladder. More than 70% of patients with EC have DM. The presence of air in the urinary system was first reported as “pneumaturia” in 1671.[1] “Emphysema” of the bladder was described by Eisenlohr in 1800s.[2] “Emphysema pyelonephritis (EPN)” was reported by Kelly almost at the same period.[3] The term, “cystitis emphysematosa,” was first portrayed by Bailey in 1961.[2] The clinical symptoms of EC are often atypical, leading to sepsis in some patients due to delayed diagnosis. Recently, an increasing number of cases of EC have been reported as a result of a better understanding of this unusual disease. EC has not been well elucidated because of a lack of early diagnostic clues. In our study, we summarized the characteristics of 13 patients with EC, including the epidemiology, microbiological findings, clinical symptoms, diagnosis, treatment, prognosis, and prevention.
MATERIALS AND METHODS
The clinical data of the 13 patients with EC were collected from the Department of Information of the Shengjing Hospital of China Medical University (Shenyang, China) between 2013 and 2019. The diagnosis of EC relied on clinical manifestations and typical computed tomography (CT) findings, showing gas formation within the lumen or wall of the bladder. We retrospectively analyzed the demographics, microbiological results, clinical manifestations, diagnosis, treatment, and prognosis of these patients.
The basic treatments included fluid resuscitation, blood glucose control, antibiotic application, and retention catheterization. The success of basic treatment was defined as clinical alleviation and gas reduction or disappearance on CT images. Broad spectrum antibiotics were administered until the results of bacterial culture were obtained. The drug was adjusted according to the sensitivity of urinary tract pathogens. Uncontrolled progression resulted in partial cystectomy in one patient. All patients were followed up for six months and agreed to disclose their data.
This study was approved by the Ethics Committee of Medical Research and New Technology, Shengjing Hospital of China Medical University. The measurement data of normal distribution were expressed as mean±standard deviation (SD). The measurement data that do not conform to the normal distribution are expressed as quartile ranges. The enumeration count data were expressed as the number of cases (percentage).
RESULTS
Clinical data
The characteristics of the 13 patients are shown in Table 1. All but one of the patients were female. The average age of the patients was 54.1±15.8 years (range 25–76 years). All but one of the patients had DM (2 type 1 and 10 type 2). The average course of DM was 4.1±3.0 years (range 0.2–12 years). One patient had diabetic ketoacidosis and two others had diabetic nephropathy.
| Characteristic | n (%) |
| Age (years)* | 54.1 (15.8) |
| Female | 12 (92.3) |
| Diabetes mellitus (DM) | 12 (92.3) |
| Type 1 DM | 2 (16.7) |
| Type 2 DM | 10 (83.3) |
| Duration of DM (years)* | 4.1 (3.0) |
| DKA | 1 (7.7) |
| Diabetic nephropathy | 2 (15.4) |
| Clinical features | |
| Abdominal pain | 8 (61.5) |
| Hematuresis | 6 (46.2) |
| Dysuria | 4 (30.8) |
| Nausea/vomiting | 4 (30.8) |
| Fever/chills | 2 (15.4) |
| Hypotension | 1 (7.7) |
| *Data are expressed as mean (SD). DKA: Diabetic ketoacidosis | |
The average course of EC was 62.2 ± 74.9 days (range 1–242 days). The main clinical symptoms included abdominal pain (61.5%), hematuria (46.2%), dysuria (30.8%), nausea/vomiting (30.8%), and fever/chills (15.4%). One patient (7.7%) developed hypotension due to severe sepsis.
Laboratory findings and imaging examination
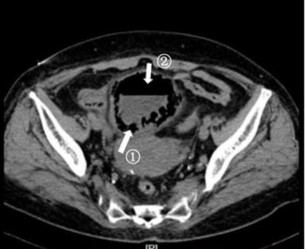
The laboratory findings of the 13 patients are shown in Table 2. All patients had an increased leukocyte count in the routine urine. The average leukocyte count of the patients was 2423.8±3441.2/μL (range 128-10933/μL). A majority (76.9%) of the patients had hematuria. The fasting blood glucose ranged from 8.4 to 19.4 mmol/L with an average of 12.1±3.1 mmol/L. The glycated hemoglobin (HbA1c) ranged from 6.6% to 11.3% with an average of 8.3±1.3%, reflecting poor glycemic control within the last two months. Two patients had azotemia, and two had proteinuria/hypoalbuminemia. All patients underwent abdominal CT, which revealed gas formation within the lumen or wall of the bladder (Figure 1).
| Laboratory examination | n (%) | |
| Leukocyte count /μL* | 2423.8 (3441.2) | |
| Hematuria | 10 (76.9) | |
| FBG* | 12.1 (3.1) | |
| HbA1c%* | 8.3 (1.3) | |
| Azotemia | 2 (15.4) | |
| Proteinuria/hypoalbuminemia | 2 (15.4) | |
| *Data are expressed as mean (SD). FGB: Fasting blood glucose; HbA1c: Glycated hemoglobin | ||
Figure 1: Computed tomography reveals a circumferential intramural (arrow 1) and intraluminal (arrow 2) gas of the bladder
Microbiological results
The microbiological results of the 13 patients are presented in Table 3 Escherichia coli (E. coli) was found to be the most common pathogenic bacterium isolated from six (46.2%) patients. Klebsiella pneumoniae (K. pneumoniae) was isolated from three (23.1%) patients. Enterobacter aerogenes was isolated from the urine of two (15.4%) patients, while Pseudomonas aeruginosa infection was documented in one (7.7%). Meanwhile, none of the pathogenic bacteria was isolated from one patient (7.7%).
| Pathogens | n (%) | |
| Escherichia coli | 6 (46.1) | |
| Klebsiella pneumoniae | 3 (23.1) | |
| Enterobacter aerogenes | 2 (15.4) | |
| Pseudomonas aeruginosa | 1 (7.7) | |
| No pathogen | 1 (7.7) |
Management and outcome
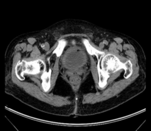
Of the 13 patients in our study, 12 were managed with medical therapy, including glycemic control, urine drainage, and antibiotic administration. Only one patient underwent partial cystectomy because of ineffective conservative treatment. All the patients recovered and no death was recorded (Figure 2).
Figure 2: Computed tomography reveals gas has nearly disappeared after treatment
DISCUSSION
EC is a rare form of complex UTI characterized by gas formation in the bladder wall or lumen. It is typically found in elderly women with severe DM.[2,4,5] Women have a higher incidence than men because they are more likely to develop UTIs.[6] In our study, the ratio of women to men was 12 to 1. Predisposing factors for UTI, such as DM, hypoimmunity, neurogenic bladder, being bedridden, recurrent urinary retention, and lower urinary tract obstruction, are also predisposing factors for EC.[7] EC is usually diagnosed radiologically, however, the actual incidence of EC is higher than that reported because patients with UTIs usually do not require CT scans. The atypical clinical symptoms cause many patients to miss the best treatment time. At present, studies on EC are limited and require further investigation.
The pathophysiological mechanism of EC is unclear and needs to be clearly understood. Hyperglycemia provides more nutrients for microbes in the microenvironment. Pathogens can intrude the bladder wall through blood vessels or lymphatics, and decompose glucose in urine to create gas. Therefore, gas-producing bacteria, damaged tissue perfusion, high tissue glucose levels, and deficient immune responses are all potential predisposing factors.[8] In particular, high tissue glucose concentration can act as a beneficial substrate for microbes to produce hydrogen and carbon dioxide through natural fermentation processes.[9] Since, non-diabetic patients are also susceptible to the infection, it is possible that tissue protein and lactulose also act as substrates.[10] Obstruction in gas delivery due to local inflammation or blocking processes can also increase the risk of pneumouria. The release of bacterial endotoxins in complex UTIs can be involved in inflammatory processes, leading to urinary tract paralysis and retention.[11,12] A multifactorial etiology of the damaged host response to protein or sugar fermentation might be a credible explanation for gas production in the affected tissues.
The clinical manifestations of EC are variable and nonspecific. Patients can be asymptomatic or present with uncomplicated UTI signs, such as abdominal pain, hematuria, urinary frequency and urgency, odynuria, and dysuria.[13] Fever and severe sepsis may also occur in patients with EC and other emphysematous UTIs, such as EPN, thus increasing the mortality rate from 3% to 20%.[4,14] Although pneumouria can appear and represent a specific symptom, it is seldom recognized or noticed. Pneumouria occurs in 70% of patients undergoing retention catheterization.[15] Therefore, no typical clinical symptoms of EC have been reported, while approximately 7% of patients are asymptomatic and are diagnosed accidentally during abdominal CT scans for other illnesses.[2] Doctors should pay more attention to subtle symptoms, such as abdominal swelling pain and hematuria. If EC is not detected early, it can progress into a more serious ascending infection, such as EPN. Early discovery and timely medical intervention reduces mortality and the need for surgical management.
E. coli and K. pneumoniae are the two major microbes that are separated in urine culture.[1] Consistent with literature, we discovered that E. coli was present in 46.2% of all 13 patients, and K. pneumoniae was the second most frequently separated microbial species. Other reported microbes include Enterobacter aerogenes, Pseudomonas aeruginosa, Candida albicans, Candida tropicalis, Proteus mirabilis, Enterococcus faecalis, Citrobacter spp., Aerobacter spp., Aspergillus spp., Staphylococcus aureus, Nocardia spp., Streptococcus spp., Clostridium welchii, and Clostridium perfringens.[1] In our study, only Enterobacter aerogenes and Pseudomonas aeruginosa were isolated from urine in two and one patient, respectively. One patient (7.7%) was culture-negative in both blood and urine.
Imaging examination is indispensable in the diagnosis of EC, and plain abdominal radiography is the most common method. Studies have revealed that plain abdominal radiography accounts for 84% of reported cases.[2] The representative radiographic findings present a radiolucent curvilinear air around the bladder wall (Figure 3). The presence of gas in the bladder wall is characterized by pebbles or “bead necklace” appearance, reflecting irregular thickening of the non-dependent mucosal surface due to submucosal blebs.[16] CT is needed for a definite diagnosis, and shows the severity and extent of EC.[16] CT can also be used to identify infections that are not obvious on plain abdominal radiography.[17,18] More importantly, CT can distinguish between other diseases that can interfere, such as vesicocolic or vesicovaginal fistula, adjacent neoplastic disease, trauma, pneumatosis cystoides intestinalis, vaginitis emphysematosa, and gas gangrene of the uterus.[16,19,20] Ultrasound can display wall thickening and hyperechoic region dirty acoustic shadowing,[21] but some authors report that it has a low sensitivity.[22] Cystoscopy is not necessary for the diagnosis, because other examinations, such as IVU, ultrasound, or cystography are needed for confirmation.[23]
Figure 3: X-ray of kidney, ureter, and bladder reveals air (white arrows) existed in the bladder wall and bladder cavity.
The treatment of EC is determined by the severity of the disease. Glycemic control is a prerequisite for successful treatment. The basic management is retention catheterization and antibiotic administration. Retention catheterization can not only monitor the state of urine (volume and characteristics), but also perform bladder flushing if necessary.[10] Some studies reported that 90% of patients received antibiotics intravenously, while 9% of cases were treated with oral antibiotics alone.[1] Broad spectrum antibiotics should be used until the results of bacterial culture are obtained. The drug is later adjusted according to the sensitivity of the urinary tract pathogens. After clinical improvement, intravenous therapy can be converted to oral therapy.[24] However, surgical intervention is needed in patients who exhibit poor outcomes after medical treatment or those with necrotizing infections. The severity of infection determines the surgical plan, such as total cystectomy, partial cystectomy, or surgical debridement. EPN occurs when patients with EC develop ascending infections. Percutaneous nephrostomy or nephrectomy should be considered to reduce the incidence of life-threatening infections.[3]
The total death rate of ECs is reported to be approximately 7%.[2] In our series, all patients recovered without death due to early diagnosis and appropriate treatment. The death rate could increase to 20% when ECs develop into EPN.[3]
Ethics approval and consent to participate
The EC sample was obtained from the Department of Urology, Shengjing Hospital of China Medical University. Data were collected for scientific use. The patients provided written scientific ethics consent.
Consent to publish
The patients agreed that the data from their sample could be used for publish.
Availability of data and materials
Not applicable.
Conflicts of interest
No potential conflicts of interests were disclosed.
Funding
This work was supported by the National Natural Science Foundation of China (grant No. 82072835 to Kefeng Wang), Key Research and Development Joint Program of Liaoning Province (grant No. 2020JH2/10300139 to Kefeng Wang), Natural Science Foundation of Liaoning Province (grant No. 2019-MS-360 to Kefeng Wang), Shenyang Science and Technology Bureau Plan Projects (grant No. 20-205-4-076 to Kefeng Wang), 345 Talent Project of Shengjing Hospital of China Medical University (grant No. M0366 to Kefeng Wang).
Authors’ Contributions
Kefeng Wang conceived the experiments and collected the data; Jun Yang wrote the manuscript. All authors read and approved the final manuscript.
Acknowledgements
Not Applicable.
REFERENCES
- Amano M, Shimizu T. Emphysematous cystitis: a review of the literature. Intern Med 2014; 53: 79-82. DOI: 10.2169/internalmedicine.53.1121
- Thomas AA, Lane BR, Thomas AZ, Remer EM, Campbell SC, Shoskes DA. Emphysematous cystitis: a review of 135 cases. BJU Int 2007; 100: 17-20. DOI: 10.1111/j.1464-410X.2007.06930.x
- Misgar RA, Mubarik I, Wani AI, Bashir MI, Ramzan M, Laway BA. Emphysematous pyelonephritis: A 10-year experience with 26 cases. Indian J of Endocrinol Metab 2016; 20: 475-80. DOI: 10.4103/2230-8210.183475
- Bjurlin MA, Hurley SD, Kim DY, Cohn MR, Jordan MD, Kim R, et al. Clinical outcomes of nonoperative management in emphysematous urinary tract infections. Urology 2012; 79: 1281-5. DOI: 10.1016/j.urology.2012.02.023
- Yoshida K, Murao K, Fukuda N, Tamura Y, Ishida T. Emphysematous cystitis with diabetic neurogenic bladder. Intern Med 2010; 49: 1879-83. DOI: 10.2169/internalmedicine.49.3247
- Shokeir AA, El-Azab M, Mohsen T, El-Diasty T. Emphysematous pyelonephritis: A 15-year experience with 20 cases. Urology, 1997; 49: 343-6. DOI: 10.1016/S0090-4295(96)00501-8
- Toyota N, Ogawa D, Ishii K, Hirata K, Wada J, Shikata K, et al.Emphysematous cystitis in a patient with type 2 Diabetes mellitus. Acta Med Okayama 2011; 65: 129-33. DOI: 10.18926/AMO/45272
- Huang JJ, Chen KW, Ruaan MK. Mixed acid fermentation of glucose as a mechanism of emphysematous urinary tract infection. J Urol 1991; 146: 148-51. DOI: 10.1016/S0022-5347(17)37736-4
- Yang WH, Shen NC. Gas-forming infection of the urinary tract: an investigation of fermentation as a mechanism. J Urol 1990; 143: 960-964. DOI: 10.1016/S0022-5347(17)40151-0
- Grupper M, Kravtsov A, Potasman I. Emphysematous cystitis: illustrative case report and review of the literature. Medicine (Baltimore) 2007; 86: 47-53. DOI: 10.1097/MD.0b013e3180307c3a
- Quint HJ, Drach GW, Rappaport WD, Hoffmann CJ. Emphysematous cystitis: a review of the spectrum of disease. J Urol 1992; 147: 134-7. DOI: 10.1016/S0022-5347(17)37160-4
- Dhingra KR. A case of complicated urinary tract infection: Klebsiella pneumoniae emphysematous cystitis presenting as abdominal pain in the emergency department. West J Emerg Med 2008; 9: 171-3. DOI: 10.1186/s13256-015-0530-y
- Merkel LK, Lulich J, Polzin D, Ober C, Westropp J, Sykes J. Clinicopathologic and microbiologic findings associated with emphysematous cystitis in 27 dogs. J Am Anim Hosp Assoc 2017; 53: 313-20. DOI: 10.5326/JAAHA-MS-6722
- Huang JJ, Tseng CC. Emphysematous pyelonephritis: clinicoradiological classification, management, prognosis, and pathogenesis. Arch Intern Med 2000; 160: 797-805. DOI: 10.1001/archinte.160.6.797
- Yokoo T, Awai T, Yamazaki H, Fukuda Y, Hayashi F, Hosoya T. Emphysematous cystitis complication in a patient undergoing hemodialysis. Clin Exp Nephrol 2007; 11: 247-50. DOI: 10.1007/s10157-007-0478-3
- Grayson DE, Abbott RM, Levy AD, Sherman PM. Emphysematous infections of the abdomen and pelvis: a pictorial review. Radiographics 2002; 22: 543-61. DOI: 10.1148/radiographics.22.3.g02ma06543
- Ahmad M, Dakshinamurty KV. Emphysematous renal tract disease due to Aspergillus fumigatus. J Assoc Physicians India 2004; 52: 495-7.
- Küpeli S, Bedük Y, Yaman S, Safak M. Emphysematous pyelonephritis with pneumocystitis. Urol Int 1988; 43: 318-20. DOI: 10.1159/000281366
- Ronald A, Ludwig E. Urinary tract infections in adults with diabetes. Int J Antimicrob Agents 2001; 17: 287-92. DOI: 10.1016/S0924-8579(00)00356-3
- Jarrett TW, Vaughan ED Jr. Accuracy of computerized tomography in the diagnosis of colovesical fistula secondary to diverticular disease. J Urol 1995; 153: 44-6. DOI: 10.1097/00005392-199501000-00018
- Choong KK. Sonographic detection of emphysematous cystitis. J Ultrasound Med 2003; 22: 847-9. DOI: 10.7863/jum.2003.22.8.847
- Eken A, Alma E. Emphysematous cystitis: The role of CT imaging and appropriate treatment. Can Urol Assoc J 2013; 7: E754-6. DOI: 10.5489/cuaj.472
- Kauzlaric D, Barmeir E. Sonography of emphysematous cystitis. J Ultrasound Med 1985; 4: 319-20. DOI: 10.7863/jum.1985.4.6.319
- Stamm WE, Hooton TM. Management of urinary tract infections in adults. N Engl J Med 1993; 329: 1328-34. DOI: 10.1056/NEJM199310283291808
License
Copyright (c) 2022 Jun Yang, Kefang Wang

This work is licensed under a Creative Commons Attribution-NonCommercial-ShareAlike 4.0 International License.




