ABSTRACT

Undifferentiated (embryonal) sarcoma of the liver (UESL) is a rare tumor arising from mesenchymal cells. This tumor, which is generally encountered in children and adolescents, is rarely seen in elderly patients. Early diagnosis and treatment have a positive effect on survival. Here, a 77-year-old patient with UESL had giant masses in his liver and spleen, underwent liver resection and splenectomy, refused adjuvant chemotherapy, and started chemotherapy 18 months after local recurrence and distant metastasis were detected, is presented in the light of literature data. Our patient is the first case in the literature diagnosed with synchronous UESL in the liver and spleen.

Key words: liver, embryonal sarcoma, undifferentiated tumors, elderly

INTRODUCTION

Undifferentiated embryonal sarcoma of the liver (UESL) has been defined as an aggressive tumor with a generally poor prognosis, originating from the mesenchymal cells of the liver, and can be seen in benign or malignant forms.[1] Its incidence is 0.2% among all liver tumors, and most of them are detected incidentally by ultrasonography and computed tomography. It has shown that modern multimodal therapy and supportive care improve patients’ survival with undifferentiated embryonal sarcoma.[13]

Here, a case of UESL originating from the liver and showing spleen involvement in a 77-year-old patient who has reached large dimensions is presented in the light of literature data.

CASE

A 77-year-old male patient was referred to the surgical outpatient clinic with complaints of increasing fatigue, weakness, and abdominal pain for the last three months. On ultrasound and abdominal computerized tomography (CT), malignant masses were detected in the liver and spleen. No pathological data were found in the laboratory tests of our patient, whose tumor markers were normal. Heterogeneous hypodense lesions were detected in the liver segment 5 to 8 and in the upper pole of the spleen by whole-body positron emission tomography (PET)-CT performed on the patient. It has been reported that lesions with pathologically increased F18-FDG uptake have malignant characteristics. The patient underwent central hepatectomy and splenectomy (Figure 1).

Figure 1

Figure 1. This figure shows synchronous lesions in the liver and spleen on abdominal CT (A) and PET/CT (B).

In the examination of liver specimens (415 g) and spleen specimens (782 g), it was determined that the tumoral tissues in the liver and spleen were similar to each other and were well-circumscribed and contained large areas of necrosis. The surgical specimen consisted of a lobulated yellow-reddish neoplasm sized 13.8 × 12.5 × 2 cm in the spleen and 7.8 × 6.8 × 8.4 cm in the liver with cystic, hemorrhagic, and necrotic areas on the cut surface. A fibrous discontinuous pseudocapsule separated the tumor from the adjacent compressed liver and spleen parenchyma (Figure 2).

Figure 2

Figure 2. This figure shows that the cross-sectional cut surface of the specimens consisted of a lobulated yellow-reddish neoplasm with cystic, hemorrhagic, and necrotic areas in the spleen surface and solid and gelatinous areas in the liver.

Microscopically, the tumor was variable in appearance. Some areas appeared to be composed of a relatively uniform sheet of undifferentiated cells, while other areas demonstrated wildly pleomorphic anaplastic cells, some with multinucleation. Characteristically, scattered tumor cells showed multiple, different-sized, eosinophilic, PAS-positive globules in the cytoplasm or the extracellular stroma. Prominent intratumoral necrosis was seen, with moderate mitotic activity (Figure 3).

Figure 3

Figure 3. Microscopic view of tumors. A. Microscopic view of the densely cellular area comprised of pleomorphic round and spindled cells (hematoxylin and eosin, ×200). B. Cellular region of the tumor with anaplastic tumor cells and variably sized eosinophilic globules. C. Alpha1-antitrypsin immunohistochemistry diffusely staining tumor cells and the globules (×200). D. Immunohistochemistry shows strong diffuse positivity for vimentin.

Tumor cells stained positively for vimentin alpha1-antitrypsin, CD68, and CD10, while negative for myogenin, CD34, desmin, CD117(C-kit), hepatocyte paraffin 1 (Hep-par1), anaplastic lymphoma kinase 1 (ALK1), and S-100, cytokeratin AE1/AE3, melan A, B-cell lymphoma 2 (BCL2), Glypican 3 (GPC3). The morphological and immunohistochemical profile was consistent with undifferentiated embryonal sarcoma.

In the HPB council, the case was evaluated as an undifferentiated (embryonal) sarcoma originating from the liver and metastasizing to the spleen, and chemotherapy was decided. According to our literature review, it is the first case in which UESL was detected in the form of a synchronous lesion in the liver and spleen in an elderly patient. The patient’s postoperative period was uneventful, but he refused adjuvant chemotherapy.Follow up controls of the patient were performed with USG and abdominal CT at 3-6 month intervals. Malignant cells were observed in the bone marrow examination performed to investigate the etiology of anemia 17 months later. Abdominal CT performed in the same period revealed recurrent lesions in the liver, abdomen, and lung (Figure 4). The patient accepted chemotherapy and was discharged with a chemotherapy protocol including six cycles of gemcitabine plus docetaxel combination. Despite the partial regression of his lesions, he died at the postoperative 30th month with intra-abdominal recurrences and lung metastases.

Figure 4

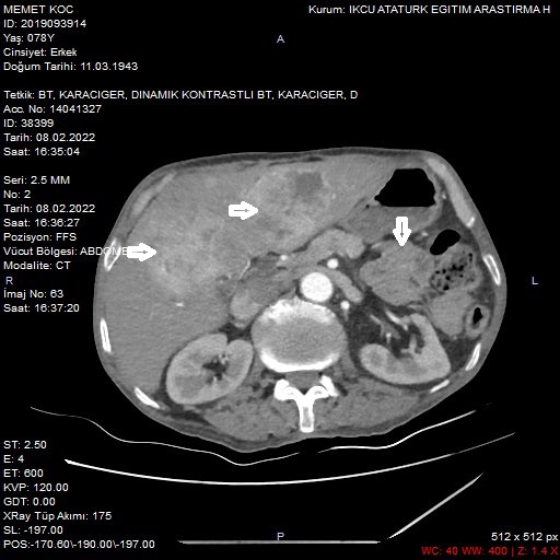
Figure 4. Abdominal CT at the postoperative 18th month shows local recurrence and new lesions located in the liver and left upper quadrant (arrows).

DISCUSSION

UESL is a rare neoplasm that is frequently seen in childhood and is seen in adults and advanced age. Due to the very progressive course of the disease, data on elderly patients are very limited. The number of cases reported in the literature is around 350. We searched the literature data of the last 50 years to reveal the diagnosis and treatment protocols. There are very few clinical series in the literature. There are studies conducted mainly in the form of case reports.[13] Series involving more than 40 patients, even in children, have been rarely reported.[24] We could not find any study in the literature reporting synchronous UESL lesions in the liver and spleen.

In the literature, the mean survival is 29 months; long-term (10+ years) survival after surgery and cases with complete cure have also been reported.[1,2,4] UESL is a chemotherapy-sensitive tumor.[1] The Italian and German surgical groups reported four patients who underwent complete surgical tumor resection followed by adjuvant chemotherapy. All patients in this report achieved a complete remission at 5 to 10 years.[1,2] Patients who underwent complete tumor resection and adjuvant chemotherapy survived 32.5 months of follow-up. They also had significantly better survival than patients who underwent surgery alone.[1]

In the literature, it has been reported that tumor recurrence developed in only 23% of the patients who received adjuvant chemotherapy in a mean follow-up of 28 months.[1,3,4] It has also been reported that the tumor recurred in 42% of the patients who underwent surgical resection but were followed up without adjuvant chemotherapy, frequently in the eighth month postoperatively.[3,5] Our patient also refused postoperative chemotherapy and accepted chemotherapy after local recurrence, and distant metastases were detected 17 months later.

In conclusion, synchronous UESL involving the liver and spleen is a very rare condition. Curative treatment of UESL is possible with surgery followed by adjuvant chemotherapy. Adjuvant chemotherapy has a positive effect on postoperative survival.

DECLARATIONS

Author contributions

All authors have accepted responsibility for the entire content of this manuscript and approved its submission.

Informed consent statement

All study participants, or their legal guardian, provided informed written consent prior to study enrollment.

Conflicts of interest

There is no conflict of interest among the authors.

Data sharing statement

No additional data is available.

REFERENCES

  1. Lenze F, Birkfellner T, Lenz P, Hussein K, Länger F, Kreipe H, et al. Undifferentiated embryonal sarcoma of the liver in adults. Cancer 2008;112(10):2274-82.    DOI: 10.1002/cncr.23431    PMID: 18361435
  2. Techavichit P, Masand PM, Himes RV, Abbas R, Goss RA, Vasudevan SA, et al. Undifferentiated embryonal sarcoma of the liver (UESL) A single-center experience and review of the literature. J Pediatr Hematol Oncol 2016;38(4):261-8.    DOI: 10.1097/MPH.0000000000000529    PMID: 26925712
  3. Wu Z, Wei Y, Cai Z, Zhou Y. Long-term survival outcomes of undifferentiated embryonal sarcoma of the liver: a pooled analysis of 308 patients. ANZ J Surg 2020;90(9):1615-20.    DOI: 10.1111/ans.15684    PMID: 31957153
  4. Zhang C, Jia CJ, Xu C, Sheng QJ, Dou XG, Ding Y. Undifferentiated embryonal sarcoma of the liver: Clinical characteristics and outcomes, World Jornal of Clinical Cases 2020;8(20):4763-72.    DOI: 10.12998/wjcc.v8.i20.4763    PMID: 33195644
  5. Putra J, Ornvold K. Undifferentiated embryonal sarcoma of the liver: A concise review. Arch Pathol Lab Med 2015;139(2):269-73.    DOI: 10.5858/arpa.2013-0463-RS    PMID: 25611111