TO THE EDITOR

I am writing to report a remarkable case of epithelioid hemangioendothelioma (EHE) with a YAP1-TFE3 mutation, which underwent a successful liver transplant despite the presence of distant metastasis. This case highlights the potential exceptions to the conventional practice of solid organ transplantation in advanced malignancies and underscores the need for further research and collaborative efforts in managing such rare and challenging cases.

EHE is an uncommon neoplasm characterized by slow growth and indolent behavior, often affecting soft tissue sites and visceral organs.[1] While its natural course is generally favorable, it remains a rarity and poses therapeutic dilemmas. Our patient, a 32-year-old female, presented with progressive shortness of breath and abdominal pain in September 2016. Subsequent investigations revealed multiple pulmonary nodules and scattered ill-defined hepatic masses, indicating metastatic disease. A biopsy confirmed the presence of hepatic EHE, specifically of the YAP1-TFE3 subtype.

Treatment commenced with Bevacizumab and low-dose oral cyclophosphamide, yielding positive clinical response and symptom resolution. A period of watchful waiting ensued, during which the patient’s disease remained stable. However, as the hepatic tumor burden progressed, the decision was made to pursue liver transplantation. Notably, the patient underwent a successful orthotopic liver transplant in November 2022. Pathology from the explanted liver revealed the presence of hemangioendothelioma of YAP1-TFE3 type with one positive lymph node. Immunohistochemical analysis (IHC) was positive for TFE3, ERG, Fli-1 and negative for CAMTA1, D2-40 and synaptophysin, and tumor was also present within vascular space in the margin (Figure 1).

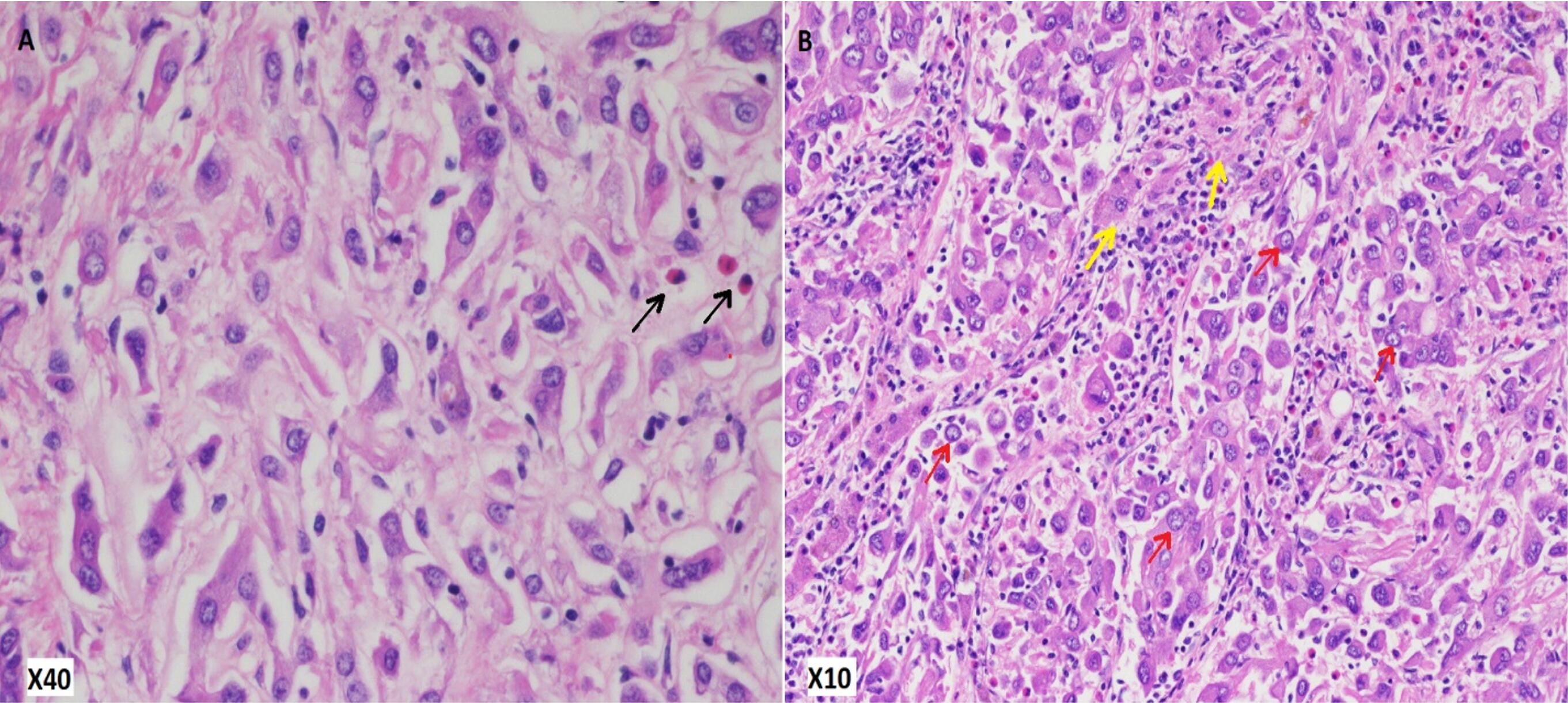
Figure 1

Figure 1. Increased eosinophilia and formation of vasoformative channels which are more typical for YAP1–TFE3, requiring immunohistochemical analysis testing for confirmation. A. Blister Cells (black arrows) are neoplastic cells of endothelial origin; they contain erythrocytes mirroring primitive vascular channel formation. B. Epithelioid hemangioendothelioma showing scattered fibrosis, replacing liver parenchyma (yellow arrows), neoplastic cells are characterized by their large size with abundant pale eosinophilic cytoplasm containing vacuoles (red arrows).

Our case contributes to the limited body of knowledge on the YAP1-TFE3 subtype of EHE and its management. While the WWTR1-CAMTA1 fusion mutation has been more extensively studied, our report sheds light on the indolent nature of YAP1-TFE3 EHE and the potential benefits of surgical intervention, such as liver transplantation, in selected cases. The rarity of such cases underscores the importance of collaborative research initiatives to establish optimal treatment guidelines and improve patient outcomes. Overall, patient did well postoperatively and so far, her scans are stable after more than 6 months use of immunosuppressants.

EHE is a very rare mesenchymal tumor, much less common than angiosarcoma. However, due to its indolent course, its prevalence surpasses that of angiosarcoma.[1] EHE is more commonly seen in young-middle aged women, with association tied to compounds such as oral contraceptive pills, poly vinyl chloride, and thorotrast.[2] EHE can result from two distinct gene fusion mutations; WWTR1–CAMTA1 and YAP1–TFE3, with the latter being extremely rare and relatively a new discovery (Table 1).[1,35] Most of the studies are centered around WWTR1–CAMTA1 variant with scant data around YAP1–TFE3 subtype6, moreover some even suggest for it to be classified as a separate entity owing to its distinct clinical and histopathological characteristics (Figure 1).[5]

Table 1: Comparison of the two epithelioid hemangioendothelioma variants
Tumor characteristics WWTRI-CAMTA1 subtype YAP1-TFE3 subtype
Gender preponderance Female Female
Most common primary site Visceral; mostly liver Soft tissue, axial distribution
Common metastasis Locoregional Distant
Incidence amongst EHE cases Common Rare
Microscopic morphology Epithelioid and dendritic cells, replace normal hepatic tissue, causing localized sclerosis and necrosis. Cytoplasm is more eosinophilic, overall tumor appears more well-developed with vasoformative channels
Immunohistochemical profile Factor VIII, CD31, CD34, D2-40, Pan-cytokeratin, CAMTA1 ERG, CD31, CD34, TFE3
5-year survival 83.4% 88%–89%
EHE: epithelioid hemangioendothelioma.

Our patient was reported to have YAP1–TFE3 gene fusion, only a handful of cases have described this particular entity however we report the first case to our knowledge undergoing successful liver transplantation in the setting of known metastasis with this mutation. EHE being an indolent malignancy, carries a favorable prognosis.[6] Furthermore, it has been shown that surgical outcomes carry a higher survival rate as compared to those of non-surgical approaches.[57] A study focusing only on the YAP1–TFE3 subtype found soft tissue and bone to be the most common primary site of the tumor, with five-year progression-free survival probability approaching 88%.[5] In terms of hepatic disease, treatment strategies are not clearly defined due to its rarity. However, literature overall is in favor of localized resection in small tumors and liver transplantation in cases of extensive hepatic tumor burden.[8] As seen in our case, she had a sluggish course spanning over 6 years before she underwent orthotopic liver transplant. Therefore, we suggest, multicenter research partnerships to expand our knowledge about this rare malignancy to elucidate an optimal treatment guideline.

DECLARATIONS

Author contributions

Awan RU, Nabeel A, Rashid S, Bratton L and Samant H wrote and reviewed the letter.

Informed consent statement

Informed consent was obtained from the patient for publication of this report and any accompanying images.

Conflicts of interest

The authors have no conflicts of interest to declare.

REFERENCES

  1. Antonescu C. Malignant vascular tumors--an update. Mod Pathol. 2014;27 Suppl 1:S30-8.
  2. Woodall CE, Scoggins CR, Lewis AM, McMasters KM, Martin RC. Hepatic malignant epithelioid hemangioendothelioma: a case report and review of the literature. Am Surg. 2008;74:64-8.    DOI: 10.1177/000313480807400115    PMID: 18274433
  3. Lotfalla MM, Folpe AL, Fritchie KJ, Greipp PT, Galliano GG, Halling KC, et al. Hepatic YAP1-TFE3 Rearranged Epithelioid Hemangioendothelioma. Case Rep Gastrointest Med. 2019;2019:7530845.    DOI: 10.1155/2019/7530845    PMID: 31341686
  4. Studer LL, Selby DM. Hepatic Epithelioid Hemangioendothelioma. Arch Pathol Lab Med. 2018;142:263-267.    DOI: 10.5858/arpa.2016-0171-RS    PMID: 29372848
  5. Dermawan JK, Azzato EM, Billings SD, Fritchie KJ, Aubert S, Bahrami A, et al. YAP1-TFE3-fused hemangioendothelioma: a multi-institutional clinicopathologic study of 24 genetically-confirmed cases. Mod Pathol. 2021;34:2211-2221.    DOI: 10.1038/s41379-021-00879-7    PMID: 34381186
  6. Chahrour MA, Khachfe HH, Habib JR, El-Asmar R, Saifi O, Jamali FR. Treatment and Prognosis of Hepatic Epithelioid Hemangioendothelioma: A SEER Database Analysis. World J Surg. 2021;45:2886-2894.    DOI: 10.1007/s00268-021-06165-6    PMID: 33999226
  7. Rosenbaum E, Jadeja B, Xu B, Zhang L, Agaram NP, Travis W, et al. Prognostic stratification of clinical and molecular epithelioid hemangioendothelioma subsets. Mod Pathol. 2020;33:591-602.    DOI: 10.1038/s41379-019-0368-8    PMID: 31537895
  8. Krasnodębski M, Grąt M, Morawski M, Wierzchowski M, Jastrzębski M, Remiszewski P, et al. Hepatic Epithelioid Hemangioendothelioma: A Rare Disease With Favorable Outcomes After Liver Transplantation. Transplant Proc. 2020;52:2447-2449.    DOI: 10.1016/j.transproceed.2020.02.101    PMID: 32217012