Abstract

This report describes a 68-year-old woman with non-cystic fibrosis bronchiectasis (“bronchiectasis”) associated with nontuberculous mycobacteria (NTM) infection. She presented with cough, expectoration, bronchiectasis, and a negative QuantiFERON tuberculosis (QFT) test. But her sputum and bronchoalveolar lavage fluid (BALF) tested acid-fast bacilli (AFB) positive. The patient had a nine-year history of autoimmune liver disease and was diagnosed with liver cirrhosis for 1 year. Metagenomics next generation sequencing (mNGS) of her BALF sample reported positive for NTM and Pseudomonas aeruginosa (PA). According to the patient's clinical features and consultations with respiratory and tuberculosis specialists, the patient was not prescribed anti-tuberculosis treatment. Rather, her symptoms improved with anti-PA treatment. This case report also emphasizes the importance of avoiding anti-tuberculosis treatment immediately after an initial diagnosis of non-tuberculous mycobacterial pneumonia.

Key words: infection, non-tuberculosis mycobacterium

INTRODUCTION

Nontuberculous mycobacterial pulmonary disease (NTM-PD) is becoming more prevalent, especially in the elderly. Although a potential lung disease is a recognized risk factor for NTM-PD, it may occur in healthy people. There are multiple ways to cause host susceptibility to NTM-PD and it may further interact with environmental and microbial factors, leading to development of the disease.[1]

The diagnosis of NTM-PD depends on a combination of clinical, radiological and microbiological results. However, the prognosis may vary. Some patients remain stable without any treatment, while others develop considerable mortality and morbidity. The treatment plan is based on identification of the isolated species, drug sensitivity tests and severity of the disease. It usually requires a long-term treatment but the patients' compliance with medications is low.[2] Hence, an accurate regime is essential to diagnose and treat NTM-PD.[3]

CASE INFORMATION

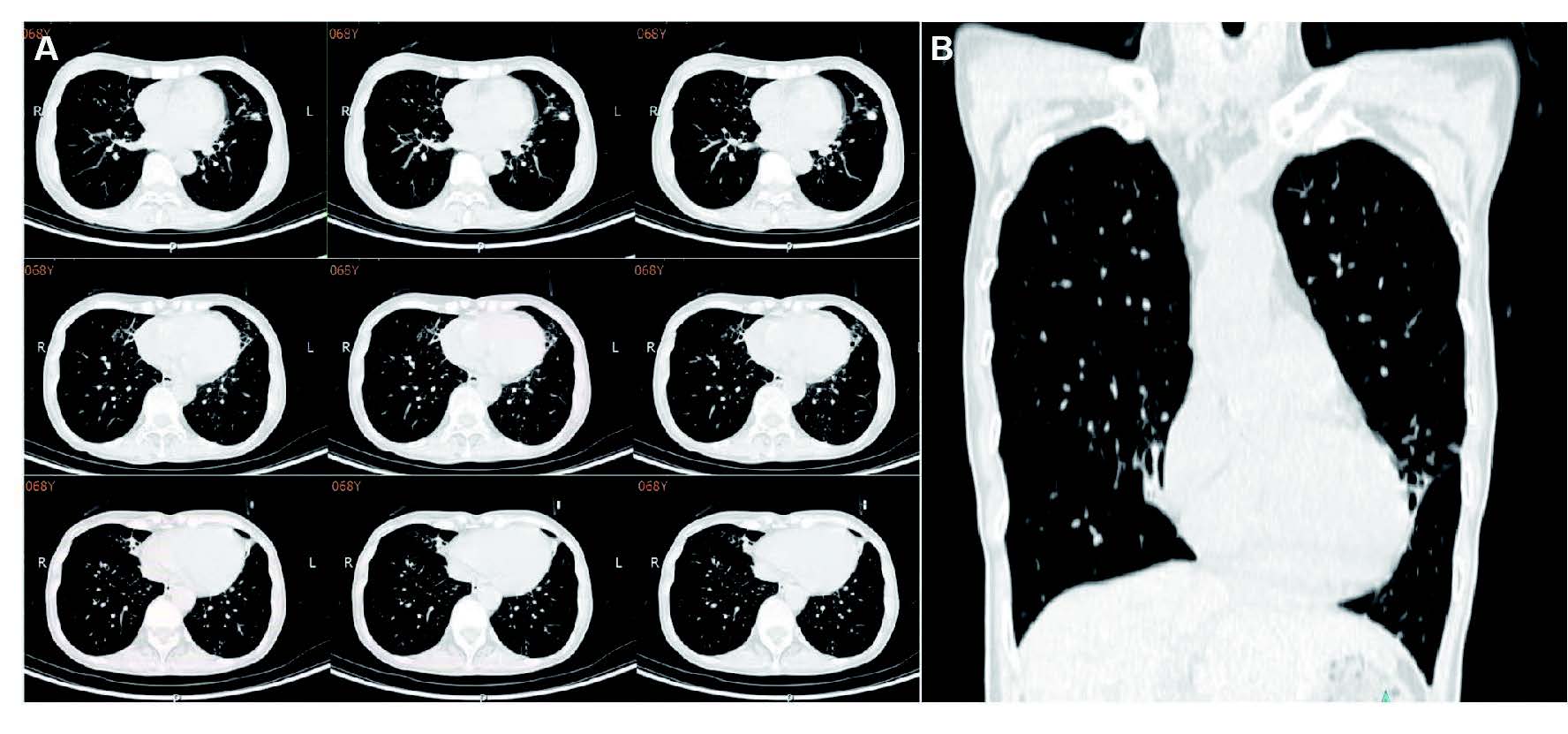
A 68-year-old female patient was admitted to respiratory department of our hospital for repeated cough and expectoration for 20 years, with her symptoms worsening for past 3 weeks. The patient had cough with white sticky sputum without hemoptysis, chest tightness, shortness of breath or fever. She visited outpatient department (OPD) of our hospital and underwent chest CT which showed bronchiectasis. After 2020, the symptoms recurred twice every year. The patient visited another hospital and was diagnosed as bronchiectasis with infection. After receiving intravenous antibiotics, her symptoms improved. One year ago, she began to cough up yellow purulent sputum with no fever. She went to the hospital again and took oral Levofloxacin intermittently, which improved her symptoms. On June 2022, the patient visited OPD of our hospital. Her chest CT showed scattered patchy opacities over bilateral lungs and bronchiectasis of middle lobe of right lung and lingual of left lung (Figure 1). She was given oral anti-inflammatory drugs for one week. However, after taking it, she still had expectoration and chest tightness, without fever or shortness of breath. So, she was admitted to our hospital for a treatment. Since the onset of the disease, the patient had a sound sleep, normal appetite, bowel and bladder habits and no significant weight loss.

Figure 1
Figure 1: Chest CT imaging. (A) Chest CT scan showed scattered patchy opacities over bilateral lungs and bronchiectasis of middle lobe of right lung and lingual of left lung. (B) Sagittal chest CT imaging.

Two years ago, the patient was prescribed prednisone 40 mg/day which was tapered to 10 mg/day as a maintenance dose for her autoimmune liver disease. She was also diagnosed with liver cirrhosis a year ago and osteoporosis half a year ago. She had cholecystitis about five years ago. There is no history of hypertension, diabetes, coronary heart disease, chronic bronchitis, gallstone, surgical trauma, or blood transfusion. She denied history of smoking, drinking alcohol, drug addiction, and exposure to contaminated water in epidemic areas, industrial poisons, dust, or radioactive substances. She had not contact with any birds, poultry, or horses directly. She neither shopped at any alive bird markets, nor had friends or relatives with pet birds. She also denied history of drug or food allergy.

When the patient was admitted to respiratory ward, her vital signs were within normal range. Physical examination revealed bilateral submandibular lymphadenopathy. Breath sound of both lungs were rough and dry, but wet rales were absent at both lower lungs. There was no audible heart murmur. She did not have neck stiffness. Tenderness and hepatosplenomegaly weren’t detected on liver palpation.

Laboratory investigation data reported platelet count of 87 × 109/L with 0 eosinophil in routine blood examination. Arterial blood gas analysis showed partial pressure of oxygen 124.00 mmHg, methemoglobin 0.70%, alveolar-arterial oxygen gradient 0 mmHg. Blood biochemistry revealed urea nitrogen 8.90 mmol/L. Myoglobin 21.34 ng/mL and N-terminal anterior B-type natriuretic peptide 476.30 pg/mL. Liver function test, electrolyte, routine urine test, blood coagulation, fungi (1-3)-β Glucan, erythrocyte sedimentation rate (ESR), routine stool test, QuantiFERON tuberculosis (QFT) test and asthma screening test (total Immunoglobulin E [IgE] 9.35 kU/L, inhalation allergen 0.02 kUA/L, food allergen 0.14 kUA/L, Aspergillus fumigatus 0.03 kUA/L, Alternaria alternata 0.01 kUA/L, mold mixture 0.07 kUA/L) were negative. Purified protein derivative (PPD) skin test and tumor markers were negative. All the indicators were negative for routine laboratory screening (such as anti-extractable nuclear antigen antibody and anti-neutrophilic cytoplasmic antibody) for autoimmune diseases. On second day of admission, sputum smear for acid-fast bacilli (AFB) was positive (1+).

After five days, the patient underwent electronic bronchoscopy which showed normal vocal cords, trachea, and bronchus. Main carnia appeared sharp and bilateral bronchial tree were unobstructed. Mucosa was smooth without any hemorrhage but with abundant mucus (Figure 2). Bronchoalveolar lavage fluid (BALF) sample was extracted by brushing at middle lobe of the right lung. It was then examined by AFB smear, polymerase chain reaction (melting curve method), Xpert MTB/RIF (Xpert MTB/RIF assay is an automated, single-cartridge-based nucleic acid amplification test that is able to simultaneously detect M. tuberculosis and rifampicin resistance within 2 to 3 hours), bacterial and fungi culture. The results were all negative except AFB which was positive (2+). The sputum collected after bronchoscopy was also positive (1+). Unbiased metagenomics next generation sequencing (mNGS) of the BALF identified 42 sequence reads corresponding to Pseudomonas aeruginosa (PA) and 74 sequence reads corresponding to mycobacterium intracellularis (Table 1).

Figure 2
Figure 2: Electronic bronchoscopy which showed normal vocal cords, trachea and bronchus. Main carnia appeared sharp and bilateral bronchial tree were unobstructed. Mucosa was smooth without any hemorrhage but with abundant mucus.

Table 1: Metagenomics next generation sequencing report
Items Result Sequences
Bacteria Pseudomonas aeruginosa 42 sequences
Streptococcous parasanguinis 3 sequences
Pervotella nigrescens 8 sequences
Fungi Candida tropicalis 1 sequence
Mycobacterium Mycobacterium intracellulare 72 sequences
Other Pathogens None -

Her final diagnosis was “non-cystic fibrosis bronchiectasis associated with nontuberculous mycobacteria (NTM) and PA infection, autoimmune liver disease and secondary thrombocytopenia”. After consultations with pulmonologist and tuberculosis specialists, considering her present lung lesions and history of liver cirrhosis, we decided giving her anti-PA treatment rather than antituberculosis treatment. The patient expressed an inf or med understanding and agreed with us. She was treated with intravenous piperacillin tazobactam for PA, and bromhexine for cough and expectoration. We observed changes of her lung lesions via chest CT simultaneously.

After the treatment, the patient was discharged with oral medications and she followed up routinely at our outpatient department (OPD). The culture of BALF and sputum showed growth of NTM (slow-growing mycobacterium) after 3 weeks (Figure 3).

Figure 3
Figure 3: The positive results of culture and smear. (A) BALF rapid fluorescent staining under 200 times magnification. (B) NTM colonies after 3 weeks of BALF culture. (C) AFB positive NTM colonies under 1,000 times magnification with oil immersion. BALF: bronchoalveolar lavage fluid, NTM: nontuberculous mycobacteria, AFB: acid-fast bacilli.

DISCUSSION

Infections with opportunistic pathogen such NTM has been prevailing in recent years. The incidence of NTM-PD has shown a rapid raise, especially in developed countries with low tuberculosis epidemic. Isolation rate of NTM has exceeded Mycobacterium tuberculosis complex (MTBC). The prevalence appears to vary widely across the globe, particularly in the USA and Japan which are 23–37 and 33–65 cases per 100,000 people yearly respectively.[4,5]

Pulmonary infection is the most common clinical manifestation of NTM infection. A number of risk factors for NTM-PD have been identified, predominantly structural lung diseases such as bronchiectasis, chronic obstructive lung disease and interstitial lung disease.[6] Increasing age and female gender are strong risk factors for NTM-PD with a dramatic increase in prevalence.[4,6] NTM mostly has a chronic course but can also manifest acutely. The clinical symptoms and pulmonary imaging of patients with tuberculosis and NTM-PD are similar along with a positive AFB of sputum of the patients. If no further bacterial identification is made, it can be misdiagnosed as mycobacterium tuberculosis infection.[3,7]

Literature has shown that patients with pre-existing bronchiectasis are more likely to acquire NTM infection.[7,8] In our previous study, consecutive AFB smear-positive patients in the Respiratory Department of Shanghai Pulmonary Hospital from January 2019 to February 2020 were retrospectively analyzed and multivariate regression showed gender, bronchiectasis, negative test for QF T and right middle lobe lesion in chest HRCT were independent risk factors for NTM (P < 0.05).[8] If a patient has those characteristics, it would suggest a high possibility of NTM infection (93.4% specific).[8] According to Chang et al., among the patients with AFB smear-positive sputum but no PTB, 18.5% were diagnosed as NTM-PD and 32% were afflicted with NTM colonization.[9] This case is an example of bronchiectasis female patient with negative test for QFT, and her chest CT showed bronchiectasis of middle lobe of right lung and lingual of left lung, which suggested a high possibility of NTM infection, and the final detection result has demonstrated.

NTM-PD, unlike tuberculosis, may not mandatorily require a treatment. The patients may meet the diagnostic criteria of NTM-PD, but there may be no progression or lack severity requiring a treatment.[4] In a study of mycobacterium avium complex (MAC) patients, nearly a quarter of patients remained stable for 3 years without any treatment.[10] Another study with serial CTs restricted to nodular bronchiectatic MAC, half of patients remained stable without treatment until a mean of 32 months follow-up.[11] In countries with a high incidence rate of tuberculosis, such as China, once a patient gets a positive AFB smear result, he/she is highly likely to be diagnosed as pulmonary tuberculosis (PTB) and receive anti-tuberculosis treatment, often resulting undesirable side effects and a significant financial burden. Therefore, difficulties in the diagnosis may lead to inappropriate treatment.

According to the official ATS/ERS/ESCMID/IDSA clinical practice guideline published in 2020,[2] anti-mycobacterium treatment should comprehensively consider clinical factors (NTM pulmonary disease with positive AFB for sputum and cavitary lung lesions in imaging), bacterial species identification and the principle of individualization of patients' choice. The guideline remarked any treatment decision should include a discussion with the patient that outlines potential side effects of antimicrobial therapy, the uncertainties surrounding benefits of the therapy, and a potential for recurrence including reinfection (particularly in setting of nodular/bronchiectatic disease).[2,12]

With a rapid development of molecular diagnostics of tuberculosis, mNGS has become important and rather irreplaceable approach in early diagnosis of atypical tuberculosis and NTM-PD. We used it so the patient can avoid unnecessary anti-tuberculosis treatment.

CONCLUSION

This article describes a 68-year-old Asian woman with right middle and left lingual lobe bronchiectasis with QFT(-), sputum and BALF AFB(+); and the pathogenic organisms detected as NTM and PA by mNGS. It is one of the fastest detection methods for such patients to identify pathogens early. For female patients with bronchiectasis, the lesions are prone to exist in non-tuberculosis areas. Even with the sputum or BALF sample showing a positive AFB result, we still need to suspect NTM.

DECLARATIONS

Source of funding

The authors wish to acknowledge grants from National Science Foundation of China (No.82100073, 82272007).

Author contributions

Yuan Zhang and Jingyun Shi are the guarantor of the paper and take responsibility for the integrity of the work as a whole, from inception to published article. Yuan Zhang, Mengmeng Zhao, Surendra Shrestha, and Qiuliang Ji conceived the idea for this manuscript and participated in editing the manuscript. All authors made critical revisions. All authors approved the final version of the manuscript. None of the listed authors have any relevant conflicts of interest, financial or otherwise. The sponsor had no role on the conception of this work.

Ethics approval and consent to participate

The study was approved by the Institutional Review Boards of Shanghai Pulmonary Hospital (Approval No. k15-189). Informed consent was obtained from the subject.

Conflicts of interest

The authors declare no competing interests.

REFERENCES

  1. Cowman S, van Ingen J, Griffith DE, Loebinger MR. Nontuberculous mycobacterial pulmonary disease. Eur Respir J 2019;54:1900250.    DOI: 10.1183/13993003.00250-2019    PMID: 31221809
  2. Daley CL, Iaccarino JM, Lange C, Cambau E, Wallace RJ Jr, Andrejak C, et al. Treatment of nontuberculous mycobacterial pulmonary disease: an official ATS/ERS/ESCMID/IDSA clinical practice guideline. Eur Respir J 2020;56:2000535.    DOI: 10.1183/13993003.00535-2020    PMID: 32636299
  3. Marras TK, Mendelson D, Marchand-Austin A, May K, Jamieson FB. Pulmonary nontuberculous mycobacterial disease, Ontario, Canada, 1998-2010. Emerg Infect Dis 2013;19:1889-1891.    DOI: 10.3201/eid1911.130737    PMID: 24210012
  4. Adjemian J, Olivier KN, Seitz AE, Holland SM, Prevots DR. Prevalence of nontuberculous mycobacterial lung disease in U.S. Medicare beneficiaries. Am J Respir Crit Care Med 2012;185:881- 886.    DOI: 10.1164/rccm.201111-2016OC    PMID: 22312016
  5. Morimoto K, Iwai K, Uchimura K, Okumura M, Yoshiyama T, Yoshimori K, et al. A steady increase in nontuberculous mycobacteriosis mortality and estimated prevalence in Japan. Ann Am Thorac Soc 2014;11:1-8.    DOI: 10.1513/AnnalsATS.201303-067OC    PMID: 24102151
  6. Zhu YN, Xie JQ, He XW, Peng B, Wang CC, Zhang GJ, et al. Prevalence and clinical characteristics of nontuberculous mycobacteria in patients with bronchiectasis: a systematic review and meta-analysis. Respiration 2021;100:1218-1229.    DOI: 10.1159/000518328    PMID: 34515207
  7. Ringshausen FC, Wagner D, de Roux A, Diel R, Hohmann D, Hickstein L, et al. Prevalence of nontuberculous mycobacterial pulmonary disease, Germany, 2009-2014. Emerg Infect Dis 2016;22:1102-1105.    DOI: 10.3201/eid2206.151642    PMID: 27191473
  8. Chen X, Zhang Y, Xu J, Li H. Establishment and validation of a predictive model for nontuberculous mycobacterial infections in acid-fast bacilli smear-positive patients. Clin Respir J 2021;15:1147-1157.    DOI: 10.1111/crj.13420    PMID: 34265149
  9. Chang CY, Hong JY, Yuan MK, Chang SJ, Lee YM, Chang SC, et al. Risk factors in patients with AFB smear-positive sputum who receive inappropriate antituberculous treatment. Drug Des Devel Ther 2013;7:53-58.    DOI: 10.2147/DDDT.S39247    PMID: 23386785
  10. Hwang JA, Kim S, Jo KW, Shim TS. Natural history of Mycobacterium avium complex lung disease in untreated patients with stable course. Eur Respir J 2017;49:1600537.    DOI: 10.1183/13993003.00537-2016    PMID: 28275170
  11. Lee G, Lee KS, Moon JW, Koh WJ, Jeong BH, Jeong YJ, et al. Nodular bronchiectatic Mycobacterium avium complex pulmonary disease. Natural course on serial computed tomographic scans. Ann Am Thorac Soc 2013;10:299-306.    DOI: 10.1513/AnnalsATS.201303-062OC    PMID: 23952847
  12. Koh WJ, Moon SM, Kim SY, Woo MA, Kim S, Jhun BW, et al. Outcomes of Mycobacterium avium complex lung disease based on clinical phenotype. Eur Respir J 2017;50:1602503.    DOI: 10.1183/13993003.02503-2016    PMID: 28954780