ABSTRACT

We present a case of Iatrogenic twin anemia–polycythemia sequence (TAPS) post-amnioreduction in twin-twin transfusion syndrome at 32 gestational weeks. Slight middle cerebral artery (MCA) peak systolic velocity (PSV) discrepancy was present 3 days after the amnioreduction, with MCA PSV around 1.5 MoM of the doner and 1.0 MoM of the recipient. Eighteen days after the amnioreduction, though MCA PSV remained stable, placental dichotomy, starry-sky liver of the recipient and small amount of right pleural effusion of donor were noted. TAPS was diagnosed and postnatal examination of the twins and the placenta confirmed it. We conjectured that the decompression of the placenta after the sudden reduction of amniotic fluid volume may cause the patency of the tiny anastomoses, resulting in the TAPS.

Key words: twin, anemia–polycythemia sequence, middle cerebral artery

INTRODUCTION

The sharing of placental and the prevalence of placental anastomosis vessels pose special challenges to monochorionic twins, which can lead to complications unique to monochorionic twins when the transfusion balance is disrupted. twin anemia–polycythemia sequence (TAPS) is a special type of chronic twin blood transfusion. The difference of hemoglobin in twins was large, but there was no significant difference in amniotic fluid volume. Most TAPS are diagnosed after birth, early diagnosis of TAPS is conducive to improving the prognosis. The relevant ultrasound features in this case before birth may help to establish a new diagnostic standard for TAPS.

CASE DESCRIPTION

A 30-year-old woman (gravida 4, para 1) was referred to The First Affiliated Hospital of Xiamen University due to the suspicion of twin-twin transfusion syndrome (TTTS) at 29+2 weeks of gestation. Ultrasound examination revealed considerable amniotic fluid discrepancy between two fetuses, with the deepest vertical pocket (DVP) of amniotic fluid of 13.1 cm and 2.3 cm, respectively. Both twins had a visible bladder. Doppler measurements of the umbilical artery pulsatility index (PI) and middle cerebral artery (MCA) PI were normal and no MCA peak systolic velocity (PSV) discrepancy was found (1.14 MoM of recipient and 1.25 MoM of donor). TTTS stage I was diagnosed. The patient was administered two doses of intramuscular dexamethasone 6 mg given 12 h apart. To alleviate patient’s abdominal pain and dyspnea caused by polyhydramnios, amnioreduction was performed at 29+4 gestational weeks. 4800 mL of amniotic fluid from the recipient’s sac was drained within 30 min, resulting in DVP of 7.3 cm in the recipient’s sac. Subsequent ultrasound examination at day 1 after amnioreduction showed an increased DVP of 3.4 cm in the donor and a decreased DVP of 8.9 cm in the recipient. The MCA PSV was normal for both twins (1.13 MoM of donor and 1.08 MoM of recipient). At day 3 after amnioreduction, MCA PSV discrepancy was noted with 64.5 cm/s (1.59 MoM) in the donor and 43.9 cm/s in the recipient (1.09 MoM). DVP of the donor twin was 2.1 cm and that of the recipient twin was 9.5 cm. Afterwards, MCA PSV remained stable with 66.6 cm/s in the donor (1.57 MoM) and 41.5 cm/s in the recipient (1.11 MoM). DVP of the donor twin was 3.2 cm to 5.0 cm and that of the recipient twin was around 10 cm. None of the placental dichotomy, cardiomegaly of the donor and starry-sky liver of the recipient was present. 18 days after amnioreduction (gestational 32+1 weeks), she had chest tightness, abdominal distension and was unable to lie down. DVP was 10.1 cm for the recipient and 6.1 cm for the donor. The MCA PSV discrepancy was similar as before with 66.33 cm/s in the donor (1.49 MoM) and 4.47 cm/s in the recipient (1.0 MoM). However, placental dichotomy (Figure 1), starry-sky liver of the recipient (Figure 2) and small amount of right pleural effusion of donor were noted. The recipient’s placenta was hypoechoic and thickened 2.2 cm, while the donor’s placenta was hyperechoic and thickened 4.6 cm. TAPS was diagnosed. The doner had no cardiomegaly. Though the MCA PSV discrepancy was not severe, considering the whole image, the stage of TAPS might be higher than stage I, thus caesarean section was performed. At birth, the recipient twin (birthweight 2070 g, APGAR score 8–9–9) was severely plethoric with hemoglobin concentration of 22.2 g/dL, while the donor (1700 g, APGAR score 8–9–9) was anemic with hemoglobin level of 9 g/dL, which met the diagnostic criteria of stage Ⅱ TAPS. The skin color of the twins at birth is shown in Figure 3. The placental mass was plethoric of the recipient and pale of the donor. Placental injection was tried but not very successful, but it still revealed 3 anastomosis of tiny blood vessels arteriovenous without arterioartery anastomosis. The recipient twin received partial exchange blood treatment and the donor twin received blood transfusion. No other abnormalities were detected and the twins were discharged from hospital without complications.

Figure 1

Figure 1. The placental distribution (left) and tiny superficial anastomoses (right) as seen in the placental injection examination. A: recipient, B: donor.

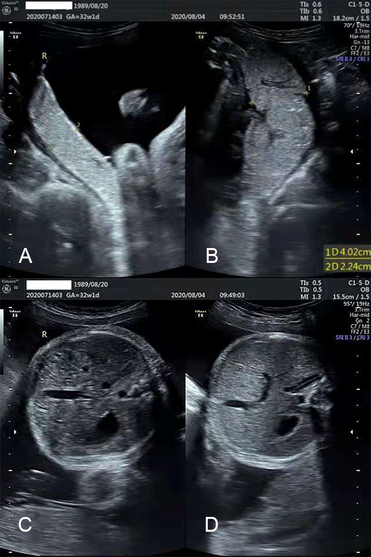
Figure 2

Figure 2. The difference in placental thickness is shown here. A: recipient, B: donor. Starry-sky liver of the recipient and small amount of right pleural effusion of donor. C: recipient, D: donor.

Figure 3

Figure 3. Striking skin color difference was noted at birth. Donor (A) was pale and recipient (B) was crimson.

DISCUSSION

TAPS is a rare complication of monochorionic twin pregnancies, occurring in 2%–15% of post-laser therapy of TTTS iatrogenically and 3%–5% of monochorionic pregnancies spontaneously. It is a chronic fetofetal transfusion via minuscule vascular anatomoses, leading to anemia in the donor twin and polycythemia in the recipient twin.

The postnatal diagnosis of TAPS relies on the hemoglobin difference ≥8 g/dL and intertwin reticulocyte ratio ≥1.7,[1] but the antenatal diagnosis remains a challenge.[2] Robyr et al.[3] pointed out that MCA PSV > 1.5 MoM in donors and MCA PSV < 0.8 MoM in recipients are related to the TAPS after TTTS laser treatment. In 2010, Slaghekke et al.[4] found that the MCA PSV value of the recipient continued to be around 1.0 MoM, and unexpected intrauterine death occurred in some cases, so they proposed to use MCA PSV > 1.5 MoM of the donor and MCA PSV < 1.0 MoM of the recipient, which is currently adopted by most centers. To improve the diagnostic accuracy, Tollenaar et al.[5] established a new diagnostic criteria by using ∆MCA PSV > 0.5 MoM regardless of whether MCA PSV is within the normal range in either twin. Compared with using MCA-PSV in donor > 1.5 MoM and in recipient < 1.0 MoM, the sensitivity has largely improved from 46% to 84%, with a comparable specificity, positive predictive value and negative predictive value.[5] Hiba et al. [6] showed higher incidence of TAPS with delta MCA-PSV > 0.5, but they thought that does not mean more intervention as intervention were necessarily. Recently, inconsistencies of the diagnostic criteria incurred Delphi experts consensus survey, reaching an agreement of the combination of MCA-PSV ≥1.5 MoM in the anemic twin and ≤0.8 MoM in the polycythemic or ∆MCA-PSV≥1.0 MoM as diagnostic criteria of TAPS. [1] It should be aware that no antenatal diagnosis of TAPS could detects 100% of the postnatal diagnosis of TAPS.

The earlier diagnosis of TAPS, the better the pregnancy outcome is,[7] and the intertwin MCA PSV difference has proved be to a good predictor of neonatal intertwin hemoglobin concentration difference.[8] From a retrospective perspective, the present case may have developed TAPS at day 3 after the amnioreduction, but at that time the diagnosis could not be made confidently due to the marginal MCA PSV discrepancy and stable MCA PSV during the serial monitoring. The confident diagnosis was not made until the presence of other typical ultrasound features. Recent study showed that the placental dichotomy, cardiomegaly in donors, starry-sky liver in recipients was present in 44%, 70% and 66% of the TAPS, respectively[9] and they are associated with the severity of TAPS stage.[10,11]

Iatrogenic TAPS post-amnioreduction in TTTS was only reported once by Kosinska et al.[12] in which TAPS suddenly occurred 4 day after 2000 mL amniotic fluid drained from recipient’s sac. But their case is different from ours in that they had a reversal fetofetal transfusion, meaning that the ex-recipient became anemia and the ex-donor became polycythemia. Though amnioreduction is readily and easily available throughout the world for stage I TTTS with progressive increase fluid,[13] it is only a symptomatic treatment. The purpose is to reduce uterine cavity pressure, and then reduce the pressure to the placental venous. But a large volume amnioreduction may cause a net blood shift from recipient to the placenta, that is placental ‘steal’ effect proposed by Rodeck et al.[14] Kosinska et al.[15] used this hypothesis to explain the occurrence of TAPS post-amnioreduction. But this could not explain our case, since the recipient became polycythemia. We speculated that the decompression of the placenta may cause the open of the tiny superficial anastomoses as seen in the placental injection examination, causing extra red blood cells passing to the recipient slowly, and the increase in the number of arteriovenous anastomoses could obviously elevate the incidence of TAPS. As the placenta of TTTS lacked the compensating arterioarterial anastomosis without bidirectional flow to balance the blood to the recipient, TAPS eventually occurred.

In conclusion, TAPS could be a possible complication after the amnioreduction treatment for TTTS. Close ultrasound monitoring is necessitated after amnioreduction in TTTS, including the Doppler measurement of MCA PSV, meticulous examination of placental dichotomy, fetal cardiomegaly and starry-sky liver of both twins.

Declaration

Author contributions

Chen GQ, Jing Lu: Conceptualization, Writing—Original draft preparation, Writing—Reviewing and Editing. Jiang JN: Dominant maternal care. Wu Q: Conceptualization, Supervision. Lu J: Supervision, Project administration.

Source of funding

This research received no external funding.

Ethics approval

This study was Approved by the Medical Ethics Committee of the First Affiliated Hospital of Xiamen University (Approval number: 2022 Scientific research review word 083)

Conflict of interest

The authors declare no competing interest.

Data availability statement

Not applicable.

REFERENCES

  1. Khalil A, Gordijn S, Ganzevoort W, et al. Consensus diagnostic criteria and monitoring of twin anemia-polycythemia sequence: Delphi procedure. Ultrasound Obstet Gynecol. 2020;56:388–394.
  2. Baschat AA, Miller JL. Pathophysiology, diagnosis, and management of twin anemia polycythemia sequence in monochorionic multiple gestations. Best Pract Res Clin Obstet Gynaecol. 2022;84:115–126.
  3. Robyr R, Lewi L, Salomon LJ, et al. Prevalence and management of late fetal complications following successful selective laser coagulation of chorionic plate anastomoses in twin-to-twin transfusion syndrome. Am J Obstet Gynecol. 2006;194:796–803.
  4. Slaghekke F, Kist WJ, Oepkes D, et al. Twin anemia-polycythemia sequence: diagnostic criteria, classification, perinatal management and outcome. Fetal Diagn Ther. 2010;27:181–190.
  5. Tollenaar LSA, Lopriore E, Middeldorp JM, et al. Improved prediction of twin anemia-polycythemia sequence by delta middle cerebral artery peak systolic velocity: new antenatal classification system. Ultrasound Obstet Gynecol. 2019;53:788–793.
  6. Mustafa HJ, Cermak R, Pedersen N, Harman C, Turan OM. Perinatal outcomes of pregnancies with twin-anemia polycythemia sequence complicating twin-to-twin transfusion syndrome using different twin-anemia polycythemia sequence diagnostic criteria. Prenat Diagn. 2022;42:985–993.
  7. Rossi AC, Prefumo F. Perinatal outcomes of twin anemia-polycythemia sequence: a systematic review. J Obstet Gynaecol Can. 2014;36:701–707.
  8. Tavares de Sousa M, Fonseca A, Hecher K. Role of fetal intertwin difference in middle cerebral artery peak systolic velocity in predicting neonatal twin anemia-polycythemia sequence. Ultrasound Obstet Gynecol. 2019;53:794–797.
  9. Tollenaar LSA, Lopriore E, Middeldorp JM, et al. Prevalence of placental dichotomy, fetal cardiomegaly and starry-sky liver in twin anemia-polycythemia sequence. Ultrasound Obstet Gynecol. 2020;56:395–399.
  10. Bamberg C, Diemert A, Glosemeyer P, Hecher K. Quantified discordant placental echogenicity in twin anemia-polycythemia sequence (TAPS) and middle cerebral artery peak systolic velocity. Ultrasound Obstet Gynecol. 2018;52:373–377.
  11. Tollenaar LS, Zhao DP, Middeldorp JM, Slaghekke F, Oepkes D, Lopriore E. Color Difference in Placentas with Twin Anemia-Polycythemia Sequence: An Additional Diagnostic Criterion? Fetal Diagn Ther. 2016;40:123–127.
  12. Kosinska-Kaczynska K, Lipa M, Szymusik I, et al. Sudden Fetal Hematologic Changes as a Complication of Amnioreduction in Twin-Twin Transfusion Syndrome. Fetal Diagn Ther. 2018;44:311–314.
  13. Yoda H. Fetal and Neonatal Circulatory Disorders in Twin to Twin Transfusion Syndrome (The Secondary Publication). J Nippon Med Sch. 2019;86:192–200.
  14. Rodeck CH, Weisz B, Peebles DM, et al. Hypothesis: the placental ‘steal’ phenomenon - a possible hazard of amnioreduction. Fetal Diagn Ther. 2006;21:302–306.
  15. Feng S, Li G, Yin P, Zhu T, Cheng C, Dong L. Relationship Between the Types and Diameters of Residual Vessels and Secondary TAPS after Fetoscopic Laser Surgery for TTTS. Z Geburtshilfe Neonatol. 2022;226:240–204.