Abstract

Citrullinemia type 1 (CTLN1) is a rare autosomal recessive urea cycle disorder, without functional argininosuccinate synthase 1 (ASS1), mostly occurring in newborns and infants, but it has been reported as having an adult-onset in carriers of the pathogenic gene, and even more rarely, the onset of the disease is pregnancy related. Only 12 reported cases of onset during pregnancy and puerperium were reported since 1980. We herein report a case of gestational onset that resulted in patient death with a reported pathogenic mutation, c.421-2A>G, resulting in an amino acid change, splicing mutation, on exon7, in ASS1 gene, and a novel mutation, c.1046T>G, resulting in an amino acid change p.V349G, predicted by sorting intolerant from tolerant (SIFT), PolyPhen-2, Mutation Taster, Genomic Evolutionary Rate Profiling 2 (GERP++) and Rare Exome Variant Ensemble Learner (REVEL). This article provides an overview of the relationship between CTLN1 and pregnancy and discusses the possible mechanisms, clinical manifestations, and genetic characteristics of the pregnancy-related onsets.

Key words: citrullinemia type 1, pregnancy, urea cycle disorder, metabolic and genetic disorders, argininosuccinate synthase 1, amino acid, arginine, citrulline

INTRODUCTION

Citrullinemia type 1 (CTLN1) is a type of urea cycle disorder (UCD) with abnormal accumulation of citrulline due to lack of the rate-limiting enzyme argininosuccinate synthase 1 (ASS1) in the urea cycle.[1] CTLN1 is caused by mutations in the ASS1, on chromosome 9q34.11, which is the only functional gene encoding ASS1 and responsible for the deficiency or absence of the enzyme. CTLN1 has been found to be associated with more than 137 kinds of ASS1 mutations, mainly missense mutations, and a variant in the promoter sequence was found to be a cause of CTLN1.[2,3] CTLN1 is inherited in an autosomal recessive manner with reported a worldwide prevalence of 1:44,300–250,000.[3,4,5,6] There were only 12 pregnancy-related cases reported before. We analyzed one case of a 34-year-old woman diagnosed with CTLN1 during the first trimester of pregnancy with rapid progression of the disease and discussed the possible pathogenesis and treatment approach.

CASE DESCRIPTION

A 34-year-old G2P0 pregnant woman presented with nausea and vomiting which was aggravated for 2 days at the 12th week of gestation and was admitted to the hospital on October 7th. The patient reported a history of biochemical pregnancy previously. The pregnancy was a natural conception and went smoothly until nausea and vomiting which started at the 5th week of gestation but the patient did not pay much attention to it. The patient visited an emergency room for coffee-ground vomitus once for emergency treatment 5 days before the hospitalization. With nausea and vomiting becoming exacerbated, the patient was unable to eat, then get admitted to the hospital.

The patient body temperature was 36.5℃, blood pressure was 120/88 mmHg with a heart rate of 90 beats/min. Physical examination revealed no abdominal pain or vaginal bleeding but the patient has been emotionally anxious since pregnancy about vaginal bleeding and adverse pregnancy outcomes. Urine chemistry: ketone body 4+. Hepatic tests revealed an aspartate aminotransferase (AST) 24 IU/L, alanine aminotransferase (ALT) 41 IU/L (normal reference range [NRV]: 0–40 IU/L), and blood urea 1.08 mmol/L (NRV: 2.5–7.2 mmol/L). The coagulation function showed a low coagulation state, with an international normalized ratio (INR) of 1.4 (NRV: 0.8–1.2). Complete blood count (CBC) showed no significant abnormalities. The thyroid panel showed a thyroid-stimulating hormone (TSH) of 0.0308 μIU/mL (NRV: 0.04–3.67 μIU/mL) with normal fT3, fT4. Procalcitonin was 0.273 ng/mL (NRV < 0.05 ng/mL) and C-Reactive Protein (CRP) was 18.7 mg/L (NRV 0–8.0 mg/L). Toxoplasma, Others, Rubella Virus, Cytomegalo Virus, Herpes Virus/ Human Immunodeficiency Virus (HIV)/Treponema pallidum particle agglutination assay (TPPA) /hepatitis A/B/C serologies, and autoimmune markers were all normal/negative.

A diagnostic impression, hyperemesis gravidarum, was made based on the clinical features such as early pregnancy; positive urinary ketone body; transient hyperthyroidism. Intravenous fluids were administered to provide hydration and nutrition as the patient was unable to eat. Vitamin B6/B1 were given to stop vomiting and prevent Wernicke's encephalopathy.

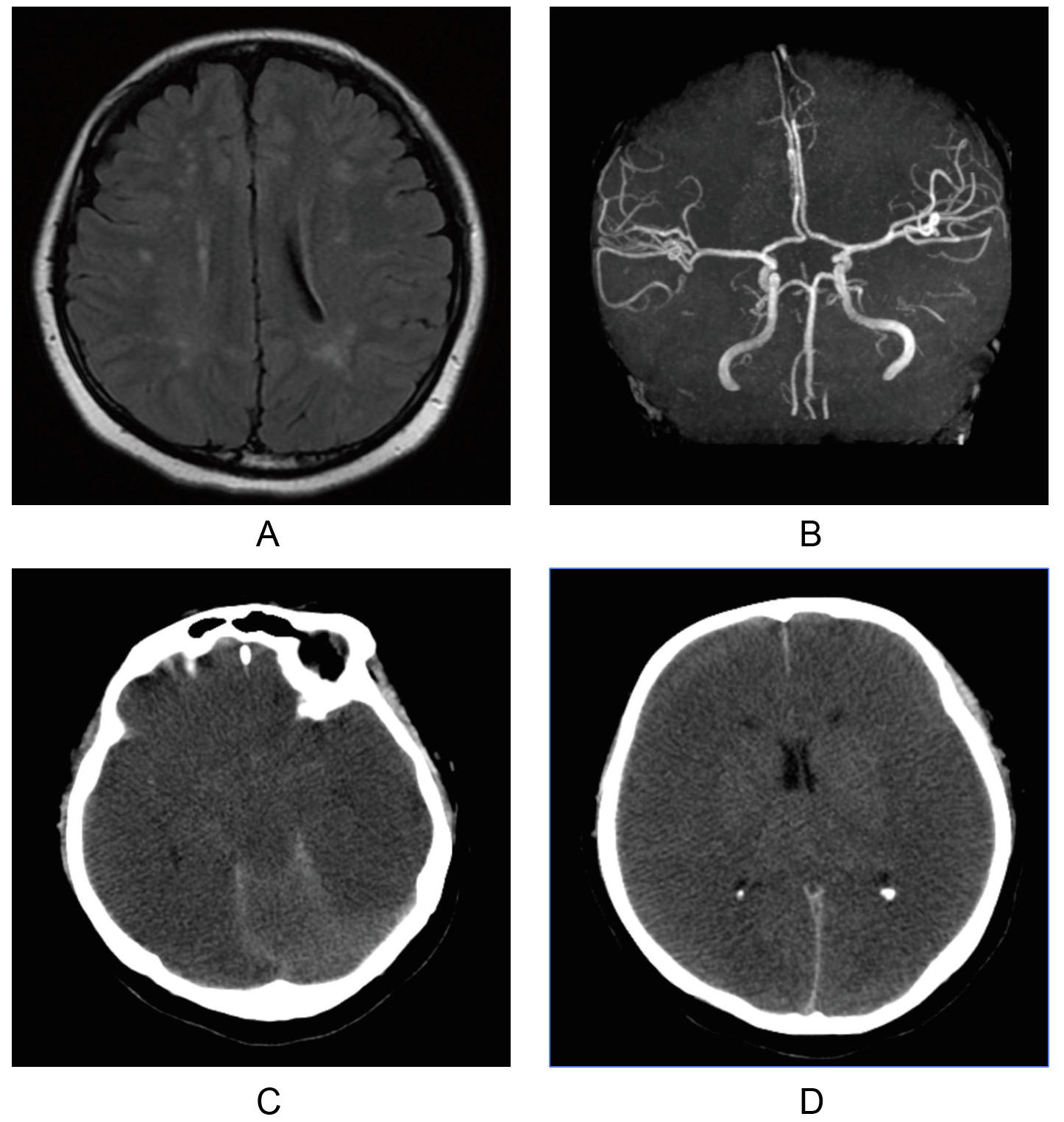
On the first night, the patient suffered from poor sleep, and gradually increasing apathy, intermittent twitching of hands and urinary incontinence during the night were noticed. Departments of psychology, gastroenterology and neurology were called in for consultations to rule out hepatic encephalopathy and primary neurological disorders that may cause psychiatric symptoms. No history of hepatic disease, negative hepatitis virus test and mildly elevated of ALT, suggested a small possibility of hepatic encephalopathy. Head magnetic resonance imaging (MRI) suggested scattered cerebral lacunar infarctions or demyelinating lesions, and magnetic resonance angiography (MRA) showed a finer intracranial segment of the right vertebral artery, in Figure 1A and 1B. Magnetic resonance venography (MRV) showed no abnormality. Further immunological examinations ruled out autoimmune encephalitis.

Figure 1
Figure 1: Head MRI and CT. (A) Head MRI, scattered cerebral lacunar infarctions or demyelinating lesions. (B) Head MRA, a finer intracranial segment of the right vertebral artery. (C) Head CT, a diffuse cerebral edema. diffuse hypodensity of the intracerebral parenchyma, indistinct demarcation of the gray and white matter. (D) Head CT, minor subarachnoid hemorrhage, slightly compressed and narrowed ventricles, increased density of the cerebral falx and cerebellar curtain, and centered midline structures can be seen. MRI: magnetic resonance imaging; CT: computed tomography.

On the 3rd day of hospitalization, the patient had a sudden generalized convulsion in her sleep with clenched teeth, loss of consciousness, slow pupillary light reflex and cervical tonic. The patient was transferred to the intensive care unit after the convulsion was relieved. The patient was unconscious, with a Glasgow Coma Scale (GCS) score of 4, and a Richmond Agitation-Sedation Scale (RASS) score of –2. The plasma ammonia concentration was 464 μmol/L (NRV: 11–32 μmol/L). Given sedation, antibiotics to prevent infection, mannitol to reduce intracranial pressure, limited protein intake, vinegar saline enema, plasma exchange, L-Ornithine-L-Aspartate (LOLA), hemodialysis (HD), continuous renal replacement therapy (CRRT) to reduce blood ammonia and other symptomatic treatment.

The patient’s medical history was asked again: repeated depressive episodes and behavioral abnormalities before and during this pregnancy were noticed by family members. The patient’s mother had a history of similar behavioral abnormalities. During the treatment, the patient had repeated convulsions, with clenched teeth and difficulty breathing. Ventilator-assisted ventilation was used, but plasma ammonia concentration was continuously elevated.

A multi-disciplinary consultation was organized on the 4th day of hospitalization, with departments of critical care medicine, obstetrics, gastroenterology, neurology, infectious diseases, clinical genetics, rheumatology, pharmacy and psychology, given the clinical context, primary hepatic disease, hypoglycemia and infectious diseases were ruled out. Since the patient’s plasma ammonia value was especially abnormal, accompanied by vomiting and unexplained neuropsychiatric symptoms, a UCD or metabolic syndrome was considered and the possibility of ornithine transcarbamylase deficiency (OTCD) was high. Blood organic acid analysis with liquid chromatography-tandem mass spectrometry (LC-MS), urinary organic acid analysis with Gas Chromatography-Mass Spectrometer (GC-MS) and molecular genetic testing with high-throughput sequencing for genetic metabolic diseases were recommended but rejected.

On the 5th day, the patient had another convulsion with decreased oxygen saturation, and unequal bilateral pupils, without pupillary light reflex. Head CT suggested diffuse cerebral edema and minor subarachnoid hemorrhage, in Figure 1C and 1D. On the 6th day, the patient’s plasma ammonia concentration was repeatedly elevated and fluctuated between 133–800 μmol/L, as detailed in Figure 2, as OTCD was considered, LOLA treatment was stopped. AST and ALT did not show significant abnormalities, as shown in Figure 3. Further tests were recommended again and were agreed.

Figure 2
Figure 2: Plasma ammonia of the patient. LOLA: L-Ornithine-L-Aspartate; HD: hemodialysis; CRRT: continuous renal replacement therapy.

Figure 3
Figure 3: Serum AST, ALT of the patient. AST: aspartate aminotransferase; ALT: alanine aminotransferase.

Plasma exchange, CRRT and other ammonia-lowering treatments were not effective. On the 8th day, the multi-disciplinary consultation was held again. Considering that OTCD was very likely, the patient was in a persistently life-threatening condition, and was more likely to have a poor prognosis and intellectual disability. The patient's family made an informed choice to forgo treatment. The patient died with a diagnosis of hyperammonemia and urea cycle disorders (OTCD, case of uncertain diagnosis).

Later, the LC-MS organic acid tests showed elevations of citrulline, aspartic acid and ornithine in serum, and LC-MS organic acid tests showed elevations of uracil and orotic acid in the urine, which suggests a UCD, detailed in Table 1. Meanwhile, genetic testing results showed two heterozygous mutations in ASS1, in Supplementary Figure 1, (1) c.421-2A>G, resulting in an amino acid change, splicing mutation, on exon7, which is a pathogenic and loss of function mutation,[7] (2) c.1046T>G, nucleotide change from thymine to guanosine in coding region 1046, resulting in an amino acid change p.V349G, which is a missense mutation, on exon14, with unknown clinical significance, both according to the American College of Medical Genetics and Genomics (ACMG) guidelines.[8] The novel mutation, c.1046T>G, is reported in neither Human Gene Mutation Database (HGMD) nor ClinVar,[9,10] and considered deleterious in several bioinformatics prediction software and websites, such as sorting intolerant from tolerant (SIFT), PolyPhen-2, Mutation Taster, Genomic Evolutionary Rate Profiling 2 (GERP++), and Rare Exome Variant Ensemble Learner (REVEL).[11,12,13,14,15]

Table 1: Abnormal genetic metabolic disease-related amino acidss
Amino Acid Serum Normal Reference Values
Arginine, μmol/L 10.19 1.00–25.00
Aspartic Acid, μmol/L 108.53↑ 10.00–100.00
Citrulline, μmol/L 541.57↑ 4.00–35.00
Ornithine, μmol/L 214.94↑ 10.00–120.00
Citrulline / Arginine 56.82↑ 0.60–12.00
Ornithine / Citrulline 0.41↓ 0.80–12.00

Because of the failure to test the parents, the origin of the mutations could not be confirmed by second-generation sequencing technology. However, the patient's clinical symptoms, metabolic analysis and especially genetic testing results with one confirmed and one predicted deleterious mutation in ASS1, were all consistent with CTLN1. Distinguishing it from OTCD for the high level of serum citrulline, the diagnosis was revised to CTLN1.

DISCUSSION

Diagnosis of the patient

Citrullinemia type I can be classified into four types according to clinical characteristics: (1) neonatal (classic) type; (2) milder late-onset (atypical) type; (3) asymptomatic type; (4) pregnancy-related type.[16] CTLN1 affects the urea cycle and is manifested by hyperammonemia and elevated citrulline concentration in the blood and urinary, usually onset within a few days of birth with sleepiness, feeding difficulties, vomiting and shortness of breath.[17,18] Without timely interventions, an increase in intracranial pressure secondary to hyperammonemia can lead to altered muscle tone, spasticity, epilepsy, stroke, loss of consciousness and result in newborn deaths.[16,19] CTLN1 is associated with genetic and environmental factors including diet, diagnosis and treatment.[3,17,20] The late-onset type CTLN1 can occur at any age, and its delayed pathogenesis is unclear, usually manifesting as rapid progression of the disease, with a non-classic presentation like drowsiness, severe headache, convulsions, ataxia, migraine-like attacks, visual loss, intellectual disability and other neuropsychiatric symptoms.[16] Since adult or late-onset metabolic genetic disorders lack specific manifestations, correlating these non-specific manifestations or clues to the disease is an important part of early testing, diagnosis, intervention or treatment.

Establishing of the diagnosis of CTLN1 requires the following manifestations to be met, elevated plasma ammonia concentration, elevated plasma citrulline concentration and/or biallelic pathogenic variants in ASS1 on genetic testing.[16]

Clinical manifestations

Pregnancy and puerperium are inducements of the adult onset of urea cycle disorders.[21,22] Pregnancy-related type CTLN1 could be seen as even rarer cases of milder late-onset (atypical) type of CTLN1, with usually more rapid disease progression. Physiological changes, like drastic hormonal and metabolic changes during pregnancy or puerperium might be the important triggers for the onset of the disease and patients with pregnancy-related CTLN1 can develop severe hyperammonemia, metabolic coma, and/or death during pregnancy or postpartum.[16,20,23,24] High metabolic state during pregnancy, like hyperemesis gravidarum, increasing protein breakdown, and the removal of nitrogen-containing metabolites beyond the maximum function of ASS1, resulting in elevated plasma ammonia, could be the initial of the episode.[20,23,24] The recurrent vomiting (resulting in metabolic disorders) could be the potential inducement of CTLN1, yet also could be a symptom of high plasma ammonia.[24]

Patients can be asymptomatic or have acute onset during pregnancy or puerperium, which might be associated with environmental factors, treatment, diet, and different gene mutations with different pathogenicity, and some believe that acute onset during the puerperium might be related to a compensatory metabolizing maternal plasma ammonia by healthy fetus, the unique “gene therapy” effect disappears after delivery, which might be a cause of onset in puerperium.[3,20,25] A multi-center study found that patients can develop psychiatric symptoms such as psychosis during pregnancy or postpartum, differentiated from perinatal psychiatric disorders.[21]

Genetic metabolic diseases are commonly diagnosed in infants and children, and are difficult to diagnose during pregnancy and postpartum. Among them, CTLN1 in adults is a rarer UCD than OTCD, which was our first suspicion in our case.[26]

The patient with CTLN1 might be asymptomatic in infancy and adulthood, probably due to her low protein diet, and heterozygous mutations in ASS1. A dietary history of auto-selective vegetarianism, decreased protein intake, high carbohydrate intake and obesity (38.5%, 5/13, patients 4, 7–9, 13 in Table 2), as well as, a history of behavioral and psychiatric illness, possibly resulting from chronic hyperammonemia, were other suggestive clues of CTLN1.[22] Although, the abnormal hepatic function does not occur as a major presenting feature in UCDs, impaired hepatic function with elevated transaminase (usually not significantly elevated) and/or coagulopathy, (hepatic dysfunction type 61.5%, 8/13), as well as, behavioral & psychiatric illness (psychiatric type, 69.2%, 9/13) are the two main initial manifestations in patients with pregnancy-related type CTLN1 (Table 2).

Table 2: Cases of pregnancy-related type CTLN1
Patient Mutation type Mutation Year Initial symptoms and clinical course Outcome Country (origin)
1 Homozygote c.794G>A 1980 Altered level of consciousness, at week 13 gestation, hypertransaminasemia, postpartum. N.R. Japan[27]
2 Compound Heterozygote c.352G>A, c.IVS15+1_+13del13 1996 Repeatedly induced by pregnancy. N.R. Japan[28]
3 Compound Heterozygote c.257G>A, c.1168G>A 1993 Occasionally experienced headache, dizziness during walking, and consciousness disturbance, fulminant hepatic failure at week 19 gestation. Pregnancy terminated, died 7 months later. Bolivian[29]
4 Compound Heterozygote c.929A>G, c.892delG 2005 Abnormal ALT, coagulopathy, ammonia and psychiatric symptoms, postpartum. Returned to normal neurologic status. USA[30]
5 Compound Heterozygote c.928A>C,
c.IVS15-1G>C
2004 Asymptomatic with elevated plasma and urine citrulline. Normal outcome Canada[25]
6 Compound Heterozygote c.352 G>A, c.1168 G>A 2010 Acute liver failure, nausea and scleral icterus, at week 19 gestation. Delivery with a healthy male baby at week 37.4 gestation; Well on treatment USA[23]
7 Homozygote p.A118T 2010 Irritability and difficulties in oral speech, 2 days after delivery, then movement disorder, progression to coma. Died on day 7 after delivery. Switzerland[21]
8 Homozygote c.773+49C>T 2010 Headaches, dizziness and disorientation 4 days after delivery, then generalized tonic seizures, progression to coma. Full recovery after 6 months Switzerland[21]
9 Compound Heterozygote c.1088G>A 2010 Disorientation and drowsiness, 4 days after delivery, then rapid progression to coma. Well on treatment. Switzerland[21]
10 N.R. N.R. 2014 Vomiting, initial presentation with ‘hyperemesis gravidarum’, acute liver failure (hypoglycemia, abnormal ALT, coagulopathy, hyperammonemia), at week 14 gestation. Delivery with a healthy female baby at week 36 gestation; Well on treatment Australia[24]
11 Compound Heterozygote N.R. 2018 Altered mental status, acute liver failure at week 22 gestation. Delivery with a healthy male baby; ammonia level decreased with treatment but increased peripartum. USA[31]
12 Compound Heterozygote c.422T>G,
c.431C>G
2020 The appearance of altered mental status, abnormal ALT, coagulopathy, hyperammonemia, 10 hours after delivery, then rapid progression to coma. Died on day 6 hospitalized. China[32]
13 Compound Heterozygote c.421-2A>G, c.1046>G 2020 Sudden generalized convulsion, vomiting, depression, poor response, coagulopathy, hyperammonemia at week 12 of gestation. Died on day 14 hospitalized. China
CTLN1: citrullinemia type 1; N.R.: not reported.

Genetic characteristics

Characteristics of the patient's genetic background are still not adequately discussed. Although the relationship between genotype and phenotype was difficult to prove because patients with heterozygous genotypes were in different environments and treatments,[21] we still found some features in the reported cases. A higher proportion of compound heterozygous (75.0%, 9/12) was found among reported pregnancy-related type cases (Table 2), while patients with neonatal- or infantile-onset and severe disease had a higher proportion of homozygote (87%, 20/23), which suggested that late-onset or pregnancy-related type patients might be related to their genotype.[20]

The severity of clinical symptoms is consistent with the degree of deficiency of ASS1 activity, the homozygous pathogenic genotype would cause a complete loss of function of ASS1 activity, leading to citrullinemia, hyperammonemia, coma, and even death.[33] In this case, considering no obvious clinical symptoms were found before pregnancy, we hypothesized that the apparent symptoms during pregnancy might be related to the fact that there was some limited activity in ASS1, with compound heterozygous mutations in ASS1, which couldn’t be proved without ASS1 enzyme activity test.[16] The patient’s compound heterozygous mutations not only confirmed our diagnosis but further helped us explain her delayed and intermediate phenotypical presentation.[31]

Management and treatments

In this case, consciousness disturbance was also the first sign. The plasma ammonia tested was 464 μmol/L when the patient had the first sudden generalized convulsion. It was assumed that the patient had already experienced elevated plasma ammonia before hospital admission, with the presentation of nausea and vomiting, which were not paid more enough attention to due to the diagnostic impression, of gestational hyperemesis. A similar scenario was found in a case with an initial presentation of acute liver failure.[24] Intravenous fluids were commonly administered to provide hydration and nutrition, yet for CTLN1 patients, intravenous glucose was recommended to maintain energy supply, and amino acid supplementation should be careful since it might cause further aggravation of the disease, especially for those involved in the urea cycle, such as citrulline, ornithine or arginine, etc. Ammonia-lowering therapies, like plasma exchange and hemodialysis, and nitrogen scavengers (sodium benzoate, sodium phenylacetate) were effective.[32] Nevertheless, LOLA injections shouldn’t be used before the metabolic genetic disease is clarified, it may cause further exacerbation, producing more citrulline while reducing plasma ammonia, creating a vicious cycle (Figure 4). Chronic management included life-long dietary management, monitoring for signs of hyperammonemia, reducing excessive protein intake, and fetus’ in-utero-diagnosis for neonatal dietary management.[16]

Figure 4
Figure 4: Urea Cycle. CPS I: carbamyl phosphate synthetase I; OTC: ornithine transcarbamylase; ASS1: argininosuccinate synthase 1; ASL: argininosuccinate lyase.

LEARNING POINTS FOR PHYSICIANS

Some patients show a present of gestational hyperemesis. Avoiding metabolic stress or crisis during pregnancy and puerperium is the key to avoid the onset or progression of CTLN1.

Abnormal hepatic function, coagulopathy, vomiting and behavioral disorders might be important clues and early symptoms of pregnancy-related type CTLN1. A dietary history should be considered in UCDs. Plasma ammonia should be tested as soon as possible.

Rare genetic metabolic diseases might be considered if hyperammonemia is detected, after ruling out hepatic dysfunctions, neuropsychiatric disorders and infectious diseases. Genetic testing and GC-MS organic acid testing are important for diagnosis.

A multi-disciplinary team is important for diagnosis and managements, for CTLN1 during pregnancy, continuous plasma ammonia monitoring, aggressive ammonia-lowering therapy, neurological monitoring and protection are required.

DECLARATIONS

Author contributions

Jiapo Li: Designing of the study, Writing the original manuscript. Hongfei Shen: Collecting clinical data. Maryam F. Abdelrahim: Writing-Reviewing and Editing. Guoming Chu: Molecular testing. Ling Huang: Biochemical analysis, Diagnosis of patients. Chong Qiao: Critical analyzing the manuscript, Providing important intellectual content.

Acknowledgments

The authors acknowledge the valuable contributions of all the collaborators and referring physicians for patients and/or samples. We duly acknowledge the support of our patient’s family, the staff members.

Source of funding

Partial funding was availed from the Livelihood Science and Technology Joint Project of Liaoning Province (No. 2021JH2/10300123) and the Science and Technology Project of Shenyang (20-205-4-004).

Ethics approval and consent to participate

This study was approved by the Ethics Committee of Shengjing Hospital of China Medical University (Approval No. 2021PS385K). Consent was obtained from the patient’s husband for publication.

Conflict of interest

Chong Qiao is the Editor-In-Chief of the journal. Jiapo Li and Hongfei Shen are the Assistant Editor-In-Chief of the journal. The article was subject to the journal’s standard procedures, with peer review handled independently of these members and their research group.

REFERENCES

  1. Bijarnia-Mahay S, Häberle J, Jalan AB, et al. Urea cycle disorders in India: clinical course, biochemical and genetic investigations, and prenatal testing. Orphanet J Rare Dis. 2018;13(1):174.    DOI: 10.1186/s13023-018-0908-1
  2. Imagawa E, Diaz GA, Oishi K. A novel Romani microdeletion variant in the promoter sequence of ASS1 causes citrullinemia type I. Mol Genet Metab Rep. 2020;24:100619.    DOI: 10.1016/j.ymgmr.2020.100619    PMID: 32637322
  3. Woo HI, Park HD, Lee YW. Molecular genetics of citrullinemia types I and II. Clin Chim Acta. 2014;431:1–8.    DOI: 10.1016/j.cca.2014.01.032    PMID: 24508627
  4. Ah Mew N, Simpson KL, Gropman AL, Lanpher BC, Chapman KA, Summar ML. Urea Cycle Disorders Overview. In: Adam MP, Everman DB, Mirzaa GM, et al., eds. GeneReviews®. University of Washington; 1993.    DOI: 10.1093/med/9780199937837.003.0063
  5. Kose E, Unal O, Bulbul S, Gunduz M, Häberle J, Arslan N. Identification of three novel mutations in fourteen patients with citrullinemia type 1. Clin Biochem. 2017;50(12):686–689.    DOI: 10.1016/j.clinbiochem.2017.01.011    PMID: 28132756
  6. Ozben T. Expanded newborn screening and confirmatory follow-up testing for inborn errors of metabolism detected by tandem mass spectrometry. Clin Chem Lab Med. 2013;51(1):157–176.    DOI: 10.1515/cclm-2012-0472    PMID: 23183752
  7. Kobayashi K, Kakinoki H, Fukushige T, Shaheen N, Terazono H, Saheki T. Nature and frequency of mutations in the argininosuccinate synthetase gene that cause classical citrullinemia. Hum Genet. 1995;96(4):454–463.    DOI: 10.1007/BF00191806    PMID: 7557970
  8. Richards S, Aziz N, Bale S, et al. Standards and guidelines for the interpretation of sequence variants: a joint consensus recommendation of the American College of Medical Genetics and Genomics and the Association for Molecular Pathology. Genet Med. 2015;17(5):405–424.    DOI: 10.1038/gim.2015.30
  9. Landrum MJ, Lee JM, Benson M, et al. ClinVar: improving access to variant interpretations and supporting evidence. Nucleic Acids Res. 2018;46(D1):D1062–D1067.    DOI: 10.1093/nar/gkx1153
  10. Stenson PD, Ball EV, Mort M, et al. Human gene mutation database (HGMD):2003 update. Hum Mutat. 2003;21(6):577–581.    DOI: 10.1002/humu.10212
  11. Adzhubei IA, Schmidt S, Peshkin L, et al. A method and server for predicting damaging missense mutations. Nat Methods. 2010;7(4):248–249.    DOI: 10.1038/nmeth0410-248
  12. Davydov EV, Goode DL, Sirota M, Cooper GM, Sidow A, Batzoglou S. Identifying a high fraction of the human genome to be under selective constraint using GERP++. PLoS Comput Biol. 2010;6(12):e1001025.    DOI: 10.1371/journal.pcbi.1001025    PMID: 21152010
  13. Ioannidis NM, Rothstein JH, Pejaver V, et al. REVEL: an ensemble method for predicting the pathogenicity of rare missense variants. Am J Hum Genet. 2016;99(4):877–885.    DOI: 10.1016/j.ajhg.2016.08.016
  14. Schwarz JM, Cooper DN, Schuelke M, Seelow D. MutationTaster2:mutation prediction for the deep-sequencing age. Nat Methods. 2014;11(4):361–362.    DOI: 10.1038/nmeth.2890    PMID: 24681721
  15. Vaser R, Adusumalli S, Leng SN, Sikic M, Ng PC. SIFT missense predictions for genomes. Nat Protoc. 2016;11(1):1–9.    DOI: 10.1038/nprot.2015.123    PMID: 26633127
  16. Quinonez SC, Lee KN. Citrullinemia Type I. In: Adam MP, Everman DB, Mirzaa GM, et al., eds. GeneReviews®. University of Washington; 1993.    DOI: 10.7759/cureus.15109
  17. Diez-Fernandez C, Rüfenacht V, Häberle J. Mutations in the human argininosuccinate synthetase (ASS1) gene, impact on patients, common changes, and structural considerations. Hum Mutat. 2017;38(5):471–484.    DOI: 10.1002/humu.23184    PMID: 28111830
  18. Unsinn C, Das A, Valayannopoulos V, et al. Clinical course of 63 patients with neonatal onset urea cycle disorders in the years 2001-2013. Orphanet J Rare Dis. 2016;11(1):116.    DOI: 10.1186/s13023-016-0493-0
  19. Lee BH, Kim YM, Heo SH, et al. High prevalence of neonatal presentation in Korean patients with citrullinemia type 1, and their shared mutations. Mol Genet Metab. 2013;108(1):18–24.    DOI: 10.1016/j.ymgme.2012.11.011
  20. Gao HZ, Kobayashi K, Tabata A, et al. Identification of 16 novel mutations in the argininosuccinate synthetase gene and genotype-phenotype correlation in 38 classical citrullinemia patients. Hum Mutat. 2003;22(1):24–34.    DOI: 10.1002/humu.10230
  21. Häberle J, Vilaseca MA, Meli C, et al. First manifestation of citrullinemia type I as differential diagnosis to postpartum psychosis in the puerperal period. Eur J Obstet Gynecol Reprod Biol. 2010;149(2):228–229.    DOI: 10.1016/j.ejogrb.2009.11.014
  22. Summar ML, Barr F, Dawling S, et al. Unmasked adult-onset urea cycle disorders in the critical care setting. Crit Care Clin. 2005;21(4 Suppl):S1–S8.    DOI: 10.1016/j.ccc.2005.05.002
  23. Salek J, Byrne J, Box T, Longo N, Sussman N. Recurrent liver failure in a 25-year-old female. Liver Transpl. 2010;16(9):1049–1053.    DOI: 10.1002/lt.22118
  24. Sinclair M, Ket S, Testro A, Gow PJ, Angus PW. Acute hepatic decompensation precipitated by pregnancy-related catabolic stress: a rare mimic of acute liver failure. Obstet Gynecol. 2014;123(2 Pt 2 Suppl 2):480–483.    DOI: 10.1097/aog.000000000000005
  25. Potter MA, Zeesman S, Brennan B, et al. Pregnancy in a healthy woman with untreated citrullinemia. Am J Med Genet A. 2004;129A(1):77–82.    DOI: 10.1002/ajmg.a.20559
  26. Scriver CR, Sly WS, Childs B, et al. The Metabolic and Molecular Bases of Inherited Disease. 8th ed. McGraw-Hill Professional; 2000: 1909–1963.    DOI: 10.1007/s00439-001-0669-z
  27. Yamada N, Fukui M, Ishii K, et al. A case of adult form hypercitrullinemia with consciousness disturbance and marked hypertransaminasenemia after delivery (author’s transl). Nihon Shokakibyo Gakkai Zasshi. 1980;77(10):1655–1660.    DOI: 10.3919/jjsa.81.2016
  28. Ohta N, Saito T, Hayashi Y, Sakai N, Saito H, Hiroi M. A case of citrullinemia repeatedly induced by pregnancy. Nihon Sanka Fujinka Gakkai Zasshi. 1996;48(5):351–354.    PMID: 8847462
  29. Ito S, Kurasawa G, Yamamoto K, et al. A pregnant patient with fulminant hepatic failure was found to carry a novel missense mutation in the argininosuccinate synthetase gene. J Gastroenterol. 2004;39(11):1115–1117.    DOI: 10.1007/s00535-004-1455-1
  30. Enns GM, O’Brien WE, Kobayashi K, Shinzawa H, Pellegrino JE. Postpartum “psychosis” in mild argininosuccinate synthetase deficiency. Obstet Gynecol. 2005;105(5 pt 2):1244–1246.    DOI: 10.1097/01.AOG.0000157769.90230.24    PMID: 15863597
  31. Randall MH, Stoermann M, Rockey DC. A faux case of acute liver failure in a 28-year-old pregnant woman. Hepatology. 2018;68(3):1200–1202.    DOI: 10.1002/hep.30044
  32. Wang Q, Xu Y, Wu H. [Maternal death after postpartum onset of citrullinemia type Ⅰ: a case report]. Chin J Perinat Med. 2020;24(2):131–134.    DOI: 10.1126/science.abe5323    PMID: 32883835
  33. Zielonka M, Kölker S, Gleich F, et al. Early prediction of phenotypic severity in Citrullinemia Type 1. Ann Clin Transl Neurol. 2019;6(9):1858–1871.    DOI: 10.1002/acn3.50886