ABSTRACT

Nonalcoholic fatty liver disease (NAFLD), a condition that affects 30% of the world’s population, is one of the leading causes of chronic liver disease (CLD) and liver transplantation. Although exact data are not available in many developing countries, its prevalence is increasing at alarming rates in many studies from these countries. The rising prevalence of NAFLD has paralleled the increasing rates of obesity and metabolic syndrome. Hence, more recently, it has been renamed metabolic dysfunction-associated fatty liver disease (MAFLD). Since several studies have demonstrated an association between NAFLD and an increased risk of cardiovascular events, it has been proposed that NAFLD may be an independent risk factor for atherosclerosis. However, the data is conflicting in this regard and more studies are needed. In this review, we discussed the epidemiology, risk factors, clinical presentation, diagnosis, classification, and complications of NAFLD to help increase awareness among the medical community of this looming epidemic of metabolic liver injury.

Key words: non-alcoholic fatty liver disease, obesity, metabolic syndrome, liver transplantation, liver function tests

INTRODUCTION

Nonalcoholic fatty liver disease (NAFLD) is an umbrella term that encompasses a range of pathological lesions involving the accumulation of neutral fat in the hepatocytes exceeding 5% with or without consequent cytopathic and fibroinflammatory lesions, in the absence of other risk factors (particularly alcohol) for steatosis (Figure 1). It constitutes an important global public health problem of epidemic proportions.[15] It affects around 30% of the global population and is one of the leading causes of abnormal liver function tests, chronic liver disease (CLD), and end-organ liver failure requiring liver transplantation, particularly in industrialized nations.[610] NAFLD and non-alcoholic steatohepatitis (NASH) constitute an immense economic burden and portend a poor health-related quality of life. The prevalence estimates of this disease vary widely across populations also because of differences in methods for diagnosis and/or definition. In addition, as a result of an aging population and the improved control of other major causes of CLD, such as hepatitis C and hepatitis B viruses, the proportion of CLD cases secondary to NAFLD has risen in many countries.[11,12] New strategies for prevention, diagnosis, and management will be required to alter the course of this disease.

Figure 1

Figure 1. The spectrum of non-alcoholic fatty liver disease (NAFLD). Note that NAFLD is an umbrella term. It encompasses many lesions including non-alcoholic fatty liver (NAFL) and non-alcoholic steatohepatitis (NASH). The sizes of the boxes are only approximations of the frequencies of different forms of NAFLD in a particular population.

Although the exact epidemiologic data are not available in many developing countries, its prevalence is increasing at alarming rates in the few studies reported from these countries due mostly to urbanized and westernized lifestyles.[1315] However, the disease has not received due attention in many developing countries. The rising prevalence and intensity of NAFLD have paralleled the globally escalating rates of obesity and metabolic syndrome (MS). Since several studies have demonstrated an association between NAFLD and an increased risk of cardiovascular events, it has been proposed that NAFLD may be an independent risk factor for atherosclerosis.[1620] However, the data is conflicting in this regard and more studies are needed. The primary aim of this review is to provide a brief overview of the definition, epidemiology, risk factors, pathogenesis, pathology, clinical presentation, diagnosis, classification, and complications of NAFLD with a goal to increase awareness among the clinicians and the medical community at large of this looming epidemic of metabolic liver injury. The nomenclature changes and epidemiology of the condition will be particularly highlighted in this review as these are the active areas for ongoing research on this disease.

DEFINITION

The term NAFLD is strictly speaking a negative descriptor term and does not reflect the etiology or the underlying pathogenesis of the condition. The term was originally coined by Ludwig and colleagues in 1980 to describe fatty liver disease arising in the absence of significant alcohol intake.[21] In essence, the diagnosis of NAFLD is one of exclusion.[2225] The spectra of etiology and pathogenesis of the disease have expanded in the face of its increasing incidence and prevalence, necessitating a revisiting of the original nomenclature.[26,27] The world experts reached a consensus at a meeting that the term NAFLD does not reflect current knowledge, and metabolic dysfunction-associated fatty liver disease (MAFLD) was suggested as a more appropriate, affirmative, and all-encompassing term. Hence, in 2020, it was renamed MAFLD,[28] which though affirmative, but had its own limitations. In particular, it was still widely felt that even this term was stigmatizing in connotation. Hence, just recently, the name has been changed again. For this purpose, in June 2023 a modified Delphi process was conducted by three large international liver associations. During the process, a total of 236 panelists from 56 countries, members of the NAFLD Nomenclature Consensus Group, participated in four online surveys and two hybrid meetings. The terms “non-alcoholic” and “fatty” were felt to be stigmatizing by 61% and 66% of respondents, respectively. As the term “non-alcoholic” was already replaced, the term “fatty” was replaced by steatosis. Steatotic liver disease (SLD) was selected as an umbrella term to include all possible causes of steatosis (Figure 2). The term steatohepatitis was considered to be an important pathophysiological concept and was retained. The name metabolic dysfunction-associated steatotic liver disease (MASLD) was chosen to replace NAFLD. A consensus was also reached on changing the defining criteria to include the presence of at least one of five cardiometabolic risk factors. Those with no metabolic parameters and no known cause were thought to have cryptogenic SLD. Because of the frequent concurrence of the two pathologies, a new category, designated MetALD was chosen to describe those with MASLD who consume greater amounts of alcohol per week (140 to 350 g/week and 210 to 420 g/week for females and males, respectively).[29] The new nomenclature and diagnostic criteria, which have the multi-stakeholder endorsement, have paved the way for a strong platform from which the medical community can increase disease awareness, reduce stigma and accelerate drug and biomarker development for the benefit of patients with MASLD, MASH and MetALD.[29]

Figure 2

Figure 2. Steatotic liver disease (SLD) and its sub-classification. This figure shows the schema for SLD and its sub-classification. SLD, diagnosed by imaging or on histology, has many potential causes. MASLD, defined as hepatic steatosis together with one cardiometabolic risk factor and no other apparent cause, ALD, and an overlap of the two (MetALD), comprise the most common causes of SLD. Other causes of SLD need to be considered separately, as they exhibit distinct pathophysiology. Multiple etiologies of steatosis can coexist. Those with no identifiable cause (cryptogenic SLD) may be reclassified in the future with developments in our understanding of disease pathophysiology.

Notwithstanding the above updates on nomenclature, for the sake of this review, we have retained and will use the term NAFLD hereafter throughout this discourse, as most of the literature that forms the basis of this review is based on this nominal designation.

EPIDEMIOLOGY

NAFLD is an increasingly recognized cause of liver-related morbidity and mortality throughout the world.[112] With obesity being an important risk factor globally, NAFLD is now receiving greater attention and has attained the status of an important public health problem. Recent meta-analyses have shown that the worldwide prevalence of NAFLD is considerably higher than previously estimated and is continuing to increase at an alarming rate.[3] The estimated global incidence of NAFLD is 47 cases per 1,000 population and is higher among males than females.[4] The estimated worldwide prevalence of NAFLD among adults is 32% and is higher among males (40%) compared to females (26%). The global prevalence of NAFLD has increased in recent years, from 26% in studies from 2005 or earlier to 38% in studies from 2016 or beyond. With a 2.16% annual increase from 2020 to 2040, the prevalence of NAFLD is projected to increase to 55.7% by 2040 if current trends are left unchecked.[5] Moreover, the prevalence of NAFLD varies significantly by world region, possibly contributed by differing rates of obesity, and genetic and socioeconomic factors.

Previous studies from North America reported prevalence rates of 24%–34% of the general population in the USA.[1,2] More recently, NAFLD prevalence has been reported to be 47.8% in the meta-analysis by Riazi et al. which included two large studies with more than 15,000 individuals from the USA.[3] According to these authors, this high prevalence is driven by a high prevalence of obesity in the USA. In the USA, Hispanics have the highest prevalence rates, followed by non-Hispanic Whites and non-Hispanic blacks. This is likely due to genetic factors such as the patatin-like phospholipase domain-containing protein 3 (PNPLA3) mutation, which is more common in Hispanics. This gene is associated with increased risk of SLD and NASH, as will be discussed in detail below in pathogenesis. This could also be related to metabolic factors such as the higher prevalence of central obesity and insulin resistance in Hispanics.[3] The prevalence is more or less similar in the general population in Europe as in the USA. Within Europe, the highest prevalence of NAFLD was found in Turkey at 48.4%, followed by Italy at 38.2%, with lower rates of 25%–27% in some other European countries.[4] The rates are higher in certain racial and patient populations. For instance, NAFLD prevalence was estimated to be 63.7% in Hispanics in the USA. Its rate is 75%–92% in morbidly obese patients and 60%–70% in patients with type 2 diabetes. The highest incidence of NAFLD has been noted in the Middle East and South America, while the lowest rates are observed in Africa.[313] Le et al. in a pooled meta-analysis of three studies from South America found the highest estimated prevalence of NAFLD in South America as compared to other continents. According to these researchers, this is probably due to a combination of genetic susceptibility and a greater prevalence of metabolic risk factors. In addition, physical activity is also inadequate in Latin America. There is scarcity of data on the epidemiology of NAFLD from Africa. Previous studies found low rates of NAFLD varying from 9% to 20% with an average of 13.5%. However, more recent studies by Le et al. and Riazi et al. found comparatively higher rates of 28.2% and 56.8%, respectively.[3,4] Of note, the study by Riazi et al. included only one study from Egypt.[3] The wide variation in prevalence rates of NAFLD in Africa likely reflects a paucity of reliable data from this region.[4]

NAFLD is also highly prevalent in the Asia Pacific region, and there is some evidence that the disease in this region may be distinct in its phenotype from the disease in Western countries.[3037] In particular, the disease in Asian countries can manifest at a lower body mass index (BMI), albeit most often after a period of weight gain and with central adiposity. A substantial percentage of individuals with NAFLD in this region have a BMI < 25 kg/m2 or even below 23 kg/m2 which is labeled as lean or no-obese NAFLD. Le et al. conducted a meta-analysis of published literature till 2019 (182 studies with more than 2.3 million individuals) and reported an estimated prevalence of up to 30.5%.[5] More recently, Riazi et al. conducted a meta-analysis of 63 studies with around one million individuals) and found NAFLD prevalence to be 31.6%.[3] The prevalence of NAFLD in the Asian continent is highly variable as the region comprises of countries with a wide diversity of ethnicities and socioeconomic factors. Among the Asian sub-regions, the highest prevalence of NAFLD was found in Southeast Asia at 42%. Rates from China have been reported to be around 32% and in Korea around 34%.[3] The lowest rates were reported from Japan at around 22%, which may be related to a low prevalence of obesity.[4]

In South Asia, NAFLD prevalence was found to vary from 25.7% to 32.7% in India, 26.2% to 33.8% in Bangladesh, and 24.7% in Sri Lanka.[3,4] A hospital-based study by Shah et al. from North Pakistan found its prevalence to be 47%, which is one of the highest rates.[7] Data is generally lacking from Central Asia.[4]

NAFLD also frequently acts as a cofactor with other liver diseases, and its impact is therefore influenced by the prevalence of other injurious factors such as viral hepatitis and alcohol consumption in different populations.

In particular, the prevalence of NAFLD is higher in countries such as China, India, and Indonesia.[3136] Risk factors for NAFLD in Asia include obesity, type 2 diabetes, and MS. There is also evidence to suggest that genetics may play a role in the development of NAFLD in Asian populations. The high prevalence of NAFLD in Asia is a cause for concern, as it is a major risk factor for the development of liver fibrosis, cirrhosis, and hepatocellular carcinoma (HCC).[3335] Therefore, efforts to identify and manage risk factors for NAFLD are crucial to prevent its progression and the associated health consequences.

The incidence of NASH-related HCC is also rapidly increasing, with NASH now constituting the second leading etiology of HCC-related liver transplantation in the United States and an increasingly frequent cause of HCC in Asia.[3136]

In summary, the global burden of NAFLD is enormous and is projected to rise substantially. It is imperative to maintain and gather reliable data form all world regions to improve the understanding of the burden of disease associated with NAFLD and NASH around the globe. This will in turn facilitate the development of healthcare policies to slow down this epidemic.

RISK FACTORS AND ETIOLOGY

NAFLD is a complex disease trait that can be caused by a variety of factors, including genetic, environmental, and lifestyle factors.[3844] The penultimate cause of NAFLD is excess fat accumulation in the liver, which can be caused by a variety of factors. The exact etiology of NAFLD is still enigmatic, there are many risk factors and associations of NAFLD. Common causes and risk factors for primary NAFLD/NASH include obesity and overweight, insulin resistance, type 2 diabetes mellitus, MS and genetic factors and risk factors for secondary NAFLD/NASH include toxin exposure, agents (e.g., tamoxifen, amiodarone, oestrogens, pharmacologic glucocorticoids, HAART therapy), gastroplasty/bowel resection/bowel bypass surgery, rapid weight loss/starvation, parenteral nutrition, hypothyroidism, bacterial overgrowth, sleep apnea, polycystic ovary syndrome, Wilson’s disease, Weber-Christian disease and abetalipoproteinemia. Among these, obesity, dyslipidemia, type 2 diabetes, and MS are established risk factors for developing NAFLD. Many other risk factors (e.g., hypothyroidism, polycystic ovary syndrome, obstructive sleep apnea, hypopituitarism, and hypogonadism) for NAFLD have been described in Western countries, but these associations are yet to be investigated adequately in the Asia Pacific region.[4045] In many cases, more than one risk factor may contribute to fat accumulation in the liver.

Of note, NAFLD is extremely common among certain patient populations, such as patients undergoing bariatric surgery, where it ranges from 84% to 96%. In these patients, progressive forms of NAFLD are also more common, with 25% to 55% having NASH, 34% to 47% having fibrosis, and 2% to 12% having bridging fibrosis or cirrhosis.[4647]

The MS is the most important risk factor for NAFLD. In fact, NAFLD is considered by many researchers to be the hepatic manifestation of MS. However, there is some ongoing debate on this question, as some authors have suggested that fatty liver disease is an independent component of MS.[4850] Another clinical association for hepatic steatosis is chronic intermittent hypoxia due to sleep apnea. Sleep apnea is a common problem in patients who are obese. However, in general, the clinical risk factors do not reliably determine the risk for active injury or fibrosis in fatty liver disease.

PATHOGENESIS

The exact pathogenesis of NAFLD is still incompletely understood but is clearly complex and multifactorial.[5155] A complete understanding of the mechanisms underlying the development of NAFLD and NASH is of great importance; however, despite marked advances in this field, knowledge of the pathogenesis of NAFLD is still incomplete. The 'two-hit' hypothesis is now obsolescent, as it was inadequate to explain the several molecular and metabolic changes that take place in NAFLD. The currently favored hypothesis is that of a “multiple hit” process wherein multiple factors acting together on a background of genetic predisposition contribute to the end result of NFALD (Figure 3). These processes occur both within the liver and outside it and may act synchronously or metachronously during the course of the development or progression of the disease process.[5559] Thus, the development and progression of NAFLD are conditioned by a variable degree of combination of genetic susceptibility, environmental factors, lifestyle, and features of the MS. At the penultimate, excess free fatty acids, and oxidative stress have been proposed as the main drivers of NAFLD.

Figure 3

Figure 3. Schematic diagram depicting multi-step pathogenesis of non-alcoholic fatty liver disease (NAFLD) spectrum. The first two steps are reversible with suitable intervention, while cirrhosis is an irreversible complication. At each of the steps of progression, both genes and environmental factors interact to bring about the transition (yellow dot represents fatty change, and the green four-pointed star represents scar tissue).

Genetic factors have been shown to play a permissive role in the development and progression of NAFLD. Several genes have been identified that contribute to the risk of developing NAFLD, as well as the severity of the disease. Gene expression profiling and genome-wide association studies have led to the identification of gene polymorphisms and novel disease pathways that have enriched our understanding of the genetic basis of the disease and may prove to be potential biomarkers of NAFLD progression as well as possible targets of future therapy.[6065]

In addition to conventional genetics, epigenetics, an inheritable phenomenon that affects gene expression without changing the DNA order, provides a new perspective on the pathogenesis of NAFLD. The epigenetic changes take place at the transcriptional level and provide a phenotypic connection between the host and the environment. An accruing body of evidence suggests the importance of epigenetic roles in NAFLD, which in turn can be identified as potential therapeutic targets and non-invasive biomarkers of NAFLD. It is predicted that the epigenetic changes in NAFLD may provide new molecular indicators that can determine not only the initial risk but also the disease progression and prognosis.

One of the most widely studied genes in NAFLD is the PNPLA3 gene. This gene codes for an enzyme that is involved in the catabolism of triglycerides in the liver, and variants in this gene can lead to the accumulation of triglycerides and the development of a fatty liver. Variants of the gene have been strongly associated with the development of NAFLD and the progression to advanced liver disease. Other genes that have been implicated in NAFLD include the transmembrane 6 superfamily member 2 (TM6SF2) gene, glucokinase regulator (GCKR) gene, adiponectin (ADIPOQ) gene, and peroxisome proliferator-activated receptor alpha (PPARA) gene. Each of these genes codes for a product that plays a crucial role in normal lipid metabolism or transportation in the liver. The GCKR gene codes for a protein that regulates glucose metabolism in the liver. Variants of this gene have been linked to an increased risk of developing NAFLD, as well as the development of advanced liver disease. The ADIPOQ gene codes for a protein that is involved in regulating insulin sensitivity and inflammation and its variants have been associated with the development and progression of NAFLD. The PPARA gene codes for a protein that is involved in regulating lipid metabolism in the liver and the variants of this gene have been associated with an increased risk of developing NAFLD and its progression to advanced liver disease.[6065] More recently, epigenetic factors have also been found to play an important role in the pathogenesis of NAFLD.

In summary, genetic factors play an important role in the development and progression of NAFLD. Several genes have been identified that contribute to the risk of developing NAFLD and the severity of the disease. However, in isolation, these are not sufficient to cause the full phenotype of the disease. Further research is needed to better understand the underlying mechanisms and to develop targeted therapies for patients with NAFLD.

Among the acquired factors, the following are important in the development or progression of the disease.

  • (1)

    Morbid alterations in fat metabolism, lipotoxicity, and insulin resistance.

  • (2)

    Adipose tissue dysfunction.

  • (3)

    Dietary and nutritional factors including gut microbiota

Each of the above factors, either alone or in variable combination, can trigger a series of events comprising oxidative stress, mitochondrial dysfunction, endoplasmic reticulum stress, inflammation, and fibrosis, which ultimately manifest as liver fibrosis and cirrhosis.[66,67]

PATHOLOGY

Steatosis or the accumulation of triglycerides in the form of macro- or micro-vacuoles within hepatocyte cytoplasm is the sine qua non of all forms of NAFLD.[6875] Steatosis is routinely diagnosed by hematoxylin and eosin (H&E) stains and the diagnostic threshold is the involvement of > 5% of hepatocytes. Other types of lipids, including free fatty acids (FFAs), phospholipids (PLs), and cholesterol (the candidate lipotoxins in NASH), are not visible by routine light microscopy. Steatosis typically involves the hepatocytes in clusters; however, scattered single hepatocytes may be distributed throughout the acini. Typically, fat accumulates around central veins (zone 3) in NAFLD. Similarly, all subsequent pathologic lesions of NAFLD such as inflammation, fibrosis, and remodeling of the architecture initially involve this zone. Steatosis may also be evenly dispersed among hepatocytes throughout the acini with no zonal predilection; this pattern, referred to as pan-acinar, is most often noted when steatosis is extensive.

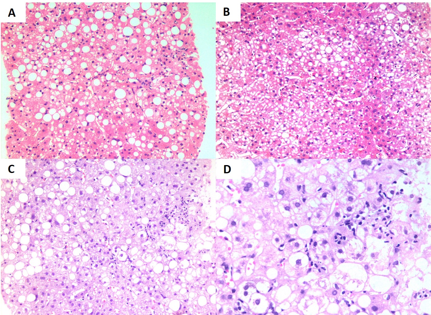
Fat classically accumulates in NAFLD in the form of a single, large vacuole replacing hepatocellular cytoplasm and pushing the nucleus to one side, the so-called macrovesicular form. However, it may occur in the form of multiple, small droplets of fat with the nucleus in the center of the cell, the so-called microvesicular form. Most commonly, there is a combination of both these forms in NAFLD (Figure 4).

Figure 4

Figure 4. Morphological features of non-alcoholic fatty liver (NAFL) and non-alcoholic steatohepatitis (NASH). A. Medium-power view showing predominantly macrovesicular steatosis in an example of NAFL. No inflammation or ballooned hepatocytes are seen. (H&E, ×200). B. Medium-power view showing predominantly microvesicular steatosis in an example of NAFL. No inflammation or ballooned hepatocytes are seen. A few large droplets are also seen. (H&E, ×200). C. Medium-power view showing foci of inflammatory cell infiltration and scattered ballooned hepatocytes. (H&E, ×200). D. High-power view showing inflammatory cell infiltration and scattered ballooned hepatocytes. (H&E, ×400).

Steatosis with inflammation is a type of NAFLD more commonly detected than isolated steatosis. The inflammation is primarily lobular, but mild or moderate portal chronic inflammatory cell infiltrates may also be present. The inflammation may include small and large lipogranulomas. Lipogranuloma represents a focal response to the rupture of fat-laden hepatocytes. It contains macrophages, a few lymphocytes, eosinophils, and occasionally giant cells. A central fat globule differentiates it from other types of granulomas and may require serial sections for its demonstration. Lipogranulomas may lead to focal fibrosis, which should be differentiated from the pericentral fibrosis of NASH.

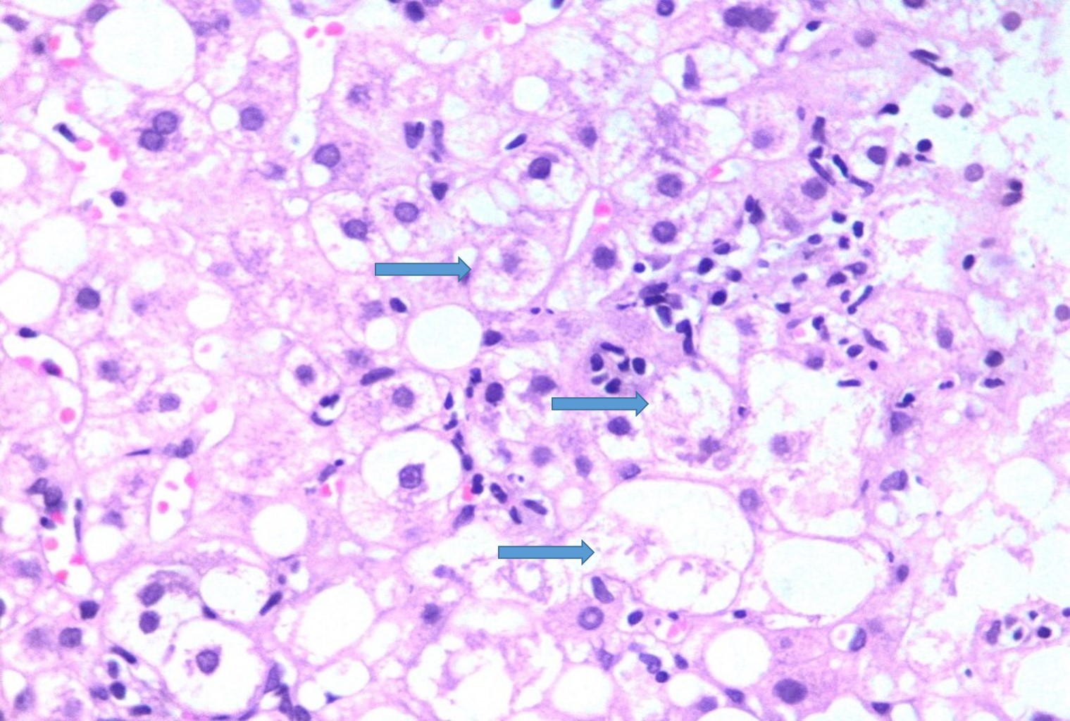
NASH is characterized by the combinations of macrovesicular steatosis and inflammation as described, with hepatocellular injury identified microscopically as ballooning (Figure 5). Ballooned hepatocytes in nonfibrotic adult steatohepatitis are found in the perivenular (zone 3) region of the acini. Ballooned hepatocytes are enlarged and their cytoplasm is clear and wispy or flocculent as compared to the eosinophilic, finely granular cytoplasm of normal hepatocytes. The nucleus is usually located in the center of the cell. Ballooned hepatocytes may contain Mallory-Denk bodies (MDBs). As in alcoholic liver disease (ALD), MDBs can be better visualized by ubiquitin and p62 immunostaining.

Figure 5

Figure 5. High-power view showing a few clusters of inflammatory cells including lymphocytes, histiocytes, and Kupfer cells and scattered ballooned hepatocytes. Note that these cells are enlarged and their cytoplasm is clear and rarefied to wispy and nuclei are centrally placed (arrows) (H&E, ×400).

A number of retrospective and prospective studies have established that simple steatosis without inflammation carries a benign prognosis while the lesions of NASH progress toward advanced liver disease if left untreated.

As in classic NASH, the initial injury is in the centrilobular region (zone 3), so the first manifestations of fibrosis appear in this zone as delicate perisinusoidal collagen and basement membrane deposits. With progression, the fibrosis may become dense enough to be observed by routine H&E stains. From this location, the fibrous extensions may spread to surrounding parenchyma in a pericellular, chicken-wire fashion. With further progression, these may lead to bridging between central areas in a web-like fashion, with complete sparing of portal tracts in early stages (Figure 6). More commonly, however, periportal fibrosis develops after the deposition of zone 3 perisinusoidal fibrosis. Portal fibrosis and a ductular reaction are noted simultaneously. Bridging fibrosis and cirrhosis may both retain some perisinusoidal fibrosis, but this is eventually incorporated into the fibrous septa. It should be noted that cirrhosis may or may not show histologic clues as to the origin of the liver damage. All the lesions of steatohepatitis, including steatosis, ballooning, MDBs, and perisinusoidal fibrosis, may be present, but in some cases, none of these features is present.[68,70] Occasionally, a periseptal ballooned hepatocyte with an MDB is found; whether this is due to a cholestatic process or steatohepatitis requires evaluation.

Figure 6

Figure 6. Medium-power view showing pericentral fibrosis extending into the surrounding parenchyma in a chicken-wire pattern (arrows). This distribution is typical of non-alcoholic steatohepatitis (NASH) with fibrosis. (Trichrome stain, ×200).

CLINICAL PRESENTATION

Most cases of NAFLD occur in middle-aged adults, but it can also be seen in children and adolescents (see later).[7679] Briefly, most patients with NAFLD either have no symptoms (around 77%) or have non-specific symptoms, such as fatigue (around 50%–75%) and right upper quadrant abdominal discomfort. The diagnosis is often made on finding an enlarged liver on clinical examination, abnormal liver function tests not explained by alcohol or other liver disorders in someone who is overweight or who exhibits features of MS, and/or the finding of increased echogenicity and other features of fatty liver on ultrasonography. More recently, the importance of fatigue, which is unrelated to disease severity, impaired quality of life including falls, and possible cognitive impairment have been the subject of attention for patients with NAFLD.[76,77]

No specific physical signs confirm a diagnosis of NAFLD or distinguish NAFL from NASH. Central obesity is the most common physical finding, present in over 50% of patients. However, clinical examination is frequently unremarkable, and patients with NAFLD are typically asymptomatic. For these reasons, patients with NAFLD typically present late in the course of the disease, with 25%–33% of patients already having progressed to advanced fibrosis or cirrhosis before diagnosis.[78,79]

DIAGNOSIS

Diagnosis of NAFLD can only be suspected on clinical and laboratory features. Imaging studies can help in making a presumptive diagnosis of NAFLD. However, the definitive diagnosis and further categorization can only be made on liver biopsy examination, which is currently the gold standard test. The biopsy can also help in assessing the activity, severity, and chronicity of the disease. In addition, the biopsy may help in determining other concurrent or co-existent diseases such as chronic hepatitis C, Wilson’s disease, autoimmune hepatitis, and hemochromatosis, which may play a synergistic role with NAFLD in causing liver damage. In all of these clinical scenarios, a systematic liver biopsy evaluation is essential in the diagnosis and clinical management. The value of liver biopsy evaluation in scientific studies is inferred from the fact that, although not as perfect as it seems to be, this evaluation constitutes a gold standard in treatment trials and the development of noninvasive tests.[8086]

Well-defined diagnostic criteria have been developed that distinguish and thus categorize the various types of NAFLD, particularly in adults. Application of these criteria remains central not only in making a diagnosis and classifying NAFLD but is also essential in understanding the pathogenesis and natural history, and in interpreting therapeutic clinical trials. The recognition that of all individuals with NAFLD, a relatively small percentage actually have or will develop steatohepatitis (i.e., NASH) and are, therefore, at risk of cirrhosis and its complications further underscores the importance of using histologic criteria to evaluate the correct assignment of subjects.[82,84,86] These histologic criteria were discussed further in the pathology section of NAFLD.

As alluded to earlier, a presumptive diagnosis of NAFLD can be made based on clinical and laboratory features with a positive imaging study (often ultrasound), negative history of significant alcohol use, and absence of other congenital or CLDs. But there are several caveats in this approach. Up to 4%–5% of patients with other CLDs may have NASH and autoantibodies may be present in significant titers in 20% of NAFLD patients. In order to confirm the disease and exclude other coincident liver diseases, a liver biopsy is required. While a liver biopsy can provide a wealth of information about the state of the liver, it is not expedient to try to distinguish NAFLD from ALD by histopathological examination only.[8790]

In the future, multidisciplinary or multimodality algorithms, particularly incorporationg radiology, pathology, and genetics, may be utilized for early detection and risk stratification in NAFLD.

IMAGING STUDIES

Imaging studies are an important tool in the diagnosis of NAFLD as they can detect the presence of hepatic steatosis (fatty liver) and assess the severity of the disease.[91100] Among these, ultrasound is the most commonly used and the first-line diagnostic test. It is a non-invasive, low-cost imaging tool that can detect the presence of hepatic steatosis. It is widely used in clinical practice for the diagnosis and follow-up of NAFLD. However, ultrasound has limitations, as it is operator-dependent, and it may not be able to detect mild degrees of steatosis. Hepatic ultrasound has a specificity of over 90% for a diagnosis of fatty liver but is insensitive and can be normal if lesser degrees of hepatic steatosis (< 33%) are present.[93] With progression and fibrosis, changes occur in the liver tissue stiffness, which can be detected by various sonoelastography techniques. These noninvasive techniques include transient elastography (TE), strain elastography (SE), 2D-shear wave elastography (2D-SWE), and point SWE. These are widely used in clinical practice for liver fibrosis staging. The reported sensitivity and specificity of the above techniques for clinically significant liver fibrosis range from 60% to 96% and from 18% to 100%, respectively. Abdominal computed tomography (CT) is usually not the first-line diagnostic test for hepatic steatosis. It is more sensitive compared to ultrasonography. However, it is associated with radiation exposure and is not routinely used as a first-line imaging study for the diagnosis of NAFLD.[94] Magnetic resonance imaging (MRI) is a highly sensitive imaging technique that can detect hepatic steatosis and assess the degree of fibrosis. It has the advantage of not using ionizing radiation and can provide additional information about liver perfusion and iron overload. However, it is more expensive than ultrasound and not widely available. Magnetic resonance elastography (MRE) is a specialized type of MRI that can assess liver stiffness and detect liver fibrosis. It is a more accurate method to assess the severity of fibrosis than ultrasound or CT.[91100]

In summary, imaging studies are essential in the diagnosis of NAFLD, and ultrasound is the initial and most commonly used imaging study. However, depending on the clinical scenario, additional imaging studies such as MRI or MRE may be necessary for further evaluation and management of the disease.

LABORATORY INVESTIGATIONS

Laboratory investigations play an essential role in suspecting the diagnosis of NAFLD. Several serum biomarkers, including alanine aminotransferase (ALT), aspartate aminotransferase (AST), gamma-glutamyl transferase (GGT), and alkaline phosphatase (ALP), have been used to diagnose NAFLD. However, these biomarkers are not specific to NAFLD and can be elevated in other liver diseases.

Typically, serum levels of AST and ALT are mildly increased, but some cases will have normal enzyme levels.[7680] Extremely high enzyme levels (> 1000 IU/L) are unusual in NAFLD and should raise the possibility of other causes (viral hepatitis, drugs, or autoimmune hepatitis). Characteristically, the ALT exceeds AST values and can be raised up to 10-fold greater than the upper limit of normal. ALD or the possibility of advanced hepatic fibrosis should be considered if the AST-ALT ratio is greater than 1. It is important to note that the entire spectrum of NAFLD can occur in seemingly healthy individuals with normal enzyme levels.

NON-INVASIVE BIOMARKERS

Non-invasive biomarkers have attracted considerable attention in recent years. They are poised to play an increasing role in the diagnosis and management of NAFLD because they offer a simpler, less invasive, and less expensive alternative to liver biopsy, which has been considered the gold standard for diagnosing and staging NAFLD.[101106] A large battery of these markers, both imaging and laboratory-based, have been investigated for their utility in NAFLD diagnosis, risk stratification, and prognosis. These include serum biomarkers, imaging-based biomarkers, fibrosis makers, and genomic markers. The serum biomarkers typically include liver enzymes and were discussed in the previous section of this review. Imaging-based biomarkers, such as controlled attenuation parameter (CAP) and liver stiffness measurement (LSM), can be obtained from specialized ultrasound machines or MRI. These biomarkers have been shown to be accurate in diagnosing and staging NAFLD.[102104] Fibrosis biomarkers, such as the FibroTest and the Enhanced Liver Fibrosis (ELF) score, have been used to assess the degree of liver fibrosis in patients with NAFLD. These biomarkers combine the levels of serum markers, such as hyaluronic acid, procollagen III N-terminal peptide, and tissue inhibitor of matrix metalloproteinase-1, to predict the degree of liver fibrosis. Lastly, genomic biomarkers, such as the PNPLA3 genotype, have been associated with the risk of developing NAFLD and the severity of the disease. These biomarkers may have a role in predicting the development of advanced liver disease and in selecting patients for early intervention.[105]

In summary, non-invasive biomarkers have an important role in the diagnosis and management of NAFLD. While these biomarkers are not yet as accurate as liver biopsy, they offer a less invasive and less expensive alternative for diagnosing and staging NAFLD, which can lead to earlier detection and management of the disease.

SCREENING

Several guidelines on the global level have already taken a stand on screening for NAFLD. According to the consensus, screening is not recommended in the general population.[107109] The American Association for the Study of Liver Diseases (AASLD) even discourages screening in high-risk groups because of the current lack of treatment options, unclear value of screening tests, and uncertain cost-effectiveness. However, “a high index of suspicion” for the presence of NAFLD in diabetes mellitus type 2 patients is advised. While the Asia Pacific Society does recommend screening in high-risk groups, i.e., those with diabetes mellitus and obesity.[79]

Specific screening recommendations are also found in the Latin American and European guidelines, wherein, NAFLD screening is recommended for patients with repetitively or continually elevated liver enzymes, features of MS, or obesity [BMI > 30 kg/m2] according to Latin American guidelines.[110] Along the same lines, patients with insulin resistance and MS, especially overt type 2 diabetes, should also be screened for the presence of NAFLD according to the European recommendation, regardless of the level of liver enzymes.[111] Both guidelines primarily recommend abdominal ultrasound as the initial investigation to define the presence of steatosis. Serum fibrosis tests are considered appropriate for further risk stratification,[110,111] with the Latin American guideline categorically recommending the determination of FIB-4 and NFS. Elastography, as a more reliable method, is also mentioned[110] but is considered a second-line examination due to its lack of availability in many places.

CHILDHOOD NAFLD

Although traditionally thought to be an adult disease, NAFLD is increasingly being detected in pediatric populations worldwide, particularly, in the wake of the current global epidemic of childhood obesity. In fact, NAFLD is now the most common cause of CLD in children.[112117] Childhood NAFLD is also called Type II NAFLD, in contrast to Type I, which is seen in adults. Importantly, the rising incidence is not limited to children in industrialized countries. NAFLD is now recognized as the most common liver disease in children, and it is estimated that up to 10% of children in the general population may have this condition. It is reported to be more common in males and children of Hispanic and Asian ethnicity than in whites.[114]

As in adult NAFLD, childhood NAFLD is closely associated with obesity, insulin resistance, and MS. Other risk factors include a family history of NAFLD or other liver diseases, as well as certain medical conditions, such as type 2 diabetes, high cholesterol, and high blood pressure.[115,116]

Similar to its adult counterpart, the diagnosis of childhood NAFLD is made based on a combination of clinical, laboratory, and imaging findings. Blood tests may reveal elevated liver enzymes, such as ALT, and imaging studies, such as ultrasound, may show evidence of fat accumulation in the liver. In some cases, a liver biopsy may be necessary to confirm the diagnosis and assess the degree of liver damage.[117]

The histology of pediatric NAFLD is also somewhat different than its adult counterpart. There is more severe steatosis, few or no ballooned hepatocytes, little lobular inflammation, few or no polymorphonuclear leukocytes, more portal inflammation, little zone 3 fibrosis, and more periportal fibrosis. Thus, the features of childhood NAFLD resemble those of chronic hepatitis.

If left untreated, childhood NAFLD can progress to NASH, which in turn, can lead to liver fibrosis, cirrhosis, and even HCC. Therefore, it is important to diagnose and manage childhood NAFLD early to prevent progression to more serious liver disease. Treatment typically includes lifestyle modifications, such as weight loss, regular exercise, and a healthy diet, as well as close monitoring of liver function and the presence of any complications.[118121]

LEAN NAFLD

Lean NAFLD is a type of NAFLD that is characterized by the presence of hepatic steatosis in people who are not obese, as defined by a BMI of < 25 kg/m2. This condition is also known as non-obese NAFLD. Traditionally, NAFLD has been associated with obesity and MS, but recent studies have shown that lean individuals can also develop NAFLD.[122134] The exact cause of lean NAFLD is not fully understood, but it is believed to be multifactorial. Potential contributing factors include genetic predisposition, insulin resistance, altered lipid metabolism, dietary factors, and lifestyle habits.[123126]

The prevalence of lean NAFLD is relatively lower compared to NAFLD in overweight or obese individuals. However, its exact prevalence is challenging to determine due to variations in diagnostic criteria and limited research specifically focused on lean NAFLD. Some studies suggest that lean NAFLD accounts for approximately 10%–20% of all NAFLD cases, but these estimates may vary.[127129] Lean NAFLD is seen more in Asian countries.

The diagnosis of lean NAFLD is made based on the presence of hepatic steatosis on imaging studies such as ultrasound, CT, or MRI, in the absence of significant alcohol consumption, viral hepatitis, or other causes of liver disease. It is important to note that lean individuals with NAFLD can also experience liver damage and progression of the disease, although the risk may be lower compared to individuals with obesity-associated NAFLD. Patients with lean NAFLD can have similar histological features as those with obesity-related NAFLD, including inflammation, ballooned hepatocytes, and fibrosis.[130134]

Management of lean NAFLD is similar to that of obesity-related NAFLD and includes lifestyle modifications such as weight loss, dietary changes, and exercise. In some cases, medications such as insulin sensitizers and lipid-lowering agents may also be used. Close monitoring and follow-up with a healthcare provider are essential to prevent the progression of the disease and the development of complications.

COMPLICATIONS

NAFLD, if left unaddressed, can lead to several complications, especially in its advanced stages.[135137] These include:

(1) NASH: NASH is a more severe and progressive form of NAFLD characterized by liver inflammation and hepatocellular injury. It can progress to advanced fibrosis, cirrhosis, and even liver failure.

(2) Cirrhosis: Prolonged inflammation and liver damage in NASH can result in the development of fibrosis, and in advanced cases, cirrhosis. Cirrhosis further increases the risk of ominous complications such as liver failure, portal hypertension, and the development of HCC.

(3) HCC: NAFLD, particularly NASH-related cirrhosis, increases the risk of developing HCC. The risk is markedly increased as compared with the general population.

(4) Cardiovascular disease: NAFLD is strongly associated with an increased risk of cardiovascular conditions such as heart attacks, strokes, and atherosclerosis. People with NAFLD are more likely to have high blood pressure, high cholesterol levels, and other risk factors for cardiovascular disease.

(5) Type 2 diabetes and MS: These have reciprocal relationship with NAFLD. On the one hand, NAFLD is closely linked to insulin resistance, obesity, and MS. On the other hand, individuals with NAFLD are at an increased risk of developing type 2 diabetes, obesity and MS, which further complicate their liver disease and overall metabolic function.

(6) Kidney disease: Some studies have suggested an association between NAFLD and chronic kidney disease. The mechanisms underlying this link are not yet fully understood, but it highlights the potential impact of NAFLD on other organs beyond the liver.

It is important to note that not all patients with NAFLD develop these complications, and the progression and severity of the disease can vary from person to person. Early detection, lifestyle modifications (such as weight loss and exercise), and management of underlying risk factors are crucial in preventing or slowing down the progression of NAFLD and reducing the risk of complications.

TREATMENT

It is beyond the scope of this review to discuss various treatment strategies for NAFLD in detail. Only the main principles of its management are described briefly. As is well known, there is currently no specific treatment for NAFLD. The management is primarily directed toward the rectification of underlying risk factors and metabolic derangements. The treatment of NAFLD depends on the severity and stage of the disease, as well as on any underlying medical conditions.[138157]

For patients with mild to moderate NAFLD, lifestyle changes such as weight loss, a healthy diet, and regular exercise may be recommended. These changes can improve liver health, reduce inflammation and fat accumulation in the liver, and prevent the progression of the disease. For patients with more severe NAFLD, medications may be prescribed to manage the underlying conditions that are contributing to the disease. For example, medications may be prescribed to lower cholesterol levels, control diabetes, or reduce inflammation. In some cases, more advanced treatments may be necessary. For patients with advanced fibrosis or cirrhosis, a liver transplant may be the only option.[138157]

It is important to note that the most effective treatment for NAFLD is prevention. Maintaining a healthy weight, following a healthy diet, and exercising regularly can all help prevent the development and progression of NAFLD.

PROGNOSIS

NAFLD can have a varied prognosis depending on the severity and progression of the disease. In some cases, NAFLD can remain stable or even resolve with lifestyle modifications such as weight loss, dietary changes, and exercise. However, in other cases, NAFLD can progress to more severe forms of liver disease such as NASH, liver fibrosis, cirrhosis, and HCC.[1,5,7679]

The prognosis of NAFLD largely depends on the stage of the disease at which it is diagnosed and the presence of comorbid conditions such as obesity, diabetes, and hypertension. Patients with NAFLD who develop NASH have an increased risk of liver-related morbidity and mortality.[14,38,77]

It is important to note that early detection and intervention can help improve the prognosis of NAFLD. Treatment options may include lifestyle modifications, such as diet and exercise, medications to improve insulin resistance, and in some cases, bariatric surgery. Close monitoring and follow-up with a healthcare provider can also help manage the disease and prevent complications.

CONCLUSION

In conclusion, the prevalence of NAFLD is increasing at an alarming rate not only in industrialized nations but also in developing countries. It has attained the status of a big public health problem worldwide. There is a need to halt this process at the beginning with a multipronged strategy. Increasing awareness and early diagnosis are powerful approaches by which the prevalent disease burden and associated complications can be curtailed.

DECLARATIONS

Conflicts of interest

There is no conflict of interest among the authors.

Data sharing statement

No additional data is available.

REFERENCES

  1. Younossi Z, Tacke F, Arrese M, Chander Sharma B, Mostafa I, Bugianesi E, et al. Global Perspectives on Nonalcoholic Fatty Liver Disease and Nonalcoholic Steatohepatitis. Hepatology. 2019;69:2672–2682.    DOI: 10.1002/hep.30251    PMID: 30179269
  2. Ng CH, Huang DQ, Nguyen MH. Nonalcoholic fatty liver disease versus metabolic-associated fatty liver disease: Prevalence, outcomes and implications of a change in name. Clin Mol Hepatol. 2022;28:790–801.    DOI: 10.3350/cmh.2022.0070    PMID: 35545437
  3. Riazi K, Azhari H, Charette JH, Underwood FE, King JA, Afshar EE, et al. The prevalence and incidence of NAFLD worldwide: a systematic review and meta-analysis. Lancet Gastroenterol Hepatol. 2022 Sep;7(9):851-861.    DOI: 10.1016/S2468-1253(22)00165-0    PMID: 35798021
  4. Teng ML, Ng CH, Huang DQ, Chan KE, Tan DJ, Lim WH, et al. Global incidence and prevalence of nonalcoholic fatty liver disease. Clin Mol Hepatol. 2023 Feb;29(Suppl):S32-S42.    DOI: 10.3350/cmh.2022.0365    PMID: 36517002
  5. Le MH, Yeo YH, Li X, Li J, Zou B, Wu Y, et al. 2019 global NAFLD prevalence: A systematic review and meta-analysis. Clin Gastroenterol Hepatol. 2022 Dec;20(12):2809-2817.e28.    DOI: 10.1016/j.cgh.2021.12.002    PMID: 34890795
  6. Younossi Z, Anstee QM, Marietti M, Hardy T, Henry L, Eslam M, et al. Global burden of NAFLD and NASH: trends, predictions, risk factors and prevention. Nat Rev Gastroenterol Hepatol. 2018;15:11–20.    DOI: 10.1038/nrgastro.2017.109    PMID: 28930295
  7. Shah AS, Khan S, Rahim H, Chishti KA, Khan AG. Prevalence of non-alcoholic fatty liver and non-alcoholic steatohepatitis in Peshawar Cantonment, Khyber Pakhtunkhwa, Pakistan. Pak J Pharm Sci. 2018 Jan;31(1):193-198.    PMID: 29348103
  8. Lazarus JV, Mark HE, Villota-Rivas M, Palayew A, Carrieri P, Colombo M, et al. The global NAFLD policy review and preparedness index: Are countries ready to address this silent public health challenge? J Hepatol. 2022;76:771-780.    DOI: 10.1016/j.jhep.2021.10.025    PMID: 34895743
  9. Quek J, Chan KE, Wong ZY, Tan C, Tan B, Lim WH, et al. Global prevalence of non-alcoholic fatty liver disease and non-alcoholic steatohepatitis in the overweight and obese population: a systematic review and meta-analysis. Lancet Gastroenterol Hepatol. 2023;8:20–30.    DOI: 10.1016/S2468-1253(22)00317-X    PMID: 36400097
  10. Singh SP, Panigrahi MK, Patel A, Viswanathan L, Rath MM, Kar SK, et al. Comparison of clinical, biochemical, and histopathologic profiles between NAFLD in Asian-Indians and United States Adults. Euroasian J Hepatogastroenterol. 2022;12(Suppl 1):S15–S18.    DOI: 10.5005/jp-journals-10018-1362    PMID: 36466104
  11. Younossi ZM, Yilmaz Y, Yu ML, Wai-Sun Wong V, Fernandez MC, Isakov VA, et al. Clinical and patient-reported outcomes from patients with nonalcoholic fatty liver disease across the world: Data from the global non-alcoholic steatohepatitis (NASH)/non-alcoholic fatty liver disease (NAFLD) registry. Clin Gastroenterol Hepatol. 2022;20:2296–2306.e6.    DOI: 10.1016/j.cgh.2021.11.004    PMID: 34768009
  12. Duseja A, Chalasani N. Epidemiology and risk factors of nonalcoholic fatty liver disease (NAFLD). Hepatol Int. 2013;7 Suppl 2:755–764.    DOI: 10.1007/s12072-013-9480-x    PMID: 26202291
  13. Kapoor N, Audsley J, Rupali P, Sasadeusz J, Paul TV, Thomas N, et al. A gathering storm: HIV infection and nonalcoholic fatty liver disease in low and middle-income countries. AIDS. 2019;33:1105–1115.    DOI: 10.1097/QAD.0000000000002161    PMID: 31045941
  14. Bhala N, Younes R, Bugianesi E. Epidemiology and natural history of patients with NAFLD. Curr Pharm Des. 2013;19:5169–76. [DOI: 10.2174/13816128113199990336 PMID: 23394091.
  15. Wong VW. Nonalcoholic fatty liver disease in Asia: a story of growth. J Gastroenterol Hepatol. 2013;28(1):18–23. [DOI: 10.1111/jgh.12011 PMID: 23094755.
  16. Caussy C, Aubin A, Loomba R. The relationship between type 2 diabetes, nafld, and cardiovascular risk. Curr Diab Rep. 2021 Mar 19;21(5):15.    DOI: 10.1007/s11892-021-01383-7    PMID: 33742318
  17. Targher G, Byrne CD, Tilg H. NAFLD and increased risk of cardiovascular disease: clinical associations, pathophysiological mechanisms and pharmacological implications. Gut. 2020;69:1691–1705.    DOI: 10.1136/gutjnl-2020-320622    PMID: 32321858
  18. Kasper P, Martin A, Lang S, Kütting F, Goeser T, Demir M, et al. NAFLD and cardiovascular diseases: a clinical review. Clin Res Cardiol. 2021 Jul;110(7):921-937.    DOI: 10.1007/s00392-020-01709-7    PMID: 32696080
  19. Duell PB, Welty FK, Miller M, Chait A, Hammond G, Ahmad Z, et al. Nonalcoholic fatty liver disease and cardiovascular risk: A scientific statement from the American Heart Association. Arterioscler Thromb Vasc Biol. 2022;42:e168–e185.    DOI: 10.1161/ATV.0000000000000153    PMID: 35418240
  20. Targher G, Corey KE, Byrne CD. NAFLD, and cardiovascular and cardiac diseases: Factors influencing risk, prediction and treatment. Diabetes Metab. 2021;47:101215.    DOI: 10.1016/j.diabet.2020.101215    PMID: 33296704
  21. Ludwig J, Viggiano TR, McGill DB, Oh BJ. Nonalcoholic steatohepatitis: Mayo Clinic experiences with a hitherto unnamed disease. Mayo Clin Proc. 1980;55:434–438.    PMID: 7382552
  22. Cotter TG, Rinella M. Nonalcoholic fatty liver disease 2020: the state of the disease. Gastroenterology. 2020;158:1851–1864.    DOI: 10.1053/j.gastro.2020.01.052    PMID: 32061595
  23. Targher G. What’s past is prologue: History of nonalcoholic fatty liver disease. Metabolites. 2020;10:397.    DOI: 10.3390/metabo10100397    PMID: 33049948
  24. Méndez-Sánchez N, Díaz-Orozco LE. Editorial: international consensus recommendations to replace the terminology of non-alcoholic fatty liver disease (NAFLD) with metabolic-associated fatty liver disease (MAFLD). Med Sci Monit. 2021;27:e933860.    DOI: 10.12659/MSM.933860    PMID: 34248137
  25. Fouad Y, Waked I, Bollipo S, Gomaa A, Ajlouni Y, Attia D. What’s in a name? Renaming 'NAFLD' to 'MAFLD'. Liver Int. 2020;40:1254–1261.    DOI: 10.1111/liv.14478    PMID: 32301554
  26. Valenzuela-Vallejo L, Mantzoros CS. Time to transition from a negative nomenclature describing what NAFLD is not, to a novel, pathophysiology-based, umbrella classification of fatty liver disease (FLD). Metabolism. 2022;134:155246.    DOI: 10.1016/j.metabol.2022.155246    PMID: 35780909
  27. Fouad Y, Elwakil R, Elsahhar M, Said E, Bazeed S, Ali Gomaa A, et al. The NAFLD-MAFLD debate: Eminence vs evidence. Liver Int. 2021;41:255–260.    DOI: 10.1111/liv.14739    PMID: 33220154
  28. Eslam M, Newsome PN, Sarin SK, Anstee QM, Targher G, Romero-Gomez M, et al. A new definition for metabolic dysfunction-associated fatty liver disease: An international expert consensus statement. J Hepatol. 2020;73:202–209.    DOI: 10.1016/j.jhep.2020.03.039    PMID: 32278004
  29. Rinella ME, Lazarus JV, Ratziu V, Francque SM, Sanyal AJ, Kanwal F, et al. A multi-society Delphi consensus statement on new fatty liver disease nomenclature. Hepatology. 2023 Jun 24.    DOI: 10.1097/HEP.0000000000000520    PMID: 37363821
  30. Ito T, Ishigami M, Zou B, Tanaka T, Takahashi H, Kurosaki M, et al. The epidemiology of NAFLD and lean NAFLD in Japan: a meta-analysis with individual and forecasting analysis, 1995-2040. Hepatol Int. 2021;15:366–379.    DOI: 10.1007/s12072-021-10143-4    PMID: 33580453
  31. Zhou J, Zhou F, Wang W, Zhang XJ, Ji YX, Zhang P, et al. Epidemiological Features of NAFLD From 1999 to 2018 in China. Hepatology. 2020;71:1851–1864.    DOI: 10.1002/hep.31150    PMID: 32012320
  32. Zhou F, Zhou J, Wang W, Zhang XJ, Ji YX, Zhang P, et al. Unexpected Rapid Increase in the Burden of NAFLD in China From 2008 to 2018: A Systematic Review and Meta-Analysis. Hepatology. 2019;70:1119–1133.    DOI: 10.1002/hep.30702    PMID: 31070259
  33. Lee HW, Wong VW. Changing NAFLD Epidemiology in China. Hepatology 2019 Oct;70(4):1095-1098.    DOI: 10.1002/hep.30848.    PMID: 31298746
  34. Kalra S, Das AK, Tiwaskar M, Vg MP, Singh M. Assessment of prevalence and associated risk factors of NAFLD in people living with diabetes in India: A retrospective, multicenter, electronic medical records based study. J Assoc Physicians India. 2022;70:11-12.    DOI: 10.5005/japi-11001-0065    PMID: 36082727
  35. Kalra S, Vithalani M, Gulati G, Kulkarni CM, Kadam Y, Pallivathukkal J, et al. Study of prevalence of nonalcoholic fatty liver disease (NAFLD) in type 2 diabetes patients in India (SPRINT). J Assoc Physicians India. 2013;61:448–453.    PMID: 24772746
  36. Duseja A, Singh SP, De A, Madan K, Rao PN, Shukla A, et al. Indian National Association for Study of the Liver (INASL) Guidance Paper on Nomenclature, Diagnosis and Treatment of Nonalcoholic Fatty Liver Disease (NAFLD). J Clin Exp Hepatol. 2023;13:273–302.    DOI: 10.1016/j.jceh.2022.11.014    PMID: 36950481
  37. Estes C, Anstee QM, Arias-Loste MT, Bantel H, Bellentani S, Caballeria J, et al. Modeling NAFLD disease burden in China, France, Germany, Italy, Japan, Spain, United Kingdom, and United States for the period 2016-2030. J Hepatol. 2018;69:896–904.    DOI: 10.1016/j.jhep.2018.05.036    PMID: 29886156
  38. Huang TD, Behary J, Zekry A. Non-alcoholic fatty liver disease: a review of epidemiology, risk factors, diagnosis and management. Intern Med J. 2020;50:1038–1047.    DOI: 10.1111/imj.14709    PMID: 31760676
  39. Juanola O, Martínez-López S, Francés R, Gómez-Hurtado I. Non-alcoholic fatty liver disease: metabolic, genetic, epigenetic and environmental risk factors. Int J Environ Res Public Health. 2021;18:5227.    DOI: 10.3390/ijerph18105227    PMID: 34069012
  40. Mavromati M, Jornayvaz FR. Hypothyroidism-associated dyslipidemia: potential molecular mechanisms leading to NAFLD. Int J Mol Sci. 2021;22:12797.    DOI: 10.3390/ijms222312797    PMID: 34884625
  41. Lee CH, Lui DT, Lam KS. Non-alcoholic fatty liver disease and type 2 diabetes: An update. J Diabetes Investig. 2022;13:930–940.    DOI: 10.1111/jdi.13756    PMID: 35080136
  42. Muzurović E, Mikhailidis DP, Mantzoros C. Non-alcoholic fatty liver disease, insulin resistance, metabolic syndrome and their association with vascular risk. Metabolism. 2021;119:154770.    DOI: 10.1016/j.metabol.2021.154770    PMID: 33864798
  43. Meroni M, Longo M, Rustichelli A, Dongiovanni P. Nutrition and Genetics in NAFLD: The Perfect Binomium. Int J Mol Sci. 2020;21:2986.    DOI: 10.3390/ijms21082986    PMID: 32340286
  44. Ullah R, Rauf N, Nabi G, Ullah H, Shen Y, Zhou YD, et al. Role of nutrition in the pathogenesis and prevention of non-alcoholic fatty liver disease: recent updates. Int J Biol Sci. 2019;15:265–276.    DOI: 10.7150/ijbs.30121    PMID: 30745819
  45. Stefan N, Häring HU, Cusi K. Non-alcoholic fatty liver disease: causes, diagnosis, cardiometabolic consequences, and treatment strategies. Lancet Diabetes Endocrinol. 2019;7:313–324.    DOI: 10.1016/S2213-8587(18)30154-2    PMID: 30174213
  46. Cerreto M, Santopaolo F, Gasbarrini A, Pompili M, Ponziani FR. Bariatric surgery and liver disease: general considerations and role of the gut-liver axis. Nutrients. 2021;13:2649.    DOI: 10.3390/nu13082649    PMID: 34444807
  47. Pouwels S, Sakran N, Graham Y, Leal A, Pintar T, Yang W, et al. Non-alcoholic fatty liver disease (NAFLD): a review of pathophysiology, clinical management and effects of weight loss. BMC Endocr Disord. 2022;22:63.    DOI: 10.1186/s12902-022-00980-1    PMID: 35287643
  48. Yki-Järvinen H. Non-alcoholic fatty liver disease as a cause and a consequence of metabolic syndrome. Lancet Diabetes Endocrinol. 2014;2:901–910.    DOI: 10.1016/S2213-8587(14)70032-4    PMID: 24731669
  49. Buzzetti E, Pinzani M, Tsochatzis EA. The multiple-hit pathogenesis of non-alcoholic fatty liver disease (NAFLD). Metabolism. 2016;65:1038–1048.    DOI: 10.1016/j.metabol.2015.12.012    PMID: 26823198
  50. Wainwright P, Byrne CD. Bidirectional relationships and disconnects between nafld and features of the metabolic syndrome. Int J Mol Sci. 2016;17:367.    DOI: 10.3390/ijms17030367    PMID: 26978356
  51. Jahn D, Kircher S, Hermanns HM, Geier A. Animal models of NAFLD from a hepatologist's point of view. Biochim Biophys Acta Mol Basis Dis. 2019;1865:943–953.    DOI: 10.1016/j.bbadis.2018.06.023    PMID: 29990551
  52. Friedman SL, Neuschwander-Tetri BA, Rinella M, Sanyal AJ. Mechanisms of NAFLD development and therapeutic strategies. Nat Med. 2018;24:908–922.    DOI: 10.1038/s41591-018-0104-9    PMID: 29967350
  53. Cobbina E, Akhlaghi F. Non-alcoholic fatty liver disease (NAFLD) - pathogenesis, classification, and effect on drug metabolizing enzymes and transporters. Drug Metab Rev. 2017;49:197–211.    DOI: 10.1080/03602532.2017.1293683    PMID: 28303724
  54. Byrne CD, Targher G. NAFLD: a multisystem disease. J Hepatol. 2015;62. (1 Suppl):S47–64.    DOI: 10.1016/j.jhep.2014.12.012    PMID: 25920090
  55. Pafili K, Roden M. Nonalcoholic fatty liver disease (NAFLD) from pathogenesis to treatment concepts in humans. Mol Metab. 2021;50:101122.    DOI: 10.1016/j.molmet.2020.101122    PMID: 33220492
  56. Nassir F. NAFLD: Mechanisms, Treatments, and Biomarkers. Biomolecules. 2022;12:824.    DOI: 10.3390/biom12060824    PMID: 35740949
  57. Ioannou GN. The role of cholesterol in the pathogenesis of NASH. Trends Endocrinol Metab. 2016;27:84–95.    DOI: 10.1016/j.tem.2015.11.008    PMID: 26703097
  58. Diehl AM, Day C. Cause, Pathogenesis, and Treatment of Nonalcoholic Steatohepatitis. N Engl J Med. 2017;377:2063–2072.    DOI: 10.1056/NEJMra1503519    PMID: 29166236
  59. Flessa CM, Kyrou I, Nasiri-Ansari N, Kaltsas G, Papavassiliou AG, Kassi E, et al. Endoplasmic Reticulum Stress and Autophagy in the Pathogenesis of Non-alcoholic Fatty Liver Disease (NAFLD): Current Evidence and Perspectives. Curr Obes Rep. 2021;10:134–161.    DOI: 10.1007/s13679-021-00431-3    PMID: 33751456
  60. Eslam M, Valenti L, Romeo S. Genetics and epigenetics of NAFLD and NASH: Clinical impact. J Hepatol. 2018;68:268–279.    DOI: 10.1016/j.jhep.2017.09.003    PMID: 29122391
  61. Del Campo JA, Gallego-Durán R, Gallego P, Grande L. Genetic and epigenetic regulation in nonalcoholic fatty liver disease (NAFLD). Int J Mol Sci. 2018;19:911.    DOI: 10.3390/ijms19030911    PMID: 29562725
  62. Zhu X, Xia M, Gao X. Update on genetics and epigenetics in metabolic associated fatty liver disease. Ther Adv Endocrinol Metab. 2022;13:20420188221132138.    DOI: 10.1177/20420188221132138    PMID: 36325500
  63. Choudhary NS, Duseja A. Genetic and epigenetic disease modifiers: non-alcoholic fatty liver disease (NAFLD) and alcoholic liver disease (ALD). Transl Gastroenterol Hepatol. 2021;6:2.    DOI: 10.21037/tgh.2019.09.06    PMID: 33409397
  64. Botello-Manilla AE, Chávez-Tapia NC, Uribe M, Nuño-Lámbarri N. Genetics and epigenetics purpose in nonalcoholic fatty liver disease. Expert Rev Gastroenterol Hepatol. 2020;14:733–748.    DOI: 10.1080/17474124.2020.1780915    PMID: 32552211
  65. Pansa CC, Molica LR, Moraes KCM. Non-alcoholic fatty liver disease establishment and progression: genetics and epigenetics as relevant modulators of the pathology. Scand J Gastroenterol. 2023;58:521–533.    DOI: 10.1080/00365521.2022.2148835    PMID: 36426638
  66. Lonardo A, Singal AK, Osna N, Kharbanda KK. Effect of cofactors on NAFLD/NASH and MAFLD. A paradigm illustrating the pathomechanics of organ dysfunction. Metab Target Organ Damage. 2022;2:12.    DOI: 10.20517/mtod.2022.14    PMID: 36090199
  67. Barrow F, Khan S, Wang H, Revelo XS. The emerging role of B cells in the pathogenesis of NAFLD. Hepatology. 2021;74:2277–2286.    DOI: 10.1002/hep.31889    PMID: 33961302
  68. Brown GT, Kleiner DE. Histopathology of nonalcoholic fatty liver disease and nonalcoholic steatohepatitis. Metabolism. 2016;65:1080–1086.    DOI: 10.1016/j.metabol.2015.11.008    PMID: 26775559
  69. Bedossa P. Pathology of non-alcoholic fatty liver disease. Liver Int. 2017;37 Suppl 1:85–89.    DOI: 10.1111/liv.13301    PMID: 28052629
  70. Brunt EM, Kleiner DE, Carpenter DH, Rinella M, Harrison SA, Loomba R, et al. NAFLD: reporting histologic findings in clinical practice. Hepatology. 2021;73:2028–2038.    DOI: 10.1002/hep.31599    PMID: 33111374
  71. Kleiner DE. Histopathology, grading and staging of nonalcoholic fatty liver disease. Minerva Gastroenterol Dietol. 2018;64:28–38.    DOI: 10.23736/S1121-421X.17.02445-X    PMID: 28948754
  72. Takahashi Y, Fukusato T. Histopathology of nonalcoholic fatty liver disease/nonalcoholic steatohepatitis. World J Gastroenterol. 2014;20:15539–15548.    DOI: 10.3748/wjg.v20.i42.15539    PMID: 25400438
  73. Nascimbeni F, Ballestri S, Machado MV, Mantovani A, Cortez-Pinto H, Targher G, et al. Clinical relevance of liver histopathology and different histological classifications of NASH in adults. Expert Rev Gastroenterol Hepatol. 2018;12:351–367.    DOI: 10.1080/17474124.2018.1415756    PMID: 29224471
  74. Rastogi A, Shasthry SM, Agarwal A, Bihari C, Jain P, Jindal A, et al. Non-alcoholic fatty liver disease - histological scoring systems: a large cohort single-center, evaluation study. APMIS. 2017;125:962–973.    DOI: 10.1111/apm.12742    PMID: 29076589
  75. Schmitz SM, Kroh A, Ulmer TF, Andruszkow J, Luedde T, Brozat JF, et al. Evaluation of NAFLD and fibrosis in obese patients - a comparison of histological and clinical scoring systems. BMC Gastroenterol. 2020;20:254.    DOI: 10.1186/s12876-020-01400-1    PMID: 32758151
  76. Henry L, Paik J, Younossi ZM. Review article: the epidemiologic burden of non-alcoholic fatty liver disease across the world. Aliment Pharmacol Ther. 2022;56:942–956.    DOI: 10.1111/apt.17158    PMID: 35880713
  77. Li B, Zhang C, Zhan YT. Nonalcoholic fatty liver disease cirrhosis: a review of its epidemiology, risk factors, clinical presentation, diagnosis, management, and prognosis. Can J Gastroenterol Hepatol. 2018;2018:2784537.    DOI: 10.1155/2018/2784537    PMID: 30065915
  78. Zhu JZ, Hollis-Hansen K, Wan XY, Fei SJ, Pang XL, Meng FD, et al. Clinical guidelines of non-alcoholic fatty liver disease: A systematic review. World J Gastroenterol. 2016;22:8226–8233.    DOI: 10.3748/wjg.v22.i36.8226    PMID: 27688665
  79. Wong VW, Chan WK, Chitturi S, Chawla Y, Dan YY, Duseja A, et al. Asia-pacific working party on non-alcoholic fatty liver disease guidelines 2017-part 1: definition, risk factors and assessment. J Gastroenterol Hepatol. 2018;33:70–85.    DOI: 10.1111/jgh.13857    PMID: 28670712
  80. Papatheodoridi M, Cholongitas E. Diagnosis of non-alcoholic fatty liver disease (NAFLD): Current Concepts. Curr Pharm Des. 2018;24:4574–4586.    DOI: 10.2174/1381612825666190117102111    PMID: 30652642
  81. Piazzolla VA, Mangia A. Noninvasive diagnosis of NAFLD and NASH. Cells. 2020;9:1005.    DOI: 10.3390/cells9041005    PMID: 32316690
  82. Di Mauro S, Scamporrino A, Filippello A, Di Pino A, Scicali R, Malaguarnera R, et al. Clinical and Molecular Biomarkers for Diagnosis and Staging of NAFLD. Int J Mol Sci. 2021;22:11905.    DOI: 10.3390/ijms222111905    PMID: 34769333
  83. Ajmera V, Loomba R. Imaging biomarkers of NAFLD, NASH, and fibrosis. Mol Metab. 2021;50:101167.    DOI: 10.1016/j.molmet.2021.101167    PMID: 33460786
  84. Ferraioli G, Soares Monteiro LB. Ultrasound-based techniques for the diagnosis of liver steatosis. World J Gastroenterol. 2019;25:6053–6062.    DOI: 10.3748/wjg.v25.i40.6053    PMID: 31686762
  85. Castera L, Friedrich-Rust M, Loomba R. Noninvasive assessment of liver disease in patients with nonalcoholic fatty liver disease. Gastroenterology. 2019;156:1264–1281.e4.    DOI: 10.1053/j.gastro.2018.12.036    PMID: 30660725
  86. Estep JM, Birerdinc A, Younossi Z. Non-invasive diagnostic tests for non-alcoholic fatty liver disease. Curr Mol Med. 2010;10:166–172.    DOI: 10.2174/156652410790963321    PMID: 20196730
  87. Burt AD, Lackner C, Tiniakos DG. Diagnosis and Assessment of NAFLD: Definitions and Histopathological Classification. Semin Liver Dis. 2015;35:207–220.    DOI: 10.1055/s-0035-1562942    PMID: 26378639
  88. Hashimoto E, Tokushige K, Ludwig J. Diagnosis and classification of non-alcoholic fatty liver disease and non-alcoholic steatohepatitis: Current concepts and remaining challenges. Hepatol Res. 2015;45:20–28.    DOI: 10.1111/hepr.12333    PMID: 24661406
  89. Hashimoto E, Taniai M, Tokushige K. Characteristics and diagnosis of NAFLD/NASH. J Gastroenterol Hepatol. 2013;28 Suppl 4:64–70.    DOI: 10.1111/jgh.12271    PMID: 24251707
  90. Festi D, Schiumerini R, Marzi L, Di Biase AR, Mandolesi D, Montrone L, Scaioli E, Bonato G, Marchesini-Reggiani G, Colecchia A. Review article: the diagnosis of non-alcoholic fatty liver disease -- availability and accuracy of non-invasive methods. Aliment Pharmacol Ther. 2013;37:392–400.    DOI: 10.1111/apt.12186    PMID: 23278163
  91. Loomba R. Role of imaging-based biomarkers in NAFLD: Recent advances in clinical application and future research directions. J Hepatol. 2018;68:296–304.    DOI: 10.1016/j.jhep.2017.11.028    PMID: 29203392
  92. Tapper EB, Loomba R. Noninvasive imaging biomarker assessment of liver fibrosis by elastography in NAFLD. Nat Rev Gastroenterol Hepatol. 2018;15:274–282.    DOI: 10.1038/nrgastro.2018.10    PMID: 29463906
  93. Ferraioli G, Soares Monteiro LB. Ultrasound-based techniques for the diagnosis of liver steatosis. World J Gastroenterol. 2019;25:6053–6062.    DOI: 10.3748/wjg.v25.i40.6053    PMID: 31686762
  94. Zhang YN, Fowler KJ, Hamilton G, Cui JY, Sy EZ, Balanay M, et al. Liver fat imaging-a clinical overview of ultrasound, CT, and MR imaging. Br J Radiol. 2018;91:20170959. [PMID: 29722568 DOI: 10.1259/bjr.20170959].
  95. Younossi ZM, Loomba R, Anstee QM, Rinella ME, Bugianesi E, Marchesini G, et al. Diagnostic modalities for nonalcoholic fatty liver disease, nonalcoholic steatohepatitis, and associated fibrosis. Hepatology. 2018;68:349–360.    DOI: 10.1002/hep.29721    PMID: 29222917
  96. Amernia B, Moosavy SH, Banookh F, Zoghi G. FIB-4, APRI, and AST/ALT ratio compared to FibroScan for the assessment of hepatic fibrosis in patients with non-alcoholic fatty liver disease in Bandar Abbas, Iran. BMC Gastroenterol. 2021;21:453.    DOI: 10.1186/s12876-021-02038-3    PMID: 34861841
  97. Mikolasevic I, Orlic L, Franjic N, Hauser G, Stimac D, Milic S. Transient elastography (FibroScan(®)) with controlled attenuation parameter in the assessment of liver steatosis and fibrosis in patients with nonalcoholic fatty liver disease - Where do we stand? World J Gastroenterol. 2016;22:7236–7251.    DOI: 10.3748/wjg.v22.i32.7236    PMID: 27621571
  98. Selvaraj EA, Mózes FE, Jayaswal ANA, Zafarmand MH, Vali Y, Lee JA, et al. Diagnostic accuracy of elastography and magnetic resonance imaging in patients with NAFLD: A systematic review and meta-analysis. J Hepatol. 2021;75:770–785.    DOI: 10.1016/j.jhep.2021.04.044    PMID: 33991635
  99. Ozturk A, Olson MC, Samir AE, Venkatesh SK. Liver fibrosis assessment: MR and US elastography. Abdom Radiol (NY). 2022;47:3037–3050.    DOI: 10.1007/s00261-021-03269-4    PMID: 34687329
  100. Imajo K, Honda Y, Kobayashi T, Nagai K, Ozaki A, Iwaki M, et al. Direct comparison of US and MR elastography for staging liver fibrosis in patients with nonalcoholic fatty liver disease. Clin Gastroenterol Hepatol. 2022;20:908–917.e11.    DOI: 10.1016/j.cgh.2020.12.016    PMID: 33340780
  101. Masoodi M, Gastaldelli A, Hyötyläinen T, Arretxe E, Alonso C, Gaggini M, Brosnan J, Anstee QM, Millet O, Ortiz P, Mato JM, Dufour JF, Orešič M. Metabolomics and lipidomics in NAFLD: biomarkers and non-invasive diagnostic tests. Nat Rev Gastroenterol Hepatol. 2021;18:835–856.    DOI: 10.1038/s41575-021-00502-9    PMID: 34508238
  102. Mózes FE, Lee JA, Selvaraj EA, Jayaswal ANA, Trauner M, Boursier J, et al. Diagnostic accuracy of non-invasive tests for advanced fibrosis in patients with NAFLD: an individual patient data meta-analysis. Gut. 2022;71:1006–1019.    DOI: 10.1136/gutjnl-2021-324243    PMID: 34001645
  103. Vilar-Gomez E, Chalasani N. Non-invasive assessment of non-alcoholic fatty liver disease: Clinical prediction rules and blood-based biomarkers. J Hepatol. 2018;68:305–315.    DOI: 10.1016/j.jhep.2017.11.013    PMID: 29154965
  104. Patel K, Sebastiani G. Limitations of non-invasive tests for assessment of liver fibrosis. JHEP Rep. 2020;2:100067.    DOI: 10.1016/j.jhepr.2020.100067    PMID: 32118201
  105. Loomba R, Adams LA. Advances in non-invasive assessment of hepatic fibrosis. Gut. 2020;69:1343–1352.    DOI: 10.1136/gutjnl-2018-317593    PMID: 32066623
  106. Harrison SA, Ratziu V, Boursier J, Francque S, Bedossa P, Majd Z, et al. A blood-based biomarker panel (NIS4) for non-invasive diagnosis of non-alcoholic steatohepatitis and liver fibrosis: a prospective derivation and global validation study. Lancet Gastroenterol Hepatol. 2020;5:970–985.    DOI: 10.1016/S2468-1253(20)30252-1    PMID: 32763196
  107. Contreras D, González-Rocha A, Clark P, Barquera S, Denova-Gutiérrez E. Diagnostic accuracy of blood biomarkers and non-invasive scores for the diagnosis of NAFLD and NASH: Systematic review and meta-analysis. Ann Hepatol. 2023;28:100873.    DOI: 10.1016/j.aohep.2022.100873    PMID: 36371077
  108. Loomba R, Lim JK, Patton H, El-Serag HB. AGA clinical practice update on screening and surveillance for hepatocellular carcinoma in patients with nonalcoholic fatty liver disease: expert review. Gastroenterology. 2020;158:1822–1830.    DOI: 10.1053/j.gastro.2019.12.053    PMID: 32006545
  109. Eskridge W, Vierling JM, Gosbee W, Wan GA, Hyunh ML, Chang HE. Screening for undiagnosed non-alcoholic fatty liver disease (NAFLD) and non-alcoholic steatohepatitis (NASH): A population-based risk factor assessment using vibration controlled transient elastography (VCTE). PLoS One. 2021;16:e0260320.    DOI: 10.1371/journal.pone.0260320    PMID: 34847156
  110. Arab JP, Dirchwolf M, Álvares-da-Silva MR, Barrera F, Benítez C, Castellanos-Fernandez M, et al. Latin American Association for the study of the liver (ALEH) practice guidance for the diagnosis and treatment of non-alcoholic fatty liver disease. Ann Hepatol. 2020;19:674–690.    DOI: 10.1016/j.aohep.2020.09.006    PMID: 33031970
  111. European Association for the Study of the Liver (EASL); European Association for the Study of Diabetes (EASD); European Association for the Study of Obesity (EASO). EASL-EASD-EASO Clinical Practice Guidelines for the management of non-alcoholic fatty liver disease. Diabetologia. 2016;59:1121–1140. [PMID: 27053230 DOI: 10.1007/s00125.
  112. Mann JP, Valenti L, Scorletti E, Byrne CD, Nobili V. Nonalcoholic Fatty Liver Disease in Children. Semin Liver Dis. 2018;38:1–13.    DOI: 10.1055/s-0038-1627456    PMID: 29471561
  113. Vos MB, Abrams SH, Barlow SE, Caprio S, Daniels SR, Kohli R, et al. NASPGHAN Clinical Practice Guideline for the Diagnosis and Treatment of Nonalcoholic Fatty Liver Disease in Children: Recommendations from the Expert Committee on NAFLD (ECON) and the North American Society of Pediatric Gastroenterology, Hepatology and Nutrition (NASPGHAN). J Pediatr Gastroenterol Nutr. 2017;64:319–334.    DOI: 10.1097/MPG.0000000000001482    PMID: 28107283
  114. Draijer L, Benninga M, Koot B. Pediatric NAFLD: an overview and recent developments in diagnostics and treatment. Expert Rev Gastroenterol Hepatol. 2019;13:447–461.    DOI: 10.1080/17474124.2019.1595589    PMID: 30875479
  115. de Caprariis PJ, DiMaio A. NAFLD in Children and Adolescents. Am Fam Physician. 2021;103:452–453.    PMID: 33856174
  116. Fang YL, Chen H, Wang CL, Liang L. Pathogenesis of non-alcoholic fatty liver disease in children and adolescence: From "two hit theory" to "multiple hit model". World J Gastroenterol. 2018;24:2974–2983.    DOI: 10.3748/wjg.v24.i27.2974    PMID: 30038464
  117. Nobili V, Alisi A, Valenti L, Miele L, Feldstein AE, Alkhouri N. NAFLD in children: new genes, new diagnostic modalities and new drugs. Nat Rev Gastroenterol Hepatol. 2019;16:517–530.    DOI: 10.1038/s41575-019-0169-z    PMID: 31278377
  118. Anderson EL, Howe LD, Jones HE, Higgins JP, Lawlor DA, Fraser A. The prevalence of non-alcoholic fatty liver disease in children and adolescents: a systematic review and meta-analysis. PLoS One. 2015;10:e0140908.    DOI: 10.1371/journal.pone.0140908    PMID: 26512983
  119. Shaunak M, Byrne CD, Davis N, Afolabi P, Faust SN, Davies JH. Non-alcoholic fatty liver disease and childhood obesity. Arch Dis Child. 2021;106:3–8.    DOI: 10.1136/archdischild-2019-318063    PMID: 32409495
  120. Eslam M, Alkhouri N, Vajro P, Baumann U, Weiss R, Socha P, et al. Defining paediatric metabolic (dysfunction)-associated fatty liver disease: an international expert consensus statement. Lancet Gastroenterol Hepatol. 2021;6:864–873.    DOI: 10.1016/S2468-1253(21)00183-7    PMID: 34364544
  121. Xanthakos SA. Nonalcoholic steatohepatitis in children. Clin Liver Dis. 2022;26:439–460.    DOI: 10.1016/j.cld.2022.05.001    PMID: 35868684
  122. Xu R, Pan J, Zhou W, Ji G, Dang Y. Recent advances in lean NAFLD. Biomed Pharmacother. 2022;153:113331.    DOI: 10.1016/j.biopha.2022.113331    PMID: 35779422
  123. Chen F, Esmaili S, Rogers GB, Bugianesi E, Petta S, Marchesini G, et al. Lean NAFLD: A distinct entity shaped by differential metabolic adaptation. Hepatology. 2020;71:1213–1227.    DOI: 10.1002/hep.30908    PMID: 31442319
  124. Vilarinho S, Ajmera V, Zheng M, Loomba R. Emerging Role of Genomic Analysis in Clinical Evaluation of Lean Individuals With NAFLD. Hepatology. 2021;74:2241–2250.    DOI: 10.1002/hep.32047    PMID: 34233030
  125. Lin H, Wong GL, Whatling C, Chan AW, Leung HH, Tse CH, et al. Association of genetic variations with NAFLD in lean individuals. Liver Int. 2022;42:149–160.    DOI: 10.1111/liv.15078    PMID: 34610207
  126. Wang W, Ren J, Zhou W, Huang J, Wu G, Yang F, et al. Lean non-alcoholic fatty liver disease (Lean-NAFLD) and the development of metabolic syndrome: a retrospective study. Sci Rep. 2022;12:10977.    DOI: 10.1038/s41598-022-14701-0    PMID: 35768441
  127. Maier S, Wieland A, Cree-Green M, Nadeau K, Sullivan S, Lanaspa MA, et al. Lean NAFLD: an underrecognized and challenging disorder in medicine. Rev Endocr Metab Disord. 2021;22:351–366.    DOI: 10.1007/s11154-020-09621-1    PMID: 33389543
  128. Long MT, Noureddin M, Lim JK. AGA clinical practice update: diagnosis and management of nonalcoholic fatty liver disease in lean individuals: expert review. Gastroenterology. 2022;163:764–774.e1.    DOI: 10.1053/j.gastro.2022.06.023    PMID: 35842345
  129. Younes R, Bugianesi E. NASH in lean individuals. Semin Liver Dis. 2019;39:86–95.    DOI: 10.1055/s-0038-1677517    PMID: 30654392
  130. Francque S, Wong VW. NAFLD in lean individuals: not a benign disease. Gut. 2022;71:234–236.    DOI: 10.1136/gutjnl-2021-324162    PMID: 33712438
  131. Basaranoglu M. Lean and nonobese NAFLD/NASH from a hepatologist’s point of view. J Clin Gastroenterol. 2021;55:93–94.    DOI: 10.1097/MCG.0000000000001428    PMID: 32925302
  132. Chakrabarty M, Jha AN, Sharma DJ. Clinical characteristics and metabolic profiles of non-alcoholic fatty liver disease (NAFLD) in lean patients and their comparison with obese and overweight NAFLD. J Assoc Physicians India. 2022;70:11–12.    PMID: 35443531
  133. Wang AY, Dhaliwal J, Mouzaki M. Lean non-alcoholic fatty liver disease. Clin Nutr. 2019;38:975–981.    DOI: 10.1016/j.clnu.2018.08.008    PMID: 30466956
  134. Niriella MA, Kasturiratne A, Pathmeswaran A, De Silva ST, Perera KR, Subasinghe SKCE, et al. Lean non-alcoholic fatty liver disease (lean NAFLD): characteristics, metabolic outcomes and risk factors from a 7-year prospective, community cohort study from Sri Lanka. Hepatol Int 2019;13:314-322.    DOI: 10.1007/s12072-018-9916-4    PMID: 30539516
  135. Mitra S, De A, Chowdhury A. Epidemiology of non-alcoholic and alcoholic fatty liver diseases. Transl Gastroenterol Hepatol. 2020;5:16.    DOI: 10.21037/tgh.2019.09.08    PMID: 32258520
  136. Targher G, Byrne CD, Tilg H. NAFLD and increased risk of cardiovascular disease: clinical associations, pathophysiological mechanisms and pharmacological implications. Gut. 2020 69:1691–1705.    DOI: 10.1136/gutjnl-2020-320622    PMID: 32321858
  137. Kasper P, Martin A, Lang S, Kütting F, Goeser T, Demir M, et al. NAFLD and cardiovascular diseases: a clinical review. Clin Res Cardiol. 2021;110:921–937.    DOI: 10.1007/s00392-020-01709-7    PMID: 32696080
  138. Liyanagedera S, Williams RP, Veraldi S, Nobili V, Mann JP. The pharmacological management of NAFLD in children and adolescents. Expert Rev Clin Pharmacol 2017;10:1225-1237.    DOI: 10.1080/17512433.2017.1365599    PMID: 28803504
  139. Maya-Miles D, Ampuero J, Gallego-Durán R, Dingianna P, Romero-Gómez M. Management of NAFLD patients with advanced fibrosis. Liver Int. 2021;41 Suppl 1:95–104.    DOI: 10.1111/liv.14847    PMID: 34155801
  140. Cardoso AC, de Figueiredo-Mendes C, A Villela-Nogueira C. Current management of NAFLD/NASH. Liver Int. 2021;41 Suppl 1:89–94.    DOI: 10.1111/liv.14869    PMID: 34155799
  141. Aller R, Fernández-Rodríguez C, Lo Iacono O, Bañares R, Abad J, Carrión JA, et al. Consensus document. Management of non-alcoholic fatty liver disease (NAFLD). Clinical practice guideline. Gastroenterol Hepatol. 2018;41:328–349. [PMID: 29631866 DOI: 10.1016/j.gastrohep.2017.12.003].
  142. Wong VWS, Zelber-Sagi S, Cusi K, Carrieri P, Wright E, Crespo J, et al. Management of NAFLD in primary care settings. Liver Int. 2022;42:2377–2389.    DOI: 10.1111/liv.15404    PMID: 35986897
  143. Rinella ME, Sanyal AJ. Management of NAFLD: a stage-based approach. Nat Rev Gastroenterol Hepatol. 2016;13:196–205.    DOI: 10.1038/nrgastro.2016.3    PMID: 26907882
  144. Chalasani N, Younossi Z, Lavine JE, Charlton M, Cusi K, Rinella M, et al. The diagnosis and management of nonalcoholic fatty liver disease: practice guidance from the american association for the study of liver diseases. Hepatology. 2018;67:328–357.    DOI: 10.1002/hep.29367    PMID: 28714183
  145. Cusi K, Isaacs S, Barb D, Basu R, Caprio S, Garvey WT, et al. American Association of Clinical Endocrinology Clinical Practice Guideline for the Diagnosis and Management of Nonalcoholic Fatty Liver Disease in Primary Care and Endocrinology Clinical Settings: Co-Sponsored by the American Association for the Study of Liver Diseases (AASLD). Endocr Pract. 2022;28:528–562.    DOI: 10.1016/j.eprac.2022.03.010    PMID: 35569886
  146. Tokushige K, Ikejima K, Ono M, Eguchi Y, Kamada Y, Itoh Y, et al. J Gastroenterol 2021;56:951-963.    DOI: 10.1007/s00535-021-01796-x    PMID: 34533632
  147. Nakatsuka T, Tateishi R, Koike K. Changing clinical management of NAFLD in Asia. Liver Int. 2022;42:1955–1968.    DOI: 10.1111/liv.15046    PMID: 34459096
  148. Kanwal F, Shubrook JH, Adams LA, Pfotenhauer K, Wai-Sun Wong V, Wright E, et al. Clinical care pathway for the risk stratification and management of patients with nonalcoholic fatty liver disease. Gastroenterology. 2021;161:1657–1669.    DOI: 10.1053/j.gastro.2021.07.049    PMID: 34602251
  149. Mantovani A, Dalbeni A. Treatments for NAFLD: State of art. Int J Mol Sci. 2021 Feb 26;22:2350.    DOI: 10.3390/ijms22052350    PMID: 33652942
  150. Leoni S, Tovoli F, Napoli L, Serio I, Ferri S, Bolondi L. Current guidelines for the management of non-alcoholic fatty liver disease: A systematic review with comparative analysis. World J Gastroenterol. 2018; 24:3361–3373.    DOI: 10.3748/wjg.v24.i30.3361    PMID: 30122876
  151. Lazarus JV, Anstee QM, Hagström H, Cusi K, Cortez-Pinto H, Mark HE, et al. Defining comprehensive models of care for NAFLD. Nat Rev Gastroenterol Hepatol. 2021;18:717–729.    DOI: 10.1038/s41575-021-00477-7    PMID: 34172937
  152. Hashem A, Khalouf A, Acosta A. Management of obesity and nonalcoholic fatty liver disease: a literature review. Semin Liver Dis. 2021;41:435–44.7.    DOI: 10.1055/s-0041-1731704    PMID: 34243193
  153. Doumas M, Imprialos K, Dimakopoulou A, Stavropoulos K, Binas A, Athyros VG. The Role of Statins in the Management of Nonalcoholic Fatty Liver Disease. Curr Pharm Des. 2018;24:4587–4592.    DOI: 10.2174/1381612825666190117114305    PMID: 30652643
  154. Kumar S, Wong R, Newberry C, Yeung M, Peña JM, Sharaiha RZ. Multidisciplinary clinic models: a paradigm of care for management of NAFLD. Hepatology. 2021;74:3472–3478.    DOI: 10.1002/hep.32081    PMID: 34324727
  155. Vos MB, Abrams SH, Barlow SE, Caprio S, Daniels SR, Kohli R, et al. NASPGHAN Clinical Practice Guideline for the Diagnosis and Treatment of Nonalcoholic Fatty Liver Disease in Children: Recommendations from the Expert Committee on NAFLD (ECON) and the North American Society of Pediatric Gastroenterology, Hepatology and Nutrition (NASPGHAN). J Pediatr Gastroenterol Nutr. 2017;64:319–334.    DOI: 10.1097/MPG.0000000000001482    PMID: 28107283
  156. Basu R, Noureddin M, Clark JM. Nonalcoholic fatty liver disease: review of management for primary care providers. Mayo Clin Proc. 2022;97:1700–1716.    DOI: 10.1016/j.mayocp.2022.04.005    PMID: 36058582
  157. Targher G, Tilg H, Byrne CD. Non-alcoholic fatty liver disease: a multisystem disease requiring a multidisciplinary and holistic approach. Lancet Gastroenterol Hepatol. 2021;6:578–588.    DOI: 10.1016/S2468-1253(21)00020-0    PMID: 33961787