ABSTRACT

Background: Qizhi Weitong (QZWT) granules are a compound preparation of Chinese medicine, which are approved by the China Food and Drug Administration for the treatment of functional dyspepsia (FD) and have been used in clinical practice for decades. The objective of this study is to evaluate whether QZWT granules can alleviate gastric hypersensitivity by improving low-grade inflammation and the mucosal barrier in the duodenum in a functional dyspepsia-like (FD-like) model in rats. Methods: FD-like gastric hypersensitivity in adulthood was induced by iodoacetamide (IA) in neonatal rats. Thirty-two Sprague-Dawley (SD) rats were randomly classified into the control, model, QZWT, and Mosapride groups. Further, 0.2 mL of 0.1% iodoacetamide and 2.0% sucrose administrated by oral gavage was used to establish the FD-like rats model (once a day, for six consecutive days). Electromyography (EMG) was used to evaluate the visceral motor response to gastric dilation. After treatment, the fluorescein isothiocyanate-glucan (FITC-glucan) test was performed to evaluate duodenal permeability; enzyme-linked immunosorbent assay (ELISA) and quantitative polymerase chain reaction (qPCR) were used to evaluate the pro-inflammatory cytokines for duodenal epithelial cells and the tight junction (TJ) proteins of the duodenal mucosa. Results: The EMG score was elevated in the model group compared to the control group, but it decreased after QZWT intervention; no changes were observed between the Mosapride and model groups. Compared with the control group, rats in the gastric hypersensitivity model group showed a higher expression of interleukin-6 (IL-6) and tumor necrosis factor-α (TNF-α) and lower expression of zona occludens protein 1 (ZO-1), occludin, and desmosome (DSG2) of junction proteins (P < 0.05); while in the QZWT group, the expression of IL-6 and TNF-α was reduced (P < 0.01), and the expression of ZO-1, occludin, and DSG2 was increased compared to the model group (P < 0.05). Conclusion: QZWT granules alleviate visceral hypersensitivity in an FD-like model in rats by inhibiting inflammatory cytokines IL-6 and TNF-α and regulating junction proteins.

Key words: Qizhi Weitong granules, functional dyspepsia, inflammatory cytokine, duodenal mucosal barrier, visceral hypersensitivity

INTRODUCTION

Functional dyspepsia (FD) is a common functional disorder of the stomach and intestine that has no obvious cause. It is usually manifested as postprandial fullness, early fullness, epigastric pain, and epigastric burning. The worldwide incidence of FD is 7.2%, and it is prone to recurrence. It brings a heavy physical and mental burden to patients and severely affects their quality of life.[1] Moreover, it has been found that low-grade duodenal inflammation could cause abdominal distension and abdominal pain by inducing local sensory and motion disorders.[2] There are several lines of evidence that duodenal low-grade inflammation may be involved in the etiopathogenesis of FD, thereby inducing duodenal barrier dysfunction and becoming associated with visceral hypersensitivity.[3] However, no effective treatment is available for impaired mechanical barriers and tight junction (TJ) proteins.

Traditional Chinese medicine (TCM), with multiple targets and multiple pathways, has been used for over 4000 years in China and also offers beneficial methods for the treatment of FD. Qizhi Weitong (QZWT) granules, a common Chinese patent medicine to treat dyspepsia, which contains six TCMs—Radix bupleuri, Hovenia dulcis, Radix paeoniae alba, Corydalis tuber, Sweet attached, and Main licorice have been shown to be effective for treating FD.[4] However, its effective mechanism remains unclear. The aim of this study was to evaluate whether QZWT granules could alleviate gastric hypersensitivity by improving the mucosal barrier and low-grade inflammation in the duodenum. With the development of bioinformatics technology, the main pharmacological effects and key targets of TCMs have been discovered.[5,6] In this study, the TCM system pharmacology (TCMSP) database and analysis platform were used to investigate the effective targets of QZWT. In TCMSP, the active components, key absorption, distribution, metabolism, and excretion (ADME) parameters, drug-likeness, molecular targets in vivo, regulatory pathways, and related diseases of Chinese medicines were provided.[7] A human genome database, Genecards (https://www.genecards.org), is another platform that provides information on genomes, proteomes, transcription, inheritance, and functions of all known human genes.[8] In this study, a protein-protein interaction (PPI) network was built with other bioinformatics methods and based on the STRING database,[9] and the network was refined in Cytoscape 3.8.0.[10] With the DAVID 6.8 database, Kyoto Encyclopedia of Genes and Genomes (KEGG) pathway enrichment analysis was performed on the genes corresponding to drug disease.[11] With bioinformatics analysis, the mechanism of QZWT in treating FD was revealed from microscopic perspectives as “gene target” and “signaling pathway”.

MATERIALS AND METHODS

Preparation of animals

Thirty-two specific pathogen free (SPF) grade, five-day-old, healthy, male Sprague-Dawley (SD) rats were provided by SPF (Beijing) Biotechnology Co., Ltd. (Experimental Animal License No. SCXK[J]2011–0004). Rats were housed in an environment with a temperature of 22 ± 1℃ (diurnal range of temperature no higher than 4 ℃), relative humidity of 50% ± 1%, and a light/dark cycle of 12/12 h. All animals were fed with normal food and allowed to drink sterilized water ad libitum. All animal studies (including the mice euthanasia procedure) were performed in compliance with the regulations and guidelines of the Institute of Acupuncture and Moxibustion, China Academy of Chinese Medical Sciences institutional animal care, and conducted according to the Association for Assessment and Accreditation of Laboratory Animal Care (AAALAC) and the Institutional Animal Care and Use Committee (IACUC) guidelines. The animal protocol was approved by the Committee on Animal Care and Use of the Institute of Acupuncture and Moxibustion, China Academy of Chinese Medical Sciences (No. D2019-11-14-1).

Thirty-two SD rats were randomly divided into four groups (eight rats in each group): The control group, the model group, the QZWT group, and the Mosapride group. The model group, the QZWT group, and the Mosapride group received gastric perfusion with iodoacetamide to establish a rat model with gastric hypersensitivity (gastric perfusion of 0.2 mL of 0.1% iodoacetamide in 2% sucrose by oral gavage) at the age of ten days. The control group received 0.2 mL of 2% sucrose by oral gavage. The gastric perfusion was performed once a day for six consecutive days. Rats in all groups were normally fed until they were eight weeks old, after which the model was evaluated. There was no significant difference in bodyweights (300–400 g) between the control and model groups. The animals then received QZWT granules, which were mixed with distilled water and prepared in to an aqueous solution of 0.27 g/mL; Mosapride citrate tablets were mixed with distilled water and prepared in to an aqueous solution of 0.27 mg/mL. Since the age of nine weeks, rats in the QZWT group were administered 1.35 g/kg/d of the aqueous solution of QZWT granules, and those in the Mosapride group were administered 1.35 mg/kg/d of the aqueous solution of Mosapride for gastric perfusion of a volume of 0.5 mL/100 g. The control and model groups were administered 0.5 mL/100 g of distilled water for gastric perfusion. The gastric perfusion for each group was performed once a day for 14 consecutive days.

Drugs

QZWT granules were made from Radix bupleuri, Hovenia dulcis, Radix paeoniae alba, Corydalis tuber, Sweet attached, and Main licorice (ratio of 9 : 10 : 12 : 10 : 10 : 5, Liaoning China Resources Benxi Sanyao Co., Ltd., Batch No. 20100623). Mosapride Citrate tablets were manufactured by Lunan Beite Pharmaceutical Co., Ltd. (Batch No. 19990317, Table 1).

Table 1: Herbs of the QZWT.
Chinese name English name Latin name
CHAI HU Radix bupleuri Bupleuri Radix
ZHI QIAO Hovenia dulcis Aurantii Fructus
BAI SHAO Radix paeoniae alba Paeonia lactiflora Pall
YAN HU SUO Corydalis tuber Corydalis Rhizoma
XIANG FU Sweet attached Cyperi Rhizoma
ZHI GAN CAO Main licorice Glycyrrhizae
QZWT, Qizhi Weitong.

Surgical procedures

All rats were made to fast for 24 h before surgery to ensure that the stomach was empty at the time of surgery. The rats were then anesthetized with isoflurane inhalation (2%–3%) and maintained in a deep anesthesia condition with muscle relaxation during the subsequent procedures. Using previously described methods,[12,13] after a midline abdominal incision, a latex balloon (diameter: 2.0–2.5 cm) attached to polyethylene tubing (PE240) for gastric distension (GD) was inserted into the gastric fundus through a small gastric incision. The polyethylene tubing was passed through the subcutaneous layer of the abdomen to the back of the neck. A pair of cardiac pacing wires (Medtronic Streamline 6494) was used for electromyography (EMG) recording (bipolar), spaced 0.5 cm apart, and then sutured on the right acromiotrapezius muscle of the rat’s neck.[14] The electrode wires were passed underneath the skin to externalize at the back of the neck, close to the polyethylene tubing. All surgical procedures were completed consecutively in the order listed above, and surgery was completed within 1.5 h for each rat.

Measurements of abdominal withdraw reflex (AWR) and EMG

Visceromotor reflex (VMR) was assessed using the AWR score and the EMG activity. Behavioral responses to GD were assessed by visual observation of the AWR by a blinded observer and scored in the following manner: (1) normal behavior without response; (2) contraction of abdominal muscles; (3) lifting of the abdominal wall; and (4) body arching and lifting of pelvic structures.

The rats were given seven days for recovery following the surgical procedure. Then, the EMG activity from the acromiotrapezius muscle was recorded in response to GD. GD was performed by rapidly inflating the chronically implanted gastric balloon to constant pressures of 0 (baseline), 20, 40, 60 and 80 mmHg sequentially for 20 s with a 2-minute rest between two consecutive distention levels. The EMG was continuously recorded during the experiment using a Biopac EMG recording system (Lab-Chart Pro 8; BIOPAC Systems, Inc, AD instrument, USA). The EMG signal was amplified, filtered at 300 Hz, and digitized at 2000 Hz. The area under the curve (AUC) of the EMG was calculated by the AcqKnowledge® software version 3.7 (BIOPAC Systems, Inc., AD instrument, USA). The AUC of the EMG activity during the 20-s GD divided by the preceding 20-s baseline AUC without GD was defined as the EMG response to GD (represented as a percentage value).

The pathological morphology of gastric tissue

Each rat was anesthetized with 1% pentobarbital sodium, after which the stomach was removed, cut open along the great curve, and soaked in 4% formalin at 4 ℃ for 72 h. Its paraffin-embedded tissue specimen was stained with hematoxylin-eosin (H & E) for histological evaluation.

Measurement of duodenum permeability using FITC-dextran assay

After 12 h of fasting, each rat was fed with 500 mg/kg of FITC-dextran (4.4 kDa, Sigma-Aldrich, USA) dissolved in olybutylene succinate (PBS) for gastric perfusion. Three hours before the animal was sacrificed, a 0.2 mL gastric perfusion with 25 mg/mL FITC-dextran diluted with PBS was performed. Then, a 0.15 mL blood sample was collected with an ethylene diaminete traaceti acid (EDTA) test tube before and at 60 min and 120 min after gastric perfusion. Blood samples were centrifuged at 4 ℃ and 3000 rpm for 10 min after precipitation, and approximately 200 µL of the supernatant was collected. A fluorescence spectrophotometer (Fluoroskan FL, Thermo scientific, USA) of an excitation wavelength of 480 nm and an emission wavelength of 520 nm was used to measure the fluorescein concentration; the content of FITC-dextran was calculated according to the standard curve.

Inquiry of FD-related gene targets

Functional dyspepsia was used as the keyword for inquiry in the Genecards database for FD-related genes. To improve the prediction accuracy, the relevance score was set as ≥ 20 to screen the disease genes for the following bioinformatics analysis. Effectively active components and effect targets of QZWT granules were recorded and screened.

Collection and screening of effectively active components and effect targets of QZWT granules

The TCM system pharmacology database and the analysis platform (TCMSP; http://Lsp.nwu.edu.cn/tcmsp.php) were inquired for the chemical components of the six TCMs included in QZWT granules. Oral bioavailability (OB) was set as ≥ 30%, and drug-likeness (DL) was set as ≥ 0.18 to screen all chemical components for the effectively active ones, after which the effect targets were predicted. The Uniprot database (http://www.uniprot.org/) was consulted to correct the names of all target genes to canonical names.

Functional analysis of the predicted genes with STRING and DAVID databases

FD-related genes and the gene targets of QZWT granules were input in VENNY (https://bioinfogp.cnb.csic.es/tools/venny/) to map out the intersection targets. STRING database was inquired for the PPI of intersection genes, and data of high confidence of 0.7 were collected. Targets presented in the PPI network were input in the DAVID database (https://david.ncifcrf.gov) for KEGG pathway enrichment analysis. The TCM-component-target-pathway network was built in Cytoscape.

Enzyme-linked immunosorbent assay (ELISA)

The duodenal tissue was homogeneously rinsed with PBS and stored overnight at 20 ℃. After being frozen and thawed twice, the tissue’s membrane was ruptured, and 10,000 g of the tissue was centrifuged at 4 ℃ for 10 min. The supernatant was then collected and immediately tested. An ELISA kit for IL-6 and TNF-α of rats (Expandbiotech, China) was used to measure IL-6 and TNF-α concentrations, as instructed. IL-6 and TNF-α antibodies and conjugates were incubated with the supernatant at 37 ℃ for one hour, and a 450-nm ELISA instrument (Bio-Tek Instruments, USA) was used to detect signals. IL-6 and TNF-α concentrations were expressed in μg/L.

Quantitative polymerase chain reaction (qPCR) assay

Real-time fluorescent quantitation was used to measure the mRNA expression in Zona Occluden-1 (ZO-1), Occludin, and desmosome (DSG2) in the duodenum. Briefly, 20 mg of the duodenal tissue was weighed and fully ground in 300 µL of tissue lysate. Total RNA was extracted from it according to the instructions on the total RNA extraction kit for animal tissues. A full wavelength spectrophotometer was used to measure the concentration and purity of total RNA. RNA samples of 1.8 to 2.2 A260/A280 were collected for the next experiment. In addition, 2% agarose gel was used to measure the integrity. The total RNA was reversed into cDNA according to the instructions on the PrimeScript™ RT reagent Kit with gDNA Eraser (Takara Bio, JPN). The primers were designed and synthesized by TaKaRa. β-actin gene was used as an internal control The primers used were shown in Supplementary Table 1. The quantitative experiment was performed following the procedure of 5-min pre-denaturation at 95 ℃, 30 s denaturation at 95 ℃, 10 s annealing at 54 ℃ and 10 s extension at 72 ℃, and repeated circularly 40 times. 2-△△Ct (with Ct representing the cycle threshold) was used to express the relative mRNA expression in ZO-1, Occludin, and DSG2.

Data analysis

Statistical analysis was performed using Prism software version 6.0 (Graphpad Software, San Diego, California, USA). All values were presented as the means ± standard deviation (SD). Student’s t-test or a two-way repeated measures analysis of variance (ANOVA) was used for comparison. P < 0.05 was considered statistically significant.

RESULTS

Validation of the FD-like rats

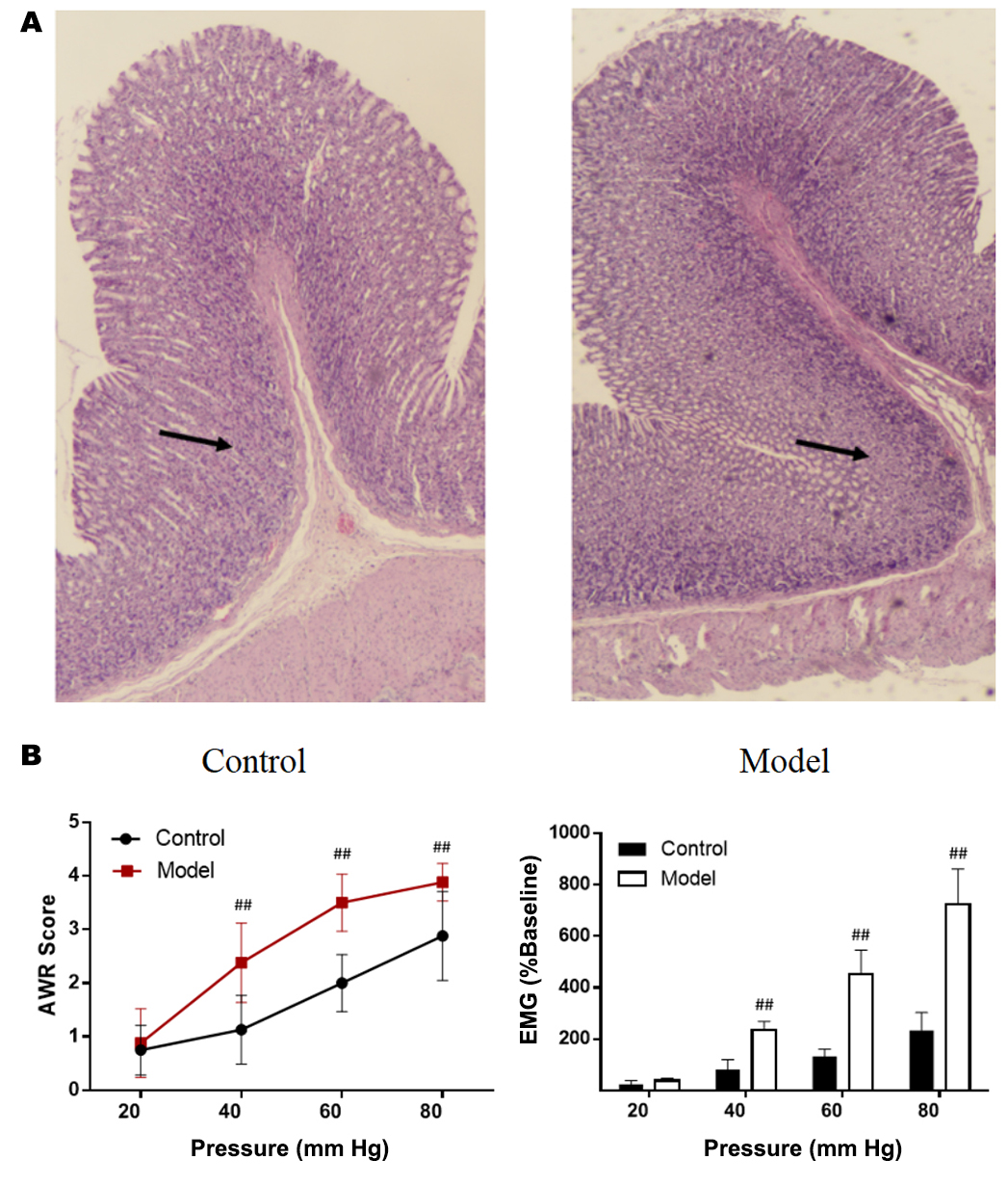
The gastric histology of the rats’ stomachs revealed superficial sloughing of the mucosa in the model group without any evidence of deeper injury or inflammation. There was no significant change in the gastric histology between the iodoacetamide (IA) and control groups (Figure 1A). As depicted in Figure 1B, the rate of AWR and EMG was significantly increased in the model group compared to that in the control group (P < 0.01), which further suggested that the FD-like rats model was successfully established.

Figure 1

Figure 1. Validation of functional dyspepsia in rats in the model (FD) and control groups. (A) H & E staining for gastric morphology (photomicrography, ×10). (B) There was a significant difference in the rate of AWR and EMG between the two groups. Data are mean ± SD. Control vs. FD, ##P < 0.01; n = 8 animals in the control group; n = 24 animals in the model group. H & E, hematoxylin and eosin; FD, functional dyspepsia; AWR, abdominal withdraw reflex; EMG, electromyography.

QZWT modulates visceral hypersensitivity in FD-like rats

Visceral hypersensitivity is commonly observed in FD. Previous studies found that FD patients had higher visceral sensitivity compared to controls.[15] In our study, under incremental balloon pressure of 40 mmHg, 60 mmHg, and 80 mmHg, the gastric sensitivity of FD-like rats was obviously higher compared to that of normal rats. The treatment using QZWT, but not Mosapride, considerably reduced gastric sensitivity in FD-like rats, which confirmed the existence of visceral hypersensitivity and suggested that QZWT treatment could be used to relieve FD (Figure 2).

Figure 2

Figure 2. QZWT modulates gastric hypersensitivity in FD-like rats. (A) AWR and (B) EMG. Results are represented as means ± SEM; n = 8 rats in each group. *P < 0.05 compared with the control group, #P < 0.05 compared with the model group, as determined by one-way ANOVA followed by a least significant difference post hoc test. QZWT, Qizhi Weitong; FD, functional dyspepsia; EMG, electromyography. ANOVA, analysis of variance.

The outcomes of the FITC-dextran test

The duodenum permeability was significantly higher in the FD-like rats. Plasma FITC-dextran was detectable beginning from 60 min after the oral gavage. FITC-dextran and was measured for two hours. We found that the duodenum permeability in the model group was higher than that in the control group at 60 min and 120 min. In contrast, the QZWT treatment normalized the duodenum permeability at 60 min and 120 min, compared with the control group, and reduced the duodenum permeability in comparison with the Mosapride treatment at all time points (Figure 3).

Figure 3

Figure 3. FD significantly increases the permeation of duodenum tissue measured by FITC-dextran in blood plasm, while QZWT, but not Mosapride, was able to reverse the adverse effects. Values were represented as the means ± SD (n = 8). *vs. control, #vs. model; P < 0.05. FD, functional dyspepsia; FITC, fluorescein isothiocyanate; QZWT, Qizhi Weitong. SD, standard deviation.

Prediction of FD-related genes and targets of QZWT granules by bioinformatics

FD-related genes were acquired from the Genecards database, and those with a relevance score > 20 were taken as candidate genes for the following bioinformatics analysis. There were 30 intersection targets between FD-related genes and potential effect targets of QZWT granules (Figure 4A). The 30 targets were acquired from the STRING database for PPI analysis, and 29 genes scored over 0.9 points in interaction. These 29 genes were then inputted in the DAVID database for KEGG pathway enrichment analysis, as depicted in Figure 4B.

Figure 4

Figure 4. PPI analysis and KEGG pathway enrichment analysis. (A) Targets shared between FD-related genes and QZWT granule-related targets on the Venn map. (B) KEGG pathway enrichment analysis of genes involved in the treatment of FD by QZWT granules. The P-value used here was calculated by the DAVID analysis tool, and the figure depicts the top seven items related to FD. QZWT, Qizhi Weitong; FD, functional dyspepsia; HIF, hypoxia inducible factor; NOD nucleotide-binding oligomerization domain; TNF, tumor necrosis factor.

Key targets of QZWT granules in the PPI network

To identify the key targets of QZWT in treating FD, genes involved in the PPI network were analyzed in Cytoscape (Figure 5). The IL-6 and TNF genes, having the highest node density, were analyzed.

Figure 5

Figure 5. Interaction network among the 29 key nodes.

TCM-component-target-pathway network

A visualized TCM-component-target-pathway network, as depicted in Figure 6, was used to explain the relationship between TCMs for FD and IL-6 and TNF.

Figure 6

Figure 6. TCM-component-target-pathway network. The hexagon represents a TCM, the circle represents a chemical component, the diamond represents a gene, and the triangle represents a pathway. HIF, hypoxia inducible factor; NOD nucleotide-binding oligomerization domain; TNF, tumor necrosis factor.

Further verification of the candidate targets in rat stomachs with FD

To confirm the prediction, the results of the molecular biology experiments are presented in Figure 7. The ELISA analysis revealed that the expression of IL-6 (Figure 7A) and TNF-α (Figure 7B) in the model group was more upregulated in FD-like rats in comparison with the control group, while the expression of IL-6 and TNF-α in the QZWT group was significantly reduced compared to the model group (P < 0.01).

Figure 7

Figure 7. QZWT attenuates inflammatory responses. (A) The expression of IL-6 of four groups. (B) The expression of TNF-α of four groups. Values were represented as the means ± SD (n = 8). *vs. control, #vs. model; P < 0.05. QZWT, Qizhi Weitong Granules; IL, interleukin-6; TNF, tumor necrosis factor. SD, standard deviation.

Comparison of mRNA expressions of ZO-1, occludin, and DSG2 in the duodenum of rats in different groups

As depicted in Figure 8, the expression of ZO-1, occludin, and DSG2 expressions in the duodenum was significantly reduced in rats in the model group compared with the blank control group (P < 0.05). In the QZWT group, the expression of ZO-1, occludin, and DSG2 was increased compared to that in the model group (P < 0.05), while there was no significant difference between the Mosapride and model groups.

Figure 8

Figure 8. QZWT enhances epithelial barrier function of rats. (A) The expression of ZO-1 of four groups. (B) The expression of occluding of four groups. (C) The expression of DSG2 of four groups. Values were represented as the means ± SD (n = 8). *vs. control, #vs. model; P < 0.05). QZWT, Qizhi Weitong. SD, standard deviation.

DISCUSSION

FD is a disease related to “distention and fullness” and “epigastric pain” in the TCM sector. Previous experiments revealed that QZWT granules could alleviate visceral hypersensitivity in FD-like rats.[16] Changes in the sensitivity of the stomach and duodenum to mechanical and chemical stimulations are common in FD patients, and visceral hypersensitivity is one of the key pathological mechanisms related to epigastric pain and fullness in patients with FD.[17] Kindt et al.[18] examined intestinal immune activation in presumed postinfectious functional dyspepsia and found that all FD patients had low-grade mucosal inflammation and activated immune cells, which were related to the impairment of the intestinal mucosal barrier and abnormal sensitivity of the intestinal nerve. In the present study, we found that rats in the model group had significantly higher sensitivity of the stomach to the stimulation of balloon dilation than rats in the control group, thereby suggesting visceral hypersensitivity. This data also indicated that FD-like rats had a lower sensory threshold of mechanical stimulation and higher sensitivity and intolerance to pain.

The mechanical barrier of the intestinal mucosa is composed of epithelial cells and the mucous layer and is connected by TJs, gap junctions, adhesion junctions, and desmosome junctions. TJ proteins can be divided into DSG2, occludin, and ZO-1.[19] A complete mechanical barrier can prevent toxins, bacteria, and other harmful substances from entering the proper layer and invading the intestinal mucosal barrier.[20] Impairment of the intestinal mucosal barrier, particularly the mechanical barrier, may be an important pathogenesis of recurrent and long-lasting FD.[21] TJ proteins play a key role in the structure and function of the mechanical barrier. They constitute a dynamic barrier that can block the translocation of “bad” microorganisms and selectively let a few nutrients pass through. Therefore, in the event of a structural disorder of TJ proteins, the permeability of the intestine is disrupted, which may lead to FD and other disorders.[22] A recent study found that FD patients had mild inflammation in the duodenum, which leads to decreased mRNA expressions in epithelial TJ proteins (mainly occludin and ZO-1 as well as DSG2, the desmosome), and, in turn, structural and functional abnormalities of intestinal epithelial TJ protein.[21] In this study, we found that QZWT granules may increase the mRNA expression in duodenal TJ proteins (occludin, ZO-1, and DSG2) and reduce IL-6 and TNF-α levels in FD-like rats. Recent studies also reported that TCM may alleviate visceral hypersensitivity or regulate the expressions of TJ proteins in the duodena.[2324] Moreover, the results of our study verified the correlation of FD with low-grade duodenal inflammation and impairment of the mechanical epithelial barrier of the duodenal mucosa. Therefore, improving the mechanical epithelial barrier of the mucosa and reducing inflammatory responses could be the key aspects for alleviating visceral hypersensitivity in FD. Our study demonstrated that QZWT granules could treat FD with multiple targets through the above pathways.

CONCLUSIONS

This study revealed that QZWT could alleviate visceral hypersensitivity in FD-like rats by regulating the expressions of occludin, ZO-1, and DSG2 and improving low-grade duodenal inflammation. Our study results, together with the methods used by different bioinformatics databases to predict the key targets that can be verified based on molecular biology, may be useful for exploring TCM mechanisms.

Declaration

Author contributions

Wei W, Chen JDZ: Conceptualization and Methodology. Yang Y and Fang S: Writing—Reviewing and Editing: Yang Y and Mao X: Writing—Original draft preparation. Zhang T, Wang L: Investigation. Mao X, Fang S and Han L: Formal analysis. Yang Y and Wang P: Validation. All authors read and approved the final manuscript.

Ethics approval

This animal experiment was performed in accordance with the Guide for the Care and Use of Laboratory Animals published by the National Institutes of Health (NIH Publications No. 85-23, revised 1996) and approved by the committee on Animal Care and Use of the Institute of Acupuncture and Moxibustion, China Academy of Chinese Medical Sciences. (No. D2019-11-14-1).

Source of funding

This research was supported by the National Natural Science Foundation of China (No. 81820108033) and the National Traditional Chinese Medicine Inheritance and Innovation Team Project (No. ZYYCXTD-C).

Conflict of interest

Jiande D Z Chen is an Editor-in-Chief of the journal, and Wei Wei is the Executive Editor-in-Chief. The article was subject to the journal’s standard procedures, with peer review handled independent of the editor and the affiliated research groups. Xinyong Mao is employee of China Press of Traditional Chinese Medicine Co., Ltd.; Liang Wang, Ling Han, and Ping Wang are employees of China Resources Sanjiu Medical & Pharmaceutical Co., Ltd.

Data availability statement

Data is contained within the article and supplementary material.

REFERENCES

  1. Sperber AD, Bangdiwala SI, Drossman DA, et al. Worldwide Prevalence and Burden of Functional Gastrointestinal Disorders, Results of Rome Foundation Global Study. Gastroenterology. 2021;160(1):99–114.    DOI: 10.1053/j.gastro.2020.04.014    PMID: 32294476
  2. Black CJ, Drossman DA, Talley NJ, Ruddy J, Ford AC. Functional gastrointestinal disorders: advances in understanding and management. Lancet. 2020;396(10263):1664–1674.    DOI: 10.1016/S0140–6736(20)32115–2    PMID: 33049221
  3. Jung HK, Talley NJ. Role of the Duodenum in the Pathogenesis of Functional Dyspepsia: A Paradigm Shift. J Neurogastroenterol Motil. 2018;24(3):345–354.    DOI: 10.5056/jnm18060].    PMID: 29791992
  4. Su Q, Chen SL, Wang HH, et al. A Randomized, Double-Blind, Multicenter, Placebo-Controlled Trial of Qi-Zhi-Wei-Tong Granules on Postprandial Distress Syndrome-Predominant Functional Dyspepsia. Chin Med J (Engl). 2018;131(13):1549–1556.    DOI: 10.4103/0366–6999.235118    PMID: 29941708
  5. Quan Y, Wang ZY, Xiong M, Xiao ZT, Zhang HY. Dissecting traditional Chinese medicines by omics and bioinformatics. Nat Prod Commun. 2014;9(9):1391–1396.    DOI: 10.1177/1934578X1400900942    PMID: 25918819
  6. Zhang RZ, Yu SJ, Bai H, Ning K. TCM-Mesh: The database and analytical system for network pharmacology analysis for TCM preparations. Sci Rep. 2017;7(1):2821.    DOI: 10.1038/s41598–017–03039–7    PMID: 28588237
  7. Ru J, Li P, Wang J, et al. TCMSP: a database of systems pharmacology for drug discovery from herbal medicines. J Cheminform. 2014;6:13.    DOI: 10.1186/1758–2946–6–13    PMID: 24735618
  8. Safran M, Dalah I, Alexander J, et al. GeneCards Version 3: the human gene integrator. Database (Oxford). 2010;2010: baq020.    DOI: 10.1093/database/baq020    PMID: 20689021
  9. Damian Szklarczyk, John H Morris, Helen Cook, et al. The STRING database in 2017: quality-controlled protein-protein association networks, made broadly accessible. Nucleic Acids Res. 2017;45(D1):D362–D368.    DOI: 10.1093/nar/gkw937
  10. Shannon P, Markiel A, Ozier O, et al. Cytoscape: a software environment for integrated models of biomolecular interaction networks. Genome Res. 2003;13(11):2498–2504.    DOI: 10.1101/gr.1239303    PMID: 14597658
  11. Huang da W, Sherman BT, Lempicki RA. Systematic and integrative analysis of large gene lists using DAVID bioinformatics resources. Nat Protoc. 2009;4(1):44–57.    DOI: 10.1038/nprot.2008.211    PMID: 19131956
  12. Ozaki N, Bielefeldt K, Sengupta JN, Gebhart GF. Models of gastric hyperalgesia in the rat. Am J Physiol Gastrointest Liver Physiol. 2002;283(3):G666–676.    DOI: 10.1152/ajpgi.00001.2002
  13. Qin C, Sun Y, Chen JD, Foreman RD. Gastric electrical stimulation modulates neuronal activity in nucleus tractus solitarii in rats. Auton Neurosci. 2005;119(1):1–8.    DOI: 10.1016/j.autneu.2005.01.007    PMID: 15893702
  14. Sun Y, Tan Y, Song G, Chen JD. Effects and mechanisms of gastric electrical stimulation on visceral pain in a rodent model of gastric hyperalgesia secondary to chemically induced mucosal ulceration. Neurogastroenterol Motil. 2014;26(2):176–186.    DOI: 10.1111/nmo.12248    PMID: 24165025
  15. Zhang S, Liu Y, Li S, Ye F, Foreman RD, Chen JDZ. Effects of electroacupuncture on stress-induced gastric dysrhythmia and mechanisms involving autonomic and central nervous systems in functional dyspepsia. Am J Physiol Regul Integr Comp Physiol. 2020;319(1):R106–R113.    DOI: 10.1152/ajpregu.00256.2019
  16. Mao X, Wei W, Chen JDZ, et al. Effects of Qizhi Weitong granules on gastric hypersensitivity and depression and anxiety-like behavior in a rodent model of functional dyspepsia. Gastroenterology. 2020;6:477–478.    DOI: 10.1016/S0016-5085(20)31381-0
  17. Wauters L, Talley NJ, Walker MM, Tack J, Vanuytsel T. Novel concepts in the pathophysiology and treatment of functional dyspepsia. Gut. 2020;69(3):591–600.    DOI: 10.1136/gutjnl-2019–318536    PMID: 31784469
  18. Kindt S, Tertychnyy A, de Hertogh G, Geboes K, Tack J. Intestinal immune activation in presumed post-infectious functional dyspepsia. Neurogastroenterol Motil. 2009;21(8):e832–e856.    DOI: 10.1111/j.1365–2982.2009.01299.x    PMID: 19460107
  19. Runkle EA, Mu D. Tight junction proteins: from barrier to tumorigenesis. Cancer Lett. 2013;337(1):41–48.    DOI: 10.1016/j.canlet.2013.05.038    PMID: 23743355
  20. Tan Y, Guan Y, Sun Y, Zheng C. Correlation of Intestinal Mucosal Healing and Tight Junction Protein Expression in Ulcerative Colitis Patients. Am J Med Sci. 2019;357(3):195–204.    DOI: 10.1016/j.amjms.2018.11.011    PMID: 30638599
  21. Taki M, Oshima T, Li M, et al. Duodenal low-grade inflammation and expression of tight junction proteins in functional dyspepsia. Neurogastroenterol Motil. 2019;31(10):e13576.    DOI: 10.1111/nmo.13576    PMID: 30790378
  22. Chen J, Xuan YH, Luo MX, et al. 2020. Kaempferol alleviates acute alcoholic liver injury in mice by regulating intestinal tight junction proteins and butyrate receptors and transporters. Toxicology. 2020;15,429:152338.    DOI: 10.1016/j.tox.2019.152338    PMID: 31785310
  23. Zhao J, Zhao L, Zhang S, Zhu C. Modified Liu-Jun-Zi decoction alleviates visceral hypersensitivity in functional dyspepsia by regulating EC cell-5HT3r signaling in duodenum. J Ethnopharmacol. 2020;250:112468.    DOI: 10.1016/j.jep.2019.112468    PMID: 31836517
  24. Zhu C, Zhao L, Zhao J, Zhang S. Sini San ameliorates duodenal mucosal barrier injury and lowgrade inflammation via the CRF pathway in a rat model of functional dyspepsia. Int J Mol Med. 2020;45(1):53–60.    DOI: 10.3892/ijmm.2019.4394    PMID: 31746413