ABSTRACT

Background: Evidences have shown the auricular vagus nerve stimulation (aVNS) is effective for functional dyspepsia (FD) recently. This study aimed to observe the mechanism of aVNS on facilitatory mediators of the inflammation in a rat model of functional dyspepsia. Methods: Thirty-six 5 d-old male Sprague Dawley rats were randomly divided into control groups (n = 12), model group (n = 12), aVNS group (n = 6) and sham-aVNS group (n = 6). Except for the control rats, all other rats were treated with iodoacetamide gavage. After the model was developed successfully, rats in aVNS group and sham-aVNS group received aVNS and sham-aVNS respectively, 30 min/1 time per day for 14 consecutive days. The control group and model group received no intervention. Gastric sensitivity after 1-week of intervention and gastric emptying after 2-week of intervention were adopted to assess the effect of aVNS. Brain-gut peptides, facilitatory mediators of the inflammation in serum were tested by ELISA, and α7 nicotinic acetylcholine receptor (α7-nAchR) in antrum tissue were tested by Immunohistochemistry to explore the mechanism of aVNS. Results: Compared with the control group, the gastric sensitivity was increased, gastric emptying decreased, and there was no structural damage in the gastric antrum in the model group. aVNS reduced visceral hypersensitivity and improved gastric emptying but not sham-aVNS. cholecystokinin, glucagon-like peptide-1, peptide, tumor necrosis factorα and interleukin 6 were all increased, while ghrelin and α7-nAchR decreased in model rats (P < 0.01 for all, compared with the control group). aVNS can normalize them. Conclusion: The aVNS can decrease the gastric sensitivity and increase gastric emptying, the mechanism was related to its regulation of brain-gut peptides and facilitatory mediators of the inflammation. The ameliorating effect was related to cholinergic mechanism.

Key words: auricular vagus nerve stimulation, functional dyspepsia, visceral hypersensitivity, gastric motility, brain-gut peptide

INTRODUCTION

Functional dyspepsia (FD) is one of the common recurrent clinical functional gastrointestinal diseases. FD is a complex of symptoms referable to the gastrointestinal tract and includes epigastric pain or burning, postprandial fullness, or early satiety, and no evidence of structural disease that is likely to explain the symptoms.[1] The prevalence of dyspepsia in the general population is approximately 20%, and 80% of these individuals have no explanation for their symptoms at endoscopy and have functional dyspepsia.[2,3] Symptom generation is part of a complex relationship between the gut and brain. The pathophysiology of FD is complex and heterogeneous including gastrointestinal sensory and motor dysfunction, immune dysfunction, gut-brain axis dysfunction and alterations in gastrointestinal microbiota.[4] FD was perceived to benefit most from pharmacotherapy although most treatments have modest effects, adverse event profile has recently been recognized.[57] Recurrent symptoms reduce life quality of patient. Repeat visits to hospital cost a lot of medical resources and bring serious economic burden to patients. Several clinic trials demonstrated that auricular vagus nerve stimulation (aVNS) with optimized parameters has a therapeutic potential for treating FD by improving impaired gastric accommodation, visceral hypersensitivity and gastric dysrhythmia via enhancing vagal activity.[810] Compared with drug pharmacotherapy, aVNS is a safe, noninvasive and convenient treatment in clinical practice. The exploration of its effective mechanism is conducive to the application.

The aVNS locates to the cymba concha and cavum concha where the auricular branch of the vagus nerve (ABVN) distributes, mainly innervates the external auditory canal and the auricular concha.[11] He et al. first observed the afferent nerve terminals in nucleus tractus solitaries (NTS) projected from the ABVN and aVNS can activate firing of the NTS neurons.[12] NTS is an important relay nucleus that transmits and processes visceral signals between the gastrointestinal tract and central nervous system, which provides neurologic basis for the improvement of aVNS in FD patient. The vagus nerve not only innervates the gastric motility, but also the peripheral cholinergic anti-inflammatory pathway. This study aimed to evaluate the effects of aVNS on the secretion of brain-gut peptides and facilitatory mediators of the inflammation, to explore the further mechanism in FD model rats.

MATERIALS AND METHODS

Animals

Thirty-six 5-day-old Specific Pathogen Free Sprague-Dawley adult male rats were raised for 4 days for adaptation. The rats were provided by Sibeifu (Beijing, China), with the license numbered SCXK (Beijing) 2016-0002. They were housed in the animal lab of the Institute of Acupuncture and Moxibustion, China Academy of Chinese Medical Sciences (CACMS).

The rats were raised in a large animal cage (35 cm × 25 cm × 20 cm) in a quiet air-conditioned room (30 m2 ), conventionally fed with standard rat food in free access and water. Room temperature was 23 ℃ ± 2 ℃ and relative humidity was 60% ± 5% with 12 h alternate day and night. The experimental protocol was approved by the Ethics Committee of Institute of Acupuncture and Moxibustion, CACMS, and complied with the ethical review standards for animal experiments at Institute of Acupuncture and Moxibustion, CACMS (Approval No. D 2019-11-14-1).

Main instruments and experimental reagents

Transcutaneous electrical acustimulator (Medkinetic, China), Powerlab labchart 16-channel physiological signal recording and analysis system bioelectric amplifier (Adinstruments, New Zealand), Labchart 8 (Adinstruments, New Zealand), Unipolar temporary myocardial pacing wire (Medtronic, US), Latex condom (Shanghai gonow electronic commerce Co. Ltd, China), PE-240 (Scientific commodities Inc, US), Small animal anesthetic machine (Matrx, US), High-speed freezing centrifuge (Eppendorf, Germany), Full spectral scanning confocal microscope (Olympus, Japan), Microtome cryostat (Thermo, US), Automatic microplate reader (Thermo, US).

Iodoacetamide (Sigma, US),Isoflurane (Shenzhen RWD Life Science Technology Co. Ltd, China),4% paraformaldehyde fixing solution (Wabcan, China), Butorphanol tartrate injection (UK Bless pet animal protection limited). rat glucagon like peptide 1 ELISA kit, rat peptide YY ELISA kit,rat substance P ELISA kit,rat cholecystokinin ELISA kit and rat ghrelin ELISA kit (Blue gene, China), rat tumor necrosis factorα (TNF-α) ELISA kit and rat interleukin (IL)-6 ELISA kit (Neobioscience, China), Anti-nicotinic acetylcholine receptor alpha 7 antibody (abcam, US).

Model of "FD"

With the computer-generated random number method, the rats were divided into control group (n = 12), model group (n = 12), aVNS group (n = 6) and sham-aVNS group (n = 6). Except the rats in control group, the other rats were treated as follows [13,14]: 10-day-old rats received 0.2 mL 0.1% iodoacetamide (IA) in 2% sucrose daily by oral gavage for 6 days, then were housed normally to grow until adulthood of 8-week-old. Gastric sensitivity and gastric histology were used to evaluate the success of the model.Compared with the blank group, the body weight, food intake, gastric emptying rate, and intestinal propulsion rate of the FD model rats significantly decreased, and there was no significant change in gastric histopathology, suggesting the successful establishment of the FD model.

The aVNS and sham-aVNS

Control group and model group were without intervention. Rats in aVNS and sham-aVNS group were given aVNS and sham-aVNS respectively.

Electrical stimulation was performed via a pair of wire electrodes placed at the unilateral auricular cymba concha and cavum concha using a transcutaneous electrical stimulator. During stimulation, an awakened rat was placed in a restrainer (30 cm × 20 cm × 15 cm) and could only move its legs slightly (Figure 1). Parameters [15]: 0.5 mA, 0.1 s-on and 0.4 s-off and 100 Hz, and 30 min daily for 2 weeks. Sham-aVNS was performed under the same experimental setting except that the stimulation output was set at 0 mA.

Figure 1

Figure 1. Schematic diagram of intervention (arrows represent stimulation sites).

Experimental protocol

The flow chart of the experimental procedures is shown in Figure 2.

Figure 2

Figure 2. Flow chart of the protocol.

Measurements

Gastric sensitivity

We used the rate of mean change in cervical trapezius muscle electromyography (EMG) integrals to evaluate gastric sensitivity before and after the intervention.[13]

Balloon and wires implantation: All rats were fasted but without water deprivation for 20 h before the evaluation, and they were anesthetized by inhalation of isoflurane. The incision along the mid-abdominal line was made, the balloon made of latex condom, 2.5 cm in diameter, fixed on the top of the long catheter (PE-240), was placed into the stomach from the incision through the gastric fundus, and the balloon was inflated about 10 mL to ensure that it was located in the stomach, and could be successfully inflated and expanded, and without blocking the pylorus. The catheter was penetrated into and out, passing through the subcutaneous tissues, from the back of neck. Then, a pair of stainless steels wire electrodes, inserted subcutaneously and protruded from the back of the neck, was placed on the acromion trapezius muscle to record the EMG. The intramuscular injection of butorphanol tartrate injection 0.03 mg/kg, once, 15 min before surgery, was given to relieve postoperative visceral pain. The rats were raised in single cages after surgery for recovery for one week, without any other intervention.

EMG recording: EMG responses to gastric distension (GD) at different pressures (20, 40, 60, and 80 mmHg) were recorded using an EMG amplifier. The signal was filtered at a cutoff frequency from 2 Hz to 500 Hz and recorded with a sampling frequency of 2000 Hz. It was recorded for 20 s at baseline without GD, 20 s during GD at a pressure of 20 mmHg and a resting period of 3 min; This process was repeated until all other pressures (40, 60 and 80 mmHg) were tested. The area under the curve of the EMG during each period (baseline, during GD) was calculated by the software (Labchart 8). The final EMG value was presented as a ratio increase against the baseline value. The calculation formula was simplified based on the study [14]: EMG change ratio = mean EMG score in the pressurized period/mean EMG score in the basal period.

Gastric emptying rate

Before the intervention, twelve rats (6 rats from the control group and 6 from the model group) were randomly selected for testing gastric emptying rate. After the 2-wk of intervention, gastric emptying rate was tested in all rats. After 20 h fasting, the rat was given 2 g of regular solid food within 10 min. 90 min after feeding, the rat was anaesthetized by general isoflurane. After the blood sample was collected from the abdominal aorta, the entire stomach was carefully isolated and removed and the gastric content was removed and dried in the air. The gastric emptying was calculated as follows: Gastric emptying rate (%) = (2 - gastric content)/2 × 100%.[15]

Histological Analyses

To assess whether there was erosion, ulcer and other structural damage in the gastric tissues, gastric antrum tissues (0.8 cm × 0.8 cm) from twelve rats (n = 3/per group) were collected and fixed in 4% paraformaldehyde. Paraffin-embedded sections with a thickness of 4 μm were processed for hematoxylin and eosin staining, and the images were collected under a microscope.

Concentration of serum brain-gut peptides and inflammatory cytokines

The blood was collected from the abdominal aorta, centrifuged for 15 min (3500 r/min) by high-speed centrifuge, and the serum was reserved for testing. Enzyme-linked immune sorbent assay (ELISA) was used to detect the quantitative expressions of serum cholecystokinin (CCK), glucagon-like peptide-1 (GLP-1), peptide YY (PYY), substance P (SP), ghrelin (GHRL), inflammatory cytokines TNF-α and IL-6. The ELISA method is operated in strict accordance with the instructions.

Expression of the α7 nicotinic acetylcholine receptor (α7-nAchR) in the antrum

The antrum tissue was collected. Using immunohistochemistry (IHC) to assess the expression of α7-nAchR in the antrum.

IHC analysis: Wax-embedded antrum tissues were cut into 5 μm thick slices. After dewaxed by xylene, tissues were dehydrated with gradient ethanol and soaked in 3% H2O2 to remove endogenous peroxidase and subjected to antigen repair for 15 min. Then tissues were incubated with primary antibodies (1:100) overnight at 4 ℃ and incubated with a secondary antibody for 1 h and streptavidin-peroxidase for 30 min at room temperature. The sections were observed under an optical microscope (200x). Determination of optical density (OD) values was done using Motic Images Advanced 3.2 image analysis software.

Statistical analysis

SPSS 25.0 software was used for statistical analysis. Measurement data are expressed in the form of Mean ± SD. In case the data were consistent with normality and homogeneity variance, the independent sample t-test was used for comparison between two groups. One-way ANOVA was used for comparison among multiple groups, and LSD method was used for post hoc test. Tamhane’s T2 (M) method was used after ANOVA if the data was not in accordance with homogeneity of variance. If the data did not conform to the normality, non-parametric test was adopted. The level of test was α = 0.05, and P < 0.05 was considered as statistically significant.

RESULT

Effect of aVNS on gastric sensitivity

When the rat model-making was finished, compared with the control group, the EMG change ratios to GD at different pressures (20, 40, 60, and 80 mmHg) were increased (P < 0.05 for 20 mmHg, P < 0.05 for 40 mmHg, P < 0.01 for 60 mmHg, P < 0.05 for 80 mmHg) (Figure 3A).

Figure 3

Figure 3. The electromyography (EMG) change ratio results of all rats in four groups under 20, 40, 60, and 80 mmHg. A: before the intervention; B: after the intervention. Versus control group, *P < 0.05, **P < 0.01, ****P < 0.0001; Versus model group, #P < 0.05, ##P < 0.01; Versus sham-auricular vagus nerve stimulation (aVNS) group, &P < 0.05.

After one week of intervention, there were no differences in EMG change ratios among four groups under the pressures of 20 mmHg and 40 mmHg. Compared with the control group, gastric sensitivity in the model rats was increased (P < 0.01 for 60 mmHg; P < 0.05 for 80 mmHg); Compared with the model group, aVNS reduced the gastric sensitivity (P < 0.01 for 60 mmHg; P < 0.05 for 80 mmHg); Compared with the sham-aVNS group, aVNS reduced the gastric sensitivity (P < 0.05 for both 60 mmHg and 80 mmHg) (Figure 3B).

Effect of aVNS on gastric emptying

Before the intervention, compared with the control rats, the gastric emptying rate in the model group was decreased (P < 0.001) (Figure 4A).

Figure 4

Figure 4. The gastric emptying rate results of all rats under 20, 40, 60, and 80 mmHg. A: before the intervention; B: after the intervention. Versus control group, **P < 0.01, ***P < 0.001; Versus model group, #P < 0.05; Versus sham-auricular vagus nerve stimulation (aVNS) group, &&&P < 0.001.

After two weeks of intervention, compared with the control rats, the gastric emptying rate in the model group was decreased (P < 0.01); aVNS increased the gastric emptying rate (P < 0.01 compared with the model group, P < 0.001 compared with the sham-aVNS group) (Figure 4B).

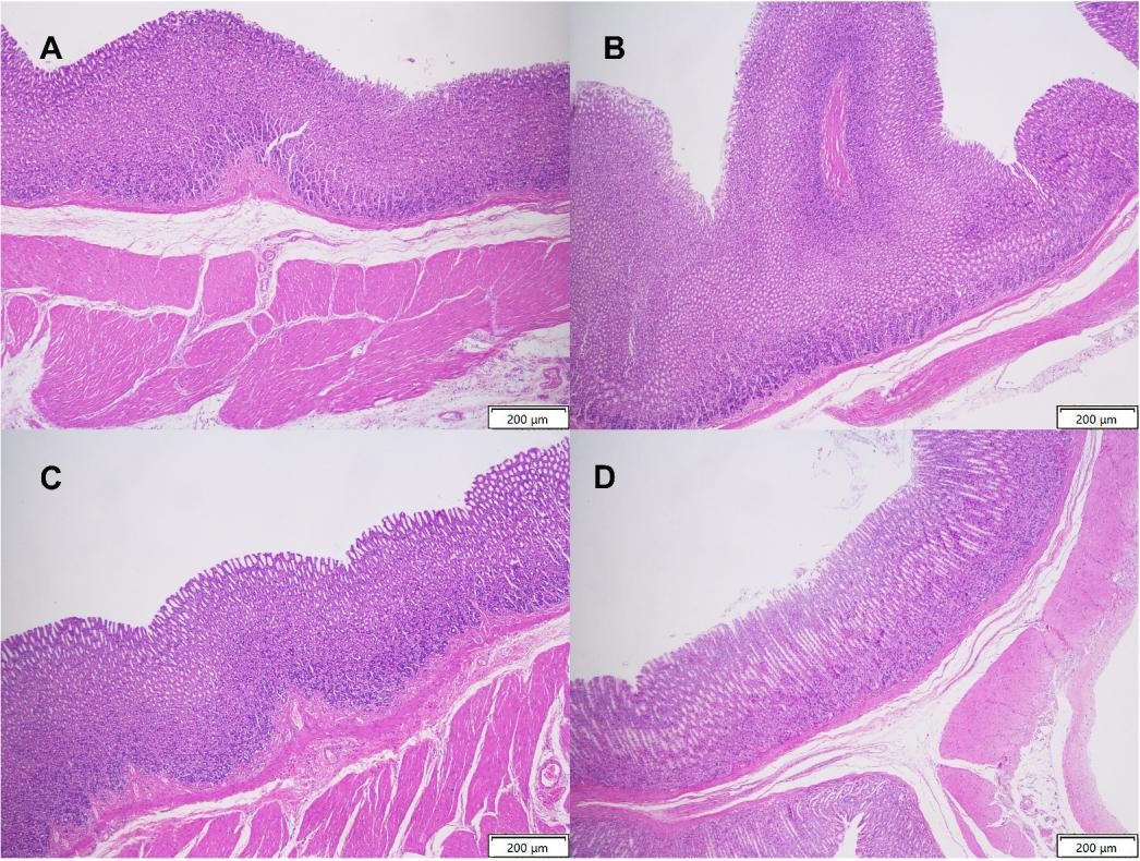
Histology of gastric antrum tissue

There was no obvious erosion, ulcer or other tissue damage in the gastric mucosa of each group, proving no organic damage (Figure 5).

Figure 5

Figure 5. Hematoxylin and eosin staining for antrum tissue. A: control group. B: model group. C: auricular vagus nerve stimulation (aVNS) group. D: sham-aVNS group.

Serum level of brain-gut peptides CCK, GLP-1, PYY and GHRL

Compared with the control rats, the concentrations of CCK, GLP-1 and PYY were all increased in the model group (P < 0.01, P < 0.0001; P < 0.01); aVNS can decrease concentrations of CCK, GLP-1 and PYY (P < 0.0001, P < 0.0001; P < 0.01 all compared with the model group); Compared with the sham-aVNS, aVNS decrease all concentrations of CCK, GLP-1 and PYY (P < 0.05, P < 0.0001; P < 0.01) (Figure 6A,6B,6C).

Figure 6

Figure 6. The brain-gut peptides result of all rats in four groups. Versus control group, *P < 0.05, **P < 0.01, ****P < 0.0001; Versus model group, ##P < 0.01, ####P < 0.01; Versus sham-aVNS group, &P < 0.05, &&P < 0.01, &&&&P < 0.0001. aVNS: auricular vagus nerve stimulation; CCK: cholecystokinin; GLP-1: glucagon-like peptide-1; PYY: peptide YY; GHRL: ghrelin.

Compared with the control rats, the release of GHRL was decreased in the model group (P < 0.01); aVNS can increase concentrations of GHRL (P < 0.01 compared with the model group (P < 0.01) but not sham-aVNS (Figure 6D).

Serum level of SP and facilitatory mediators of the inflammation

Compared with the control rats, the concentrations of TNF-α, IL-6 and SP were all increased in the model group (P < 0.001, P < 0.01, P < 0.01); aVNS can decrease release of TNF-α, IL-6 and SP (P < 0.001, P < 0.0001, P < 0.05 all compared with the model group); Compared with the sham-aVNS, aVNS decreased the release of TNF-α and IL-6 (P < 0.01, P < 0.01) (Figure 7A, 7B, 7C).

Figure 7

Figure 7. The results of substance P (SP) and inflammatory cytokines TNF-α and interleukin (IL) -6 in all rats in four groups. Versus control group, *P < 0.05, **P < 0.01, ***P < 0.001; Versus model group, #P < 0.01, ###P < 0.001, ####P < 0.0001; Versus sham-aVNS group, &&P < 0.01. aVNS: auricular vagus nerve stimulation; TNF-α: tumor necrosis factor α.

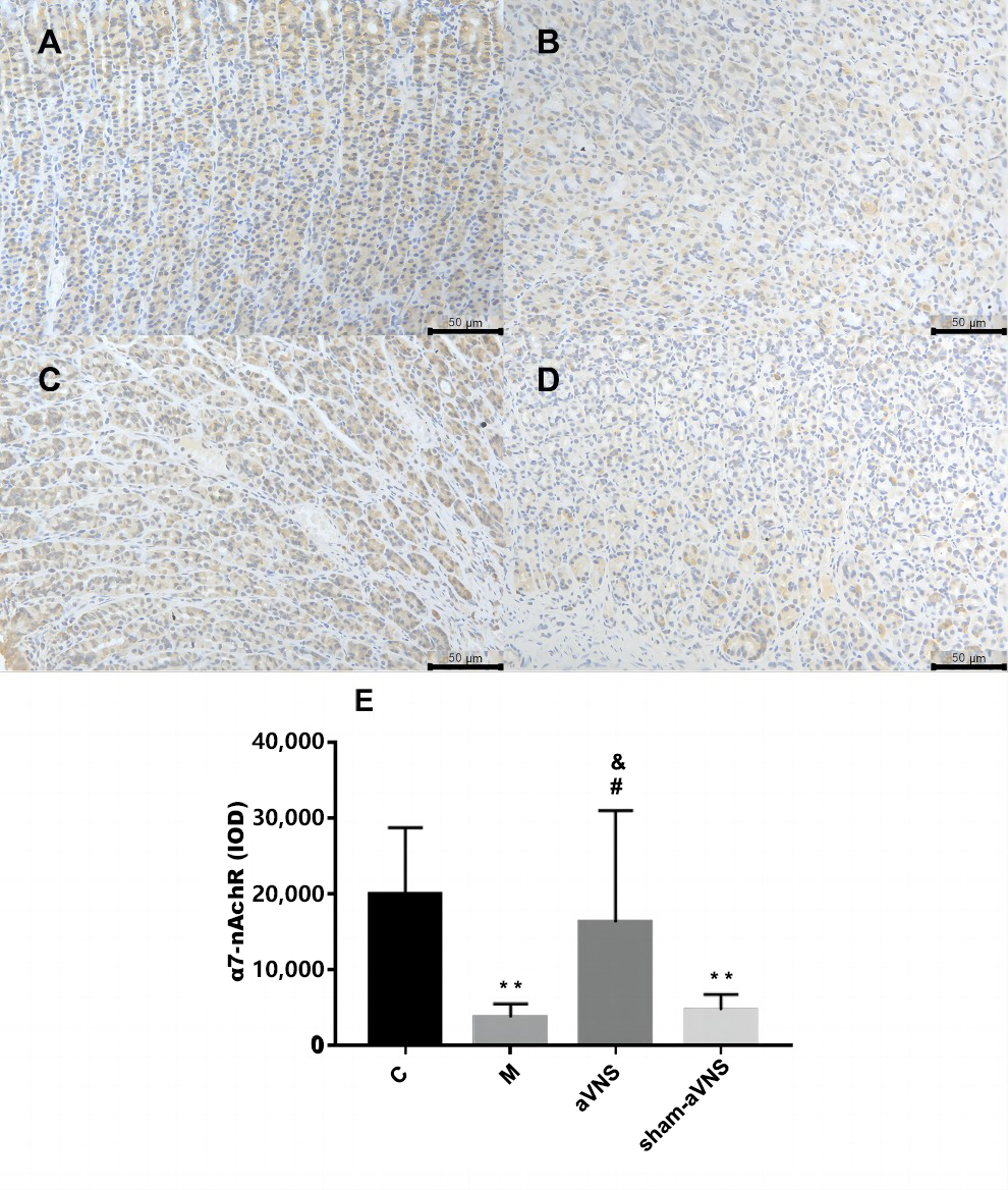
Expression of the α7-nAchR in the antrum

Compared with the control rats, the expression of α7-nAchR was decreased in the model group (P < 0.01); aVNS can increase expression of α7-nAchR (P < 0.05 compared with the model group; P < 0.05 compared with the sham-aVNS group) (Figure 8).

Figure 8

Figure 8. The results antrum α7-nAchR in all rats in four groups. Versus control group, **P < 0.01; Versus model group, #P < 0.01; Versus sham-aVNS group, &P < 0.05. α7-nAchR: α7 nicotinic acetylcholine receptor.

DISCUSSION

In this study, we observed the following results: (1) The IA-treated rats presented visceral hypersensitivity, delayed gastric emptying, and without structural damage in the stomach. (2) aVNS reduced visceral hypersensitivity and increased gastric emptying. (3) aVNS regulated brain-gut peptides related with gastric emptying. (4) aVNS reduced the release of inflammatory cytokines. (5) aVNS improved the expression of α7-nAchR in the antrum tissue.

We chose the valid rat model received IA daily by oral gavage for 6 days, and successfully duplicated the FD-like model represented by visceral hypersensitivity.[13,16] The result was consistent with the previous study.[14,17] As the test method of gastric sensitivity requires long-term implantation of the balloon into the stomach of rats, the balloon is corroded by gastric acid in the stomach. This limited the valid time of test. To meet the need of practical effects, gastric sensitivity was detected after one week of the intervention in this study. The other measurements were all conducted after two weeks of the intervention.

The aVNS regulated brain-gut peptides related with the gastric emptying

Brain-gut peptides were found in enteric nervous system, cerebral nervous system, and endocrine cells in the gastrointestinal tract. They connect and regulate the various links of brain-gut axis interaction directly involved in the regulation of gastrointestinal motion, sensation, secretion, and participate in the regulation of emotions. Thus, they have the dual role of neurotransmitter and hormone, forming a two-way traffic path between enteric nervous system and the gastrointestinal system. Brain-gut peptides, including but not limited to CCK, GHRL, GLP-1 and PYY, regulate gastrointestinal motility. CCK and PYY have been investigated as gut hormones that send satiation signals to the brain in mammals.[18] CCK is known to delay gastric emptying, causing disorder of gastric electrical rhythm and inducing a feeling of fullness. FD patient was found with a higher level release of plasm CCK than the healthy.[19] In FD patients, perceptions of fullness, bloating and nausea induced by duodenal lipid infusion are reduced by concurrent administration of the cholecystokinin-A (CCK-A) receptor antagonist.[20] Conversely, GHRL stimulates the secretion of digestive juice and contraction of the gastrointestinal smooth muscle, promoting the advancement of gastrointestinal motility.[21] GLP-1 is an enterogastrone that inhibits antral contractility and stimulates pyloric motility, both of which contribute to inhibition of gastric emptying and reduce food intake.[20] Patients with chronic kidney disease commonly have upper gastrointestinal symptoms. They exhibited a significantly lower GHRL level and a higher GLP-1 level compared to the health people.[22] Electroacupuncture can upregulated GHRL in rats with functional dyspepsia.[23] The serum level of CCK, GLP-1, PYY in model rats were higher but with a lower level of GHRL than that in the control rats. This probably resulted in gastric dysmotility and reduced food intake in model rats. The mechanism of aVNS for improving FD maybe via regulating brain-gut peptides related to gastric emptying. While sham-aVNS did not have the improvement effect.

The aVNS regulated facilitatory mediators of the inflammation related with visceral hypersensitivity

Visceral pain is one of the most frequent reasons for medical consultation and is an integral part of the most common gastrointestinal syndromes such as FD. Symptoms associated with epigastric pain syndrome were thought to be due to mechanical hypersensitivity of the stomach. Injury or inflammation can lead to persistent peripheral input and sensitization.[24] The low-grade inflammatory is considered as the important pathogenesis of FD. That acute infections, food antigens, acid, and capsaicin can alter the steady state of the gastrointestinal tract and lead to dysfunction of the intestinal epithelial barrier, increasing mucosal permeability. Antigens might then be recognized by immune cells, leading to a low-grade inflammatory response, with further immune activation. Inflammatory mediators and cytokines released by activated intestinal eosinophils and mast cells might sensitize enteric nerves, thereby causing visceral hypersensitivity and motor dysfunction.[4] A host of studies demonstrate that the analgesic effect is dependent on the presence of inflammatory cells and hence inflammation.[2527] Pro-inflammatory cytokines, chemokines, biogenic amines, bradykinins, prostaglandins, SP and several neurosurgeons are among the facilitatory mediators of the inflammation.[24] It has been demonstrated that SP and its neurokinin-1 receptor play a significant role in nociceptive perception that contributes to visceral hypersensitivity.[28] Yin et al. found that visceral pain from irritable bowel syndrome can be relieved via mechanisms involving downregulation of SP in rats.[29] In our study, serum SP, inflammation cytokines including TNF-α and IL-6 were all increased but decreased with aVNS. Therefore, aVNS alleviated visceral hypersensitivity probably by downregulating facilitatory mediators of the inflammation, thus reducing the visceral pain in rat.

The aVNS improved the expression of the α7-nAchR in the stomach

The aVNS improved the release of α7-nAchR which is the receptor of acetylcholine in the antrum tissue. The result proved that aVNS probably improved the activity of vagus nerve in FD-like rats, which is consistent with the previous study.[9,15,30] Vagus nerve not only dominates the gastrointestinal motility, but also plays the important role mediating the peripheral neuro anti-inflammatory via cholinergic anti-inflammatory pathway (CAP).[31] Zhao et al. proved that transcutaneous auricular vagus nerve stimulation protects endotoxemia rat from lipopolysaccharide-induced inflammation via activating the CAP.[27] Thus, we speculated that aVNS probably reduced the visceral sensitivity via the cholinergic anti-inflammatory.

Clinical prospect of the aVNS

In this study, the aVNS can improve both visceral hypersensitivity and gastric motility via multiple targets, which is promising. The treatment of FD is mainly directed towards the predominant symptoms including prokinetics, and acid suppression therapy. Prokinetics aims to improve abnormalities in gastric motility and fundal accommodation, but the effect is limited for up to 50% of patients with postprandial distress syndrome seek other forms of treatment.[32] Acid suppression therapy applies to individuals with evidence of impaired duodenal clearance of gastric acid and duodenal hypersensitivity to infused gastric acid existed, particularly benefits in post prandial distress syndrome.[4] Subtle inflammation identified in the duodenum of patients with FD might be associated with the onset and persistence of dyspeptic symptoms.[33,34] Experts consider that targeted treatments for potential causes of duodenal pathology, such as impaired permeability and dysbiosis, are likely to emerge in the future.[35] However, there is no medication to improve low-grade inflammation currently. We observed that the mechanisms of aVNS for improving FD involved in regulating brain-gut peptides related with gastric emptying and proinflammatory factors related with visceral hypersensitivity. The aVNS has been confirmed to be safe and valid for improving symptoms in FD patients. Notably, the stimulation is noninvasive, easy to be operated, and can be used repeatedly thus to reduce the economic cost of patients. In addition, the treatment can be self-administrated for FD patients under prescription of the physician. The aVNS will add a new electronic medical model to the clinical treatment of FD.

In conclusion, aVNS ameliorated FD with multi-target. aVNS reduced the gastric hypersensitivity probably mediated by improving the activity of vagus nerve and relieving the low grade inflammatory; The treatment promoted gastric emptying probably via regulating brain-gut peptides. The therapy complemented the deficiency effect of single target common drugs, but further mechanisms need to be explored.

DECLARATION

Author contributions

Hou L and Yang Y performed the experiments. Rong P and Hou L wrote the manuscript. Chen JD, Wei W, and Rong P supervised the project administration and reviewed the article. Luo X, Wang J and Zhang J provided experimental help.

Funding

This research was funded by National Natural Science Foundation of China (No. 81820108033, 82174519).

Informed consent

Not applicable.

Ethics approval

The experimental protocol was approved by the Ethics Committee of Institute of Acupuncture and Moxibustion, CACMS, and complied with the ethical review standards for animal experiments at Institute of Acupuncture and Moxibustion, CACMS (Approval No. D 2019-11-14-1).

Conflict of interest

Jiande D Z Chen is an Editor-in-Chief of the journal, and Wei Wei is the Executive Editor-in-Chief. The article was subject to the journal’s standard procedures, with peer review handled independent of the editor and the affiliated research groups.

Data Sharing

The data presented in this study are available on request from the corresponding authors.

REFERENCES

  1. Stanghellini V, Chan FK, Hasler WL, et al. Gastroduodenal Disorders. Gastroenterology. 2016;150(6):1380–1392.    DOI: 10.1053/j.gastro.2016.02.011    PMID: 27147122
  2. Ford AC, Marwaha A, Sood R, et al. Global prevalence of, and risk factors for, uninvestigated dyspepsia: a meta-analysis. Gut. 2015;64(7):1049–1057.    DOI: 10.1136/gutjnl-2014-307843    PMID: 25147201
  3. Ford AC, Marwaha A, Lim A, et al. What is the prevalence of clinically significant endoscopic findings in subjects with dyspepsia? Clin Gastroenterol Hepatol. 2010;8(10):830–837.    DOI: 10.1016/j.cgh.2010.05.031    PMID: 20541625
  4. Ford AC, Mahadeva S, Carbone MF, et al. Functional dyspepsia. Lancet (London, England). 2020;396(10263):1689–1702.    DOI: 10.1016/S0140-6736(20)30469-4    PMID: 33049222
  5. Moayyedi P, Lacy BE, Andrews CN, et al. ACG and CAG Clinical Guideline: Management of Dyspepsia. Am J Gastroenterol. 2017;112(7):988–1013.    DOI: 10.1038/ajg.2017.154    PMID: 28631728
  6. Ford AC, Luthra P, Tack J, et al. Efficacy of psychotropic drugs in functional dyspepsia: systematic review and meta-analysis. Gut. 2017;66(3):411–420.    DOI: 10.1136/gutjnl-2015-310721    PMID: 26567029
  7. Masuy I, Van Oudenhove L, Tack J. Review article: treatment options for functional dyspepsia. Aliment Pharmacol Ther. 2019;49(9):1134–1172.    DOI: 10.1111/apt.15191    PMID: 30924176
  8. Aranow C, Atish-Fregoso Y, Lesser M, et al. Transcutaneous auricular vagus nerve stimulation reduces pain and fatigue in patients with systemic lupus erythematosus: a randomised, double-blind, sham-controlled pilot trial. Ann Rheum Dis. 2021;80(2):203–208.    DOI: 10.1136/annrheumdis-2020-217872    PMID: 33144299
  9. Zhu Y, Xu F, Lu DW, et al. Transcutaneous auricular vagal nerve stimulation improves functional dyspepsia by enhancing vagal efferent activity. Am J Physiol Gastrointest Liver Physiol. 2021;320(5):G700–G711.    DOI: 10.1152/ajpgi.00426.2020    PMID: 33624527
  10. Frøkjaer JB, Bergmann S, Brock C, et al. Modulation of vagal tone enhances gastroduodenal motility and reduces somatic pain sensitivity. Neurogastroenterol Motil. 2016;28(4):592–598.    DOI: 10.1111/nmo.12760    PMID: 26728182
  11. Mercante B, Ginatempo F, Manca A, et al. Anatomo-Physiologic Basis for Auricular Stimulation. Med Acupunct. 2018;30(3):141–150.    DOI: 10.1089/acu.2017.1254    PMID: 29937968
  12. He W, Jing XH, Zhu B, et al. The auriculo-vagal afferent pathway and its role in seizure suppression in rats. BMC Neurosci. 2013;14:85.    DOI: 10.1186/1471-2202-14-85    PMID: 23927528
  13. Liu LS, Winston JH, Shenoy MM, et al. A rat model of chronic gastric sensorimotor dysfunction resulting from transient neonatal gastric irritation. Gastroenterology. 2008;134(7):2070–2079.    DOI: 10.1053/j.gastro.2008.02.093    PMID: 18448102
  14. Zhang S, Li S, Liu Y, et al. Electroacupuncture. via. chronically implanted electrodes improves gastric dysmotility mediated by autonomic-cholinergic mechanisms in a rodent model of functional dyspepsia. Neurogastroenterol Motil.2018;30(10):e13381.    DOI: 10.1111/nmo.13381    PMID: 29856090
  15. Zhou J, Li S, Wang Y, et al. Effects and mechanisms of auricular electroacupuncture on gastric hypersensitivity in a rodent model of functional dyspepsia. PLoS One. 2017;12(3):e0174568.    DOI: 10.1371/journal.pone.0174568    PMID: 28350818
  16. Nishio H, Hayashi Y, Terashima S, et al. Role of endogenous nitric oxide in mucosal defense of inflamed rat stomach following iodoacetamide treatment. Life Sci. 2006;79(16):1523–1530.    DOI: 10.1016/j.lfs.2006.04.013    PMID: 16730029
  17. Liu L, Li Q, Sapolsky R, et al. Transient gastric irritation in the neonatal rats leads to changes in hypothalamic CRF expression, depression- and anxiety-like behavior as adults. PLoS One. 2011;6(5):e19498.    DOI: 10.1371/journal.pone.0019498    PMID: 21589865
  18. Kewan A, Saneyasu T, Kamisoyama H, et al. Effects of fasting and re-feeding on the expression of CCK, PYY, hypothalamic neuropeptides, and IGF-related genes in layer and broiler chicks. Comp Biochem Physiol A Mol Integr Physiol. 2021;257:110940.    DOI: 10.1016/j.cbpa.2021.110940    PMID: 33785435
  19. Singh R, Mittal B, Ghoshal UC. Functional dyspepsia is associated with GNβ3 C825T and CCK-AR T/C polymorphism. Eur J Gastroenterol Hepatol. 2016;28(2):226–232.    DOI: 10.1097/MEG.0000000000000511    PMID: 26551933
  20. Parkman HP, Camilleri M, Farrugia G, et al. Gastroparesis and functional dyspepsia: excerpts from the AGA/ANMS meeting. Neurogastroenterol Motil. 2010;22(2):113–133.    DOI: 10.1111/j.1365-2982.2009.01434.x    PMID: 20003077
  21. Zhao X, Wang H, Zhang Z, et al. Effects of ethyl acetate extract of. Salsola collina. on brain-gut peptides and interstitial cells of gastric Cajal in rats with diabetic gastroparesis. Salsola collina.2020;23(9):1218-1224.    DOI: 10.22038/ijbms.2020.43521.10223    PMID: 32963744
  22. Wu GJ, Cai XD, Xing J, et al. Circulating motilin, ghrelin, and GLP-1 and their correlations with gastric slow waves in patients with chronic kidney disease. Am J Physiol Regul Integr Comp Physiol. 2017;313(2):R149–R157.    DOI: 10.1152/ajpregu.00317.2016    PMID: 28566304
  23. Tang L, Zeng Y, Li L, et al. Electroacupuncture Upregulated Ghrelin in Rats with Functional Dyspepsia. via. AMPK/TSC2/Rheb-Mediated mTOR Inhibition. Dig Dis Sci.2020;65(6):1689-1699.    DOI: 10.1007/s10620-019-05960-5    PMID: 31863340
  24. Wilder-Smith CH. The balancing act: endogenous modulation of pain in functional gastrointestinal disorders. Gut. 2011;60(11):1589–1599.    DOI: 10.1136/gutjnl-2011-300253    PMID: 21768212
  25. Xuan JL, Zhu YW, Xu WH, et al. Integrative effects of transcutaneous electrical acustimulation on abdominal pain, gastrointestinal motility, and inflammation in patients with early-stage acute pancreatitis. Neurogastroenterol Motil. 2022;34(4):e14249.    DOI: 10.1111/nmo.14249    PMID: 34536258
  26. Weng RX, Chen W, Tang JN, et al. Targeting spinal TRAF6 expression attenuates chronic visceral pain in adult rats with neonatal colonic inflammation. Mol Pain. 2020;16:1744806920918059.    DOI: 10.1177/1744806920918059    PMID: 32299285
  27. Zhao YX, He W, Jing XH, et al. Transcutaneous auricular vagus nerve stimulation protects endotoxemic rat from lipopolysaccharide-induced inflammation. Evid Based Complement Alternat Med. 2012;2012:627023.    DOI: 10.1155/2012/627023    PMID: 23346208
  28. Teng W, Chen H, Guo F, et al. Expression and distribution of SP and its NK1 receptor in the brain-gut axis in neonatal maternally separated rat model with visceral hypersensitivity. Genet Mol Res. 2016;15(3):10.    DOI: 10.4238/gmr.15038999    PMID: 27706667
  29. Yin Y, Zhong L, Wang JW, et al. Tong Xie Yao Fang relieves irritable bowel syndrome in rats. via. mechanisms involving regulation of 5-hydroxytryptamine and substance P. World J Gastroenterol.2015;21(15):4536-4546.    DOI: 10.3748/wjg.v21.i15.4536    PMID: 25914462
  30. Hou LW, Rong PJ, Li L, et al. [Effects of transcutaneous auricular vagus nerve stimulation on autonomic nervous function in rats with functional dyspepsia]. Zhen Ci Yan Jiu 2021;46:663–670.
  31. Tracey KJ. The inflammatory reflex. Nature. 2002;420(6917):853–859.    DOI: 10.1038/nature01321    PMID: 12490958
  32. Den Houte K, Carbone F, Tack J. Postprandial distress syndrome: stratification and management. Expert Rev Gastroenterol Hepatol. 2019;13(1):37–46.    DOI: 10.1080/17474124.2019.1543586    PMID: 30791841
  33. Talley NJ. Functional dyspepsia: new insights into pathogenesis and therapy. Korean J Intern Med. 2016;31(3):444–456.    DOI: 10.3904/kjim.2016.091    PMID: 27048251
  34. Taki M, Oshima T, Li M, et al. Duodenal low-grade inflammation and expression of tight junction proteins in functional dyspepsia. Neurogastroenterol Motil. 2019;31(10):e13576.    DOI: 10.1111/nmo.13576    PMID: 30790378
  35. Wauters L, Burns G, Ceulemans M, et al. Duodenal inflammation: an emerging target for functional dyspepsia? Expert Opin Ther Targets. 2020;24(6):511–523.    DOI: 10.1080/14728222.2020.1752181    PMID: 32249629