ABSTRACT

Intussusception is a common gastrointestinal emergency in children. Pneumatic or hydrostatic reduction is the preferred non-operative method, with a high success rate. Surgical intervention is required in cases of failed enema reduction, however. Endoscopic management has been extensively investigated as a treatment method for various digestive diseases, but reports of endoscopic reduction in intussusception are scant. Two children with recurrent abdominal pain were diagnosed with ileocecal intussusception, and CT scan suggests malignancy as a suspected causative factor. Since pneumatic reduction had been repeated up to three times without success, we performed a reduction using endoscopy. Both patients were treated successfully and diagnosed with lymphoma by endoscopic biopsy. Lymphoma resolved after chemotherapy, and intussusception did not recur during the follow-up. Conclusion: Here we report the endoscopic management of ileocecal intussusception, which conventional reduction failed to treat.

Key words: intussusception, reduction failure, lymphoma, endoscopy, colonoscopy

INTRODUCTION

Intussusception is the most common cause of bowel obstruction in children, usually occurring in those under three years of age.[1] Prompt diagnosis and treatment are essential as delayed treatment could lead to ischemia and perforation of the bowel. Generally, a non-surgical reduction is performed with pneumatic or hydrostatic media under fluoroscopic or ultrasound guidance with a success rate of more than 80%. Surgical intervention is considered when the non-surgical methods fail or the patient is hemodynamically unstable.[2]

Currently, the most commonly used reduction methods are pneumatic or hydrostatic reduction, which both have high success and low complication rates. However, they involve radiation exposure or a handful of sonographers, respectively.[3] Endoscopy is a non-surgical method for various gastrointestinal tract disorders, including sigmoid volvulus, foreign body removal, bleeding, or stricture. The indication of therapeutic endoscopy has expanded with the advancements in endoscopic skills. However, no study has examined endoscopy in treating intussusception. We reported two cases of teenage patients with ileocecal intussusception caused by intestinal lymphoma treated endoscopically, as the conventional reduction method proved unsuccessful. Informed consent was obtained for publication.

CASE

Chief complaints

Cases 1 and 2: Both cases reported abdominal pain.

History of present illness

Case 1: A 10-year-old boy visited the emergency room for five days with progressive abdominal pain. He showed decreased bowel frequency and nausea, but laxatives prescribed by his primary care physician did not improve his symptoms.

Case 2: An 11-year-old boy was referred to the emergency room for abdominal pain worsening over the previous two days.

History of past illness

Cases 1 and 2: Both patients 1 and 2 reported no previous medical history.

Personal and family history

Case 1: The patient reported no previous medical or family history.

Case 2: The patient had a family history of colon cancer in his grandmother.

Physical examination

Case 1: The patient had no abdominal distension, tenderness, rebound tenderness, or palpable masses. He showed a high pulse rate (110/min), but other vital signs were stable.

Case 2: The patient had no abnormal physical signs and had stable vital signs.

Laboratory examinations

Case 1: Routine laboratory tests, including CBC, liver, pancreatic, renal function tests, and CRP, were in the normal range.

Case 2: Routine laboratory tests were normal, but the serum lactate dehydrogenase (LDH) was 315 U/L.

Imaging examinations

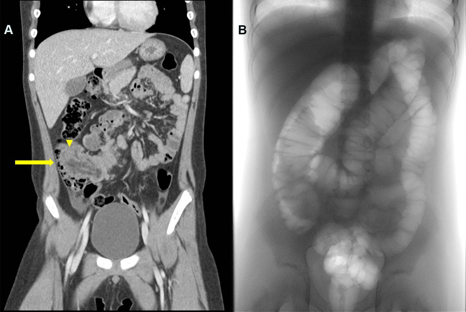
Case 1: Abdominal ultrasound and a CT scan revealed ileocecal intussusception with a suspicious lead point (Figure 1A). We then made three failed attempts at a pneumatic reduction with a maximum pressure of 130 mmHg, (Figure 1B). We performed a colonoscopy with a surgeon on standby. We noted a long intussuscepiens blocking the lumen in the hepatic flexure (Figure 2).

Figure 1

Figure 1. Initial imaging studies of Case 1. A. An abdominal CT scan revealed ileocolic intussusception (indicated by the arrow) with a pathological lead point (indicated by the arrowhead). B. Fluoroscopy showed persistent intussusception in the ascending colon after repeated pneumatic reductions.

Figure 2

Figure 2. Colonoscopy findings of Case 1. A. Endoscopic examination identified the intussuscipiens in the ascending colon. B and C. Endoscopic reduction of intussusception. The lesion was successfully reduced to the ileocecal valve through the endoscopic maneuver using biopsy forceps. D. Pathological lead point. An ulcerative tumorous lesion was discovered in the distal ileum, and diffuse large B cell lymphoma diagnosis was confirmed via biopsy.

Case 2: A CT scan revealed ileocolic intussusception with abnormal mural thickening of the terminal ileum (Figure 3A). The lesion did not improve after three pneumatic reductions (Figure 3B). During the colonoscopy, we noted the intussuscipiens in the ascending colon (Figure 4).

Figure 3

Figure 3. Initial imaging studies of Case 2. A. An abdominal CT scan demonstrated an obstructive ileus with an ileocolic intussusception (indicated by the arrow) and an asymmetrically enhanced bowel wall thickening (indicated by the arrowhead). B. Fluoroscopy revealed incomplete reduction after three attempts at a pneumatic reduction.

Figure 4

Figure 4. Colonoscopy findings of Case 2. A. Endoscopic examination revealed an obstructive lesion in the ascending colon. B and C. Endoscopic reduction of the intussusception. The intussuscipiens was repositioned to the small bowel by endoscopic maneuver. D. Pathological lead point. The distal ileum had diffuse ulcerative lesions, diagnosed as Burkitt lymphoma on biopsy.

Final diagnosis

The final diagnosis was intussusception.

Treatment

We mechanically reduced the intussusception using the distal end of the endoscope and accessory devices and collected a biopsy of the lead point (Figure 2 and Figure 4).

Outcome and follow-up

Case 1: The intussusception recurred after four days, and we performed an endoscopic reduction after a trial pneumatic reduction, which was also unsuccessful. We made a diagnosis of diffuse large B cell lymphoma after biopsy and started chemotherapy. There was no recurrence of lymphoma and intussusception during 12 months of follow-up.

Case 2: The patient was diagnosed with Burkitt lymphoma based on histological findings and began chemotherapy. He was in remission during one year of follow-up, with no intussusception recurrence.

DISCUSSION

To the authors’ knowledge, this is the first case report in which surgery could be avoided by endoscopic treatment of a reduction-failed intussusception caused by intestinal lymphoma. Pathological lead points were more common in adolescents and adults and were found in 25% of reduction-failed intussusception in children. Gastrointestinal lymphoma is a rare malignancy that can cause intestinal complications, including intussusception, obstruction, or fistula. The common reason for surgery was for tumor-related complications, so patients could avoid the surgery if non-surgical methods could handle these complications.[4]

Non-operative reduction is the treatment of choice for children with intussusception. There are various radiologic reduction techniques, and the most commonly used method is a fluoroscopy-guided pneumatic enema. This easy, fast, and clean method has a high reduction rate (73%–95%). However, it requires radiation exposure, which limits prolonged or repeated procedures. Ultrasound-guided hydrostatic enema avoids radiation and provides good lesion visualization, but requires an on-call sonographer familiar with the technique. The procedure choice depends on the physician and medical resources.[3]

Reduction, deep sedation, general anesthesia, or external manual reduction are sometimes repeatedly attempted if the general reduction method fails.[58] Surgical intervention is necessary when the conservative trial is unsuccessful or patients have signs of bowel necrosis. When malignancy is suspected, bowel resection is preferred to avoid complications, obtain enough tissue samples, and reduce the tumor burden.[9] However, bowel resection can be related to many problems, such as a prolonged hospital stay, bowel structure, anastomosis leak, chronic diarrhea, or vitamin B12 malabsorption.[10]

We attempted pneumatic reductions three times without success. We first considered surgical intervention. However, the patient was still hemodynamically stable. Then we decided on the endoscopic reduction before the surgical intervention with preparation for emergency surgery. The endoscopy was successful, and a biopsy obtained during the examination allowed prompt diagnosis and subsequent chemotherapy. Lymphoma is a chemo-sensitive malignancy, so the lead point disappears after medical treatment, unlike other pathologic lead points that usually persist and require surgical removal.

Recurrent intussusception was noted in both children. In the first case, repeated endoscopic reduction was required since the pneumatic reduction was unsuccessful. The pneumatic reduction improved symptoms in the second case. As endoscopy is a more complicated procedure than radiologic reduction, we performed the conventional reduction method before the endoscopy.

Endoscopy is applied as a variety of therapeutic interventions in children and adults. Clinical studies have examined hemostasis, structure dilatation, stenting, foreign body removal, and decompression of the sigmoid volvulus. However, the availability and efficiency of endoscopic reduction for intussusception have not yet been fully investigated. This may be because existing treatments have a high success rate and specialists and procedure preparation are required for endoscopic treatment.

Several reports of endoscopic reduction of intussusception in adults and children have been reported. Adult intussusceptions related to lead points (Henoch-Schonlein purpura, polyps, or malignancy) have been successfully resolved by colonoscopy, and an 8-month child with trans-anal prolapsed intussusception was recently treated using colonoscopy.[1114]

Tafner et al.[15] reported a small retrospective study in which 30 children underwent colonoscopy as the primary treatment of intussusception, with an overall success rate of 66.7% without serious complications. Two of the patients who had a failed endoscopic reduction had Waugh’s syndrome and appendiceal intussusception.

We did not choose endoscopy as the primary treatment option as it is a more expensive and complex procedure than the standard method. As accurate indications or algorithms are lacking, we considered it as a salvage option for patients in which the conventional method was ineffective. This was a challenging but successful approach.

Currently, there are few studies of endoscopic reduction for intussusception in children. More research is needed to evaluate the efficacy, safety, cost-effectiveness, or procedural techniques (including sedation, bowel preparation, reduction techniques, maximum procedural time or number of repeat trials, development of accessory devices to support the procedure, use of CO2 gas, etc.). Despite the limitations, we should develop a treatment strategy, including endoscopy, to avoid unnecessary surgery. Endoscopists must become proficient in the procedure to achieve satisfactory outcomes. We hope that endoscopy becomes a valuable option for reducing the need for surgery in patients who do not respond to conventional reduction methods.

CONCLUSION

The authors reported cases where surgical resection could be avoided through endoscopic reduction in children with refractory intussusception caused by intestinal lymphoma. This procedure is an effective treatment option for patients not responding to radiologic reduction. A prospective study is warranted on endoscopy’s role in this field.

DECLARATIONS

Author contributions

Dr. Lee JY conceptualized and designed the report, and critically reviewed and revised the manuscript; Dr. Kim SH gathered clinical data and drafted the initial manuscript, and reviewed and revised the original manuscript; Dr. Kang SH gathered clinical data and contributed to the discussion, and reviewed and revised the original manuscript. All authors approved the final manuscript as submitted and agree to be accountable for all aspects of the work.

Informed consent statement

Written informed consent was obtained from both patients and their parents.

Conflicts of interest

There is no conflict of interest among the authors.

Data sharing statement

No additional data is available.

REFERENCES

  1. Lee EH, Yang HR. Nationwide Population-Based Epidemiologic Study on Childhood Intussusception in South Korea: Emphasis on Treatment and Outcomes. Pediatr Gastroenterol Hepatol Nutr. Jul 2020;23(4):329-345.    DOI: 10.5223/pghn.2020.23.4.329    PMID: 32704494
  2. Kelley-Quon LI, Arthur LG, Williams RF, et al. Management of intussusception in children: A systematic review. J Pediatr Surg. Mar 2021;56(3):587-596.    DOI: 10.1016/j.jpedsurg.2020.09.055    PMID: 33158508
  3. Hwang J, Yoon HM, Kim PH, Jung AY, Lee JS, Cho YA. Current diagnosis and image-guided reduction for intussusception in children. Clin Exp Pediatr. Jan 2023;66(1):12-21.    DOI: 10.3345/cep.2021.01816    PMID: 35798026
  4. Ntoulia A, Tharakan SJ, Reid JR, Mahboubi S. Failed Intussusception Reduction in Children: Correlation Between Radiologic, Surgical, and Pathologic Findings. AJR Am J Roentgenol. Aug 2016;207(2):424-33.    DOI: 10.2214/AJR.15.15659    PMID: 27224637
  5. Navarro OM, Daneman A, Chae A. Intussusception: the use of delayed, repeated reduction attempts and the management of intussusceptions due to pathologic lead points in pediatric patients. AJR Am J Roentgenol. May 2004;182(5):1169-76.    DOI: 10.2214/ajr.182.5.1821169    PMID: 15100113
  6. Ilivitzki A, Shtark LG, Arish K, Engel A. Deep sedation during pneumatic reduction of intussusception. Pediatr Radiol. May 2012;42(5):562-5.    DOI: 10.1007/s00247-011-2311-0    PMID: 22526283
  7. Purenne E, Franchi-Abella S, Branchereau S, Baujard C, Benhamou D, Mazoit JX. General anesthesia for intussusception reduction by enema. Paediatr Anaesth. Dec 2012;22(12):1211-5.    DOI: 10.1111/pan.12035    PMID: 23020602
  8. Vazquez JL, Ortiz M, Doniz MC, Montero M, Del Campo VM. External manual reduction of paediatric idiopathic ileocolic intussusception with US assistance: a new, standardised, effective and safe manoeuvre. Pediatr Radiol. Oct 2012;42(10):1197-204.    DOI: 10.1007/s00247-012-2424-0    PMID: 22875204
  9. Bussell HR, Kroiss S, Tharakan SJ, Meuli M, Moehrlen U. Intussusception in children: lessons learned from intestinal lymphoma as a rare lead-point. Pediatr Surg Int. Aug 2019;35(8):879-885.    DOI: 10.1007/s00383-019-04488-z    PMID: 31139892
  10. Duerksen DR, Fallows G, Bernstein CN. Vitamin B12 malabsorption in patients with limited ileal resection. Nutrition. 2006 Nov-Dec;22(11-12):1210-3.    DOI: 10.1016/j.nut.2006.08.017    PMID: 17095407
  11. Yamada M, Yamada K, Fujinami H. Colonoscopic reduction of colo-colic intussusception in an adult with immunoglobulin A vasculitis (Henoch-Schonlein purpura). Dig Endosc. Jan 2016;28(1):101.    DOI: 10.1111/den.12554    PMID: 26418752
  12. Ishikawa E, Kudo M, Minami Y, Ueshima K, Kitai S, Ueda K. Cecal intussusception in an adult with Cronkhite-Canada syndrome relieved by colonoscopy. Intern Med. 2010;49(12):1123–6.    DOI: 10.2169/internalmedicine.49.2813    PMID: 20558928
  13. Kasuga K, Sakamoto T, Takamaru H, et al. Endoscopic reduction of colocolonic intussusception due to metastatic malignant melanoma: A case report. World J Clin Cases. Nov 26 2020;8(22):5816-5820.    DOI: 10.12998/wjcc.v8.i22.5816    PMID: 33344579
  14. Shahramian I, Parooie F, Mirabbasi SA, Salarzaei M. Colonoscopic reduction of a transanal prolapsed ileocolic intussusception. Wien Med Wochenschr. Oct 2022;172(13-14):322-326. Koloskopische Reposition einer transanal prolabierten ileokolischen Invagination.    DOI: 10.1007/s10354-022-00915-4    PMID: 35166980
  15. Tafner E, Tafner P, Mittledorf C, et al. Potential of colonoscopy as a treatment for intussusception in children. Endosc Int Open. Nov 2017;5(11):E1116-E1118.    DOI: 10.1055/s-0043-117950    PMID: 29124120