ABSTRACT

Appendiceal goblet cell adenocarcinoma (GCA) is an amphicrine tumor composed of goblet-like, and variable numbers of endocrine and Paneth-like cells, typically arranged as tubules resembling intestinal crypts. As a rare cancer, the characteristics of and appropriate treatment strategy for GCA have not been fully elucidated. Here, we describe a case of an appendiceal GCA detected during sigmoidectomy for synchronous sigmoid colon adenocarcinoma and discuss whether appendiceal GCA coexisted incidentally. A 78-year-old woman was referred to our institution due to severe anemia. Colonoscopy and computed tomography revealed circumferential sigmoid colon cancer and a primary or metastasized ovarian tumor. We performed a laparoscopic sigmoidectomy and bilateral adnexectomy. The appendix appeared infiltrative and indurated, and appendectomy was performed. Immunohistochemistry revealed sigmoid colon adenocarcinoma and appendiceal GCA with ovarian metastasis. GCAs should be considered when ovarian tumors are detected with other abdominal malignancies.

Key words: appendiceal neoplasms, colon adenocarcinoma, ovarian tumor, neuroendocrine, sigmoidectomy

INTRODUCTION

Goblet cell adenocarcinoma (GCA) is a relatively rare tumor of primary appendiceal adenocarcinoma with an incidence of 0.01−0.05 per 100,000 persons, accounting for approximately 15% of all appendiceal neoplasms.[1] Since first being reported by Gagne et al. in 1969[2] as a neoplasm with biological behavior intermediate between a well-differentiated neuroendocrine tumor and adenocarcinoma, its histogenesis and cell lineage have been discussed. In 2008, gastroenterological pathologists Tang and Klimstra et al. proposed the term “adenocarcinoma ex-goblet cell carcinoid”,[3] whereas Taggart et al. proposed “mixed goblet cell carcinoid-adenocarcinoma”.[4] The term had confused for a certain period of time and are no longer acceptable diagnostic terms for this tumor. In the 4th edition of the World Health Organization (WHO) classification of digestive system tumors, appendiceal goblet cell carcinoma (GCC) was categorized as a neuroendocrine neoplasm.[5] Subsequently, GCC was renamed GCA, distinct from neuroendocrine tumors and other appendiceal tumors, in the 5th edition of the WHO classification.[6] GCA diagnosis requires the presence of a low-grade component characterized by goblet-like mucinous cells and fewer intermixed endocrine and Paneth-like cells arranged in a tubular growth pattern.[6,7] The National Comprehensive Cancer Network guidelines recommend managing appendiceal adenocarcinoma with the same systemic therapy as colorectal cancer.[8] However, a treatment strategy for appendiceal GCA has not yet been established because of its rarity. In this report, we describe a case of an appendiceal GCA detected during sigmoidectomy for synchronous sigmoid colon adenocarcinoma and discuss whether appendiceal GCA development was incidental.

CASE REPORT

Chief Complaints

A 78-year-old Japanese woman who was unemployed, was referred to our institution for further investigation of severe anemia.

History of present illness

Anemia of the patient was diagnosed one year previously at her primary care clinic. She presented with severe anemia with a hemoglobin level of 5.9 g/dL at her first visit to our institution. She did not have any symptoms.

History of past illness

Her medical history included well-controlled diabetes mellitus, hypertension, and chronic renal failure. The patient had a mild chronic renal disorder with a serum creatinine level of 1.35 mg/dL, probably due to long-standing diabetes with a serum level of hemoglobin A1c of 6.5% and hypertension. She was treated with 0.6 mg of voglibose, 1,000 mg of metformin, 50 mg of vildagliptin, and 10 mg of nifedipine by mouth.

Personal and family history

The patient had no family history of malignancy.

Physical examination

No specific physical findings were observed. The patient was 153 cm tall, weighing 42 kg. Her body mass index was 17.2 kg/m2. The vital signs were as follows; blood temperature, 36.5℃; blood pressure, 123/79 mmHg; heart rate, 89 beat/min; respiratory rate, 20 breaths/min.

Procedural and surgical findings

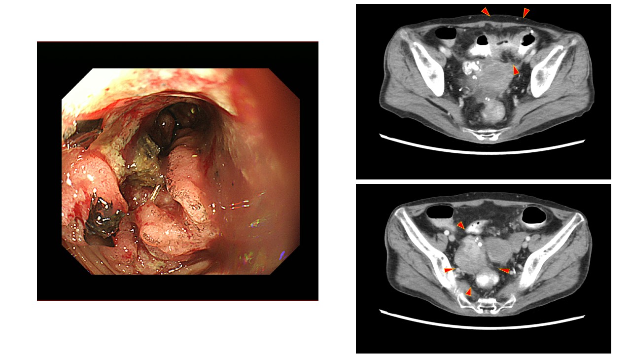
Colonoscopy revealed a circumferential ulcerative mass. The biopsied specimen was moderately differentiated adenocarcinoma. Computed tomography showed a wall-thickening of the sigmoid colon and an ovarian mass 6 cm in diameter (Figure 1). We were unable to determine if the ovarian mass was primary or metastatic pre-operatively. A laparoscopic sigmoidectomy and bilateral adnexectomy were performed. Intraoperatively, we found an infiltrative and indurated appendix (Figure 2), and an enlarged right ovary, and some white nodules in the pouch of Douglas (Figure 3), which were considered to be ovarian and appendiceal metastases and derived from sigmoid colon cancer. Therefore, appendectomy was also performed during the scheduled procedure. Postoperative histopathology revealed sigmoid colon adenocarcinoma with TNM classification of pT3N1aM0 and appendiceal GCA with metastasis to the ovary. Peritoneal dissemination was not confirmed histopathologically; however, we judged it was derived from appendiceal GCA according to its characteristic proclivities by manifestations of gynecological tract metastases and peritoneal spread. The resected specimen of the sigmoid colon was composed of moderately differentiated adenocarcinoma diffusely positive for cytokeratin (CK20) and negative for CK7, chromogranin, and synaptophysin (Figure 4).

Figure 1

Figure 1. Colonoscopy showed an ulcerative tumor in the sigmoid colon (left). Computed tomography revealed wall thickening in the sigmoid colon (right, upper) and an irregularly shaped mass in the right ovary (right, lower).

Figure 2

Figure 2. Intraoperatively, the appendix was infiltrative and indurated, similar to appendicitis.

Figure 3

Figure 3. A multi-nodular mass was identified in the right ovary (top). White nodules in the pouch of Douglas were also identified (bottom).

Figure 4

Figure 4. Sigmoid colon cancer was composed of moderately differentiated adenocarcinoma. Immunohistochemically, cytokeratin 20 (CK20) was strongly positive in a typical pattern.

Laboratory examination

Laboratory testing showed severe anemia with a hemoglobin level of 5.9 g/dL (normal range [NR]: 11.5−16.0 g/dL), and her hematocrit level was 21.2% (NR: 35.0%−48.0%). Her carcinoembryonic antigen level increased to 10.0 ng/mL (NR: 0−5 ng/mL). Serum carbohydrate antigen (CA19-9) was within the normal range (14.3 U/mL [NR: 0−37.0 U/mL]).

Final diagnosis

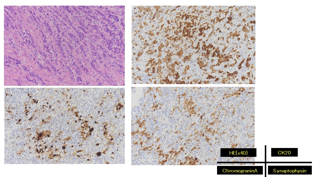
The infiltration of the appendix and right ovary with GCA with or without ductal formation, and sigmoid colon tissue being diffusely positive for CK7, CK20, chromogranin A and synaptophysin, lead to a diagnosis of metastasized ovarian carcinoma caused by appendiceal GCA (Figure 5 and Figure 6). As for diagnostic criteria, appendiceal GCA are classified into high-grade GCA demonstrating a greater degree of architectural and cytological atypia. In five subtypes of high-grade GCA, which Bell et al. classified,[7] the present case meets the criteria of signet sing-like/goblet-like cells diffusely infiltrating predominantly as single cells or abortive bules. Based on the three-tiered grading system for GCA[6], the proportion of tubular or clustered growth (low-grade pattern) are less than 50%, indicating grade 3 high-grade GCA.

Figure 5

Figure 5. The appendix was composed of goblet cell adenocarcinoma with a cribriform pattern. Immunohistochemically, CK20, chromogranin A, and synaptophysin were all positive.

Figure 6

Figure 6. The right ovary was composed of goblet cell adenocarcinoma or signet ring-like cells. Similar to that in the appendix, CK20, chromogranin A, and synaptophysin were all positive, suggesting that appendiceal goblet cell adenocarcinoma metastasized to the ovary.

Treatment

We postoperatively proposed additional ileocecal resection or right hemicolectomy with lymph node dissection to achieve complete curability and hyperthermic intraperitoneal chemotherapy (HIPEC); however, the patient felt overstressed and refused further surgery as CT showed no nodal metastasis two months after surgery.

Outcome and follow-up

The patient was started on combined oral 2,000 mg/m2 capecitabine (2,400 mg) on day 1−14 and 130 mg/m2 intravenous oxaliplatin (150 mg) on day 1 (CAPOX, 3q) as postoperative adjuvant chemotherapy. We planned eight courses of CAPOX. However, chemotherapy-induced asymptomatic thrombocytopenia (10,000/mm3) occurred on day 1 of the third course. She required platelet transfusion. Therefore, she continued only capecitabine excluding oxaliplatin from the second to the eighth course. At 16 months postoperatively, follow-up positron emission tomography CT revealed no evidence of recurrence or metastasis. The patient is alive with good quality of life.

DISCUSSION

A preoperative diagnosis of appendiceal GCA is difficult. We believe this is because appendiceal GCA has not been widely recognized and often occurs asymptomatically. GCA most commonly occurs in the appendix and is rarely found elsewhere. The typical symptoms are acute appendicitis or nonspecific abdominal pain, followed by an abdominal mass resulting from metastasis to the ovary; however, incidental cases of GCA diagnosed after urgent appendectomy are not uncommon.[6,7] Appendiceal GCA is characterized by tumor cells with a goblet cell-like appearance that contain mucin and proliferate beneath the mucosal layer. Immunohistochemistry typically shows the expression of chromogranin A and synaptophysin. The malignancy of appendiceal GCA falls somewhere between carcinoid tumors and adenocarcinomas in terms of severity.[9] In the present case, appendiceal GCA was classified into high-grade appendiceal GCA with grade 3 according to WHO grading system.[6] Concerning as prognosis, Bell et al. summarized that 50-70% of high grade appendiceal GCA are stage IV. Peritoneal spread is the most common route of metastasis in GCA, and peritoneal dissemination is also the most common cause of disease-specific death. As a result, 5-year overall survival is reported to be 20%−30% in grade 3 high-grade GCA, which is far lower than in grade 1 (80%) or grade 2 (50%).[7] As described previously, the present case fits into a typical grade 3 high-grade GCA. Diagnosis is often confirmed by appendectomy in patients presenting with symptoms of acute appendicitis for low-grade GCA.[10] As shown in the present case, patients with high-grade 2 or 3 GCA present with acute appendicitis less frequently, but often with symptoms related to metastases including abdominal pain, fullness, and bowel obstruction.[3,4] Therefore, additional treatment should be recommended depending on tumor grades. Right hemicolectomy should be considered for all grades, and systemic chemotherapy is optional in low-grade, and preferred in grade 2 or grade 3 high-grade GCA[7]. Though the patient refused further treatment in the present case, right hemicolectomy and systemic therapy including HIPEC should be recommended as additional treatments for high-grade 3 GCA.

The present case was incidental but differed regarding a comorbid synchronous sigmoid colon adenocarcinoma that was considered a causative lesion for severe anemia. Ayub et al. emphasized that the rate of subsequent malignancy at any site in patients with appendiceal cancer was significantly elevated by 20% compared with that in the standard population (Standard Incidence Ratio 1.2; 95% confidence interval: 1.08−1.33, P < 0.05). Notably, they reported that GCA has the most significant risk of additional cancer in appendiceal neoplasms than other histological types such as malignant carcinoid, mucinous, and signet ring cell carcinomas. Furthermore, they reported that only the digestive system, particularly the small intestine and colon/rectum, had a higher potential for secondary malignancy.[11] We believe gastroenterologists may be unaware of this information. This hypothesis can be explained by the present case, where conventional colon adenocarcinoma and GCA did not occur incidentally. Nevertheless, only a single case of synchronous cecum adenocarcinoma and appendiceal GCA has been reported by Vincenti et al.[12] They hypothesized appendiceal GCA contributed to the adjacent cecum adenocarcinoma by a “paracrine effect”. It is hypothesized that neuroendocrine tumors might produce peptides that act as growth factors in the carcinogenesis pathway. Intestinal cells overexpress receptors for peptides that promote tumor growth.[13] Whether this theory applies to the present case is uncertain. However, it has been a longstanding concern that additional cancers accompany neuroendocrine neoplasms. In a review of over 5,000 cases of adult gastrointestinal carcinoids, Habal et al. revealed that 13%−32% of appendiceal carcinoid cases had additional cancers.[14] Ayub et al. described colonic adenocarcinoma as the most frequent secondary malignancy in appendiceal GCA, as in our case. Therefore, we believe that sigmoid colon adenocarcinoma did not occur incidentally, but appendiceal GCA might have led to conventional colon adenocarcinoma. Collectively, additional studies concerning molecular profiles are needed to understand the biology of GCA and true cell lineage, which may lead to a new strategy for the treatment of GCA.

CONCLUSION

Thus far, appendiceal GCA-specific treatment has not been established. Therefore, we provided the standard treatment for the general types of colorectal carcinoma by surgery followed by mild adjuvant chemotherapy. No recurrence or metastasis has been observed for 16 months, and the patient has had good life quality since the surgical procedure outlined herein.

In conclusion, as preoperative diagnosis of appendiceal GCA is difficult, neuroendocrine tumors and appendiceal GCA should be considered additional comorbid malignancies if a patient is diagnosed with colorectal adenocarcinoma, especially with peritoneal metastasis to the ovary. Currently, there are no guidelines for the specific treatment of GCA. Therefore, the therapeutic strategy is to follow the guidelines for colorectal cancer. Prospective studies with longer follow-up are required for establishing GCA-specific treatment strategies and understanding its biological behaviors.

DECLARATIONS

Acknowledgments

We would like to thank Editage (www.editage.com) for English language editing.

Author contributions

Mayuko Kinoshita and Makoto Furihata wrote this manuscript. Nobuo Hirayama, Kentaro Chochi, and Hiroe Toyoda reviewed related literature. Junji Kita, Kazuya Kinoshita, Keita Omori, and Tadashi Furihata contributed to reviewing the manuscript. Keiji Sano and Hiroshi Matsubara comprehensively supervised the manuscript.

Informed consent statement

Informed consent was obtained from the patient for publication of this report and any accompanying images.

Conflicts of interest

The authors have no conflicts of interest to declare.

REFERENCES

  1. Mocellin S, Nitti D. Gastrointestinal carcinoid: epidemiological and survival evidence from a large population-based study (n = 25 531). Ann Oncol. 2013;24:3040–3044.    DOI: 10.1093/annonc/mdt377    PMID: 17265724
  2. Gagné F, Fortin P, Dufour V, Delage C. [Tumors of the appendix associating histologic features of carcinoid and adenocarcinoma]. Ann Anat Pathol. 1969;14(4):393–406.    PMID: 5378353
  3. Tang LH, Shia J, Soslow RA, Dhall D, Wong WD, O'Reilly E, Qin J, Paty P, Weiser MR, Guillem J, Temple L, Sobin LH, Klimstra DS. Pathologic classification and clinical behavior of the spectrum of goblet cell carcinoid tumors of the appendix. Am J Surg Pathol. 2008;32(10):1429–43.    DOI: 10.1097/PAS.0b013e31817f1816    PMID: 18685490
  4. Taggart MW, Abraham SC, Overman MJ, Mansfield PF, Rashid A. Goblet cell carcinoid tumor, mixed goblet cell carcinoid-adenocarcinoma, and adenocarcinoma of the appendix: comparison of clinicopathologic features and prognosis. Arch Pathol Lab Med. 2015;139(6):782–90.    DOI: 10.5858/arpa.2013-0047-OA    PMID: 26030247
  5. Bosman FT, Carnerio F, Hruban RH, Theise ND. Tumours of the appendix. WHO Classification of Tumours of the Digestive system, WHO Classification of Tumours, 4th ed. vol. 3, WHO; 2010. p. 120–129.
  6. Nagtegaal ID, Klimstra DS, Washington MK, Carnerio F. Tumours of the appendix. WHO Classification of Tumours, Digestive system tumours: World Health Organization. 5th ed. vol. 1, 2019. p. 136–155.
  7. Bell PD, Pai RK. Goblet cell adenocarcinoma of the appendix: an update and practical approach to diagnosis and grading. Hum Pathol. 2023;132:183–196.    DOI: 10.1016/j.humpath.2022.06.002    PMID: 35691370
  8. National Comprehensive Cancer Network. NCCN clinical practice guidelines in oncology, colon cancer, version 1. 2022.
  9. Pham TH, Wolff B, Abraham SC, Drelichman E. Surgical and chemotherapy treatment outcomes of goblet cell carcinoid: a tertiary cancer center experience. Ann Surg Oncol. 2006;3:370–6.    DOI: 10.1245/ASO.2006.02.016    PMID: 16485156
  10. Lee LH, McConnell YJ, Tsang E, Zerhouni S, Speers C, Kennecke H, Schaeffer DF. Simplified 2-tier histologic grading system accurately predicts outcomes in goblet cell carcinoid of the appendix. Hum Pathol. 2015;46(12):1881–9.    DOI: 10.1016/j.humpath.2015.08.005    PMID: 26433702
  11. Ayub A, Parkash O, Santana-Rodriguez N, Raad W, Bhora FY. Elevated risk of subsequent malignancies in patients with appendiceal cancer: A population-based analysis. Indian J Gastroenterol. 2016;35(5):354–360.    DOI: 10.1007/s12664-016-0687-3    PMID: 27595862
  12. Vincenti L, Andriola V, Cazzato G, Colagrande A, Fiore F. Goblet cell carcinoma of the appendix with synchronous adenocarcinoma of the cecum: distinct or related entities. Diseases. 2022;10(4):77.    DOI: 10.3390/diseases10040077
  13. Shenoy S. Gastrointestinal carcinoids and colorectal cancers: is it a paracrine effect. Tumori. 2013;99(4):e141–143.    DOI: 10.1177/030089161309900420    PMID: 24326848
  14. Habal N, Sims C, Bilchik AJ. Gastrointestinal carcinoid tumors and second primary malignancies. J Surg Oncol. 2000;75(4):310–316.    DOI: 10.1002/1096-9098(200012)75:4<306::aid-jso14>3.0.co;2-3    PMID: 11135275